Тонзиллит

Оглавление

  1. Дорога к бессмертию
  2. Бессмертие и религия
  3. Философия бессмертия
  4. Бессмертие и наука
  5. История анабиоза
  6. Смерть
  7. Кора головного мозга
  8. Бессмертие и анабиоз
  9. Анабиоз, медицина и биология
  10. Анабиоз и экономика
  11. Анабиоз и закон
  12. Анабиоз в Антарктиде
  13. Техническое обеспечение анабиоза
  14. Бессмертие и вера
  15. Библиотека Ordo Deus
  16. Контактная страница Ordo Deus

Тонзиллит

Тонзиллит (tonsillitis; латынь tonsilla миндалевидная железа + -itis; синонимы амигдалит) — воспаление небных миндалин. Различают острый (смотри полный свод знаний: Ангина) и хронический Тонзиллит

По данным разных исследователей, хронический Тонзиллит встречается среди детского населения в 12 —15%, а взрослого — в 4—10%; у лиц старше 60 лет хронический Тонзиллит наблюдается крайне редко. По данным И. Б. Солдатова (1969), в семьях, где имеются носители стрептококковой инфекции, хронический Тонзиллит выявлялся у 24% их членов..

Этиология. Среди многообразных патогенных форм бактерий, постоянно вегетирующих в небных миндалинах (смотри полный свод знаний), в развитии хронического Тонзиллит доминирующее значение имеет ассоциация гемолитического стрептококка группы А (смотри полный свод знаний: Стрептококки), стафилококка, (смотри полный свод знаний), аденовирусов (смотри полный свод знаний) и грибков (смотри полный свод знаний: Грибки паразитические). Определенная роль в этиологии хронический Тонзиллит принадлежит токсоплазмам (смотри полный свод знаний: Токсоплазмоз), о чем свидетельствуют положительные кожные реакции с токсоплазмином и реакция связывания комплемента (смотри полный свод знаний). Развитию заболевания способствуют неблагоприятные климатические условия и условия труда (запыленность, загазованность воздуха), охлаждение организма, нерациональное питание с избыточным употреблением белков, углеводов, наличие хронический гнойных очагов в полости рта (кариозные зубы) и гнойных синуситов, затруднение носового дыхания (гипертрофический ринит, аденоиды). Решающее значение в возникновении Тонзиллит имеет снижение реактивности организма (смотри полный свод знаний).

Патогенез. Формирование хронический воспалительного очага в миндалинах и развитие тонзиллогенных процессов в организме происходит в результате длительного взаимодействия инфекционные агента и макроорганизма, при котором важная роль принадлежит состоянию общей и местной реактивности организма. Длительный и тесный контакт патогенной флоры в криптах миндалин с их тканью на фоне сниженной общей реактивности организма приводит к нарушению структуры, денатурации собственных тканевых белков, приобретающих антигенный характер (эндоантигены). Всасываясь в кровь, они вызывают выработку аутоантител (смотри полный свод знаний), которые фиксируются на клетках и повреждают их (смотри полный свод знаний: Аутоаллергия). Небные миндалины становятся резервуаром для бактерий, местом перманентной сенсибилизации (смотри полный свод знаний) за счёт постоянного всасывания в кровь аллергенов, в том числе пищевых и белковых. Находясь в состоянии повышенной чувствительности, миндалины становятся наиболее подготовленными к проявлению аллергической реакции. По мнению В. С. Жданова (1971), токсическое воздействие микроорганизмов ведёт к угнетению активности окислительно-восстановительных ферментов миндалин, нарушению внутриклеточного обмена и срыву отдельных процессов метаболизма. Структурные изменения приводят к нарушению местного иммунитета (смотри полный свод знаний) на клеточном уровне. В ядрах лимфоцитов и плазматических клеток (смотри полный свод знаний) заметно повышается содержание ДНК. Плазматические клетки находятся в состоянии высокой функциональной активности; при электронной микроскопии (смотри полный свод знаний) выявляется хорошо развитый пластинчатый комплекс с наличием электронно-плотных гранул. Наряду с этим отмечается повышенная макрофагальная реакция, интенсивный синтез белка в цитоплазме клеток, усиление процесса образования антител и увеличение числа иммунекомпетентных клеток (смотри полный свод знаний). Бактериальная сенсибилизация в организме проявляется преимущественно аллергическими реакциями замедленного типа (смотри полный свод знаний: Аллергия), обусловленными образованием аллергизирующего фактора (так называемый фактора переноса) в лейкоцитах, плазматических клетках, сенсибилизированных клетках нервной системы, эпидермиса. При контакте с ними клеток лимфоидного ряда развивается замедленная кожно-аллергическая реакция, названная А. И. Абрикосовым (1935) аллергией клеточного типа. Интенсивность этой реакции отражает тяжесть патологический состояния организма, выраженность бактериальной аллергии при различном клинические, течении заболевания. При реализации аллергических реакций выделяется ряд биологически активных веществ, в том числе гистамин (смотри полный свод знаний), нейтрализующийся в норме белковыми фракциями сыворотки (гистаминопексия).

По данным Г. Б. Горбуновой (1977), гистаминопексический индекс сыворотки у большинства больных хроническим Тонзиллит не превышает 5% по сравнению с 30—40% в норме. Особенно угнетена гистаминопексия у больных в возрасте от 12 до 16 лет.

Патологическая анатомия. Морфологически изменения в небных миндалинах при хронический Тонзиллит отличаются большим разнообразием. Наблюдаются десквамации или ороговение эпителия, выраженная инфильтрация его лимфоцитами и полиморфно-ядерными лейкоцитами, которые мигрируют в лакуны (миндаликовые крипты), где образуются плотные пробки (рисунок 1). При этом формируются папиллярные выросты эпителия лакун (рисунок 2), которые способствуют задержке в них патологический содержимого. В подэпителиальном слое отмечается разрастание соединительной ткани. В паренхиме небной миндалины выявляются очаги размягчения лимфоидной ткани (хронический паренхиматозный Тонзиллит) либо массивные разрастания соединительной ткани (хронический паренхиматозный склеротический Тонзиллит). Наряду с инволюцией лимфатических, фолликулов отмечается их гиперплазия с многочисленными митозами в светлых центрах. В псевдокапсуле (миндаликовая капсула) и паратонзиллярной клетчатке чаще всего встречаются склеротические изменения. Отмечается периваскулярный склероз — мелкие и средние артерии окружены муфтообразными разрастаниями соединительной ткани, бедной клеточными элементами. Лимф, сосуды и капилляры деформированы pi частично облитерированы. Признаки постепенного запустевания обнаруживаются и в венах, при этом ретикулярная ткань вокруг них подвергается гиалинозу (смотри полный свод знаний). Периваскулярная инфильтрация сопровождается в одних сосудах запустеванием просвета, в других — ослаблением мышечного тонуса и повышением проницаемости стенок, что приводит к снижению скорости кровотока и способствует застойным явлениям. Нарушение лимфооттока из миндалин ведёт к застойным и воспалительным изменениям в регионарных лимфатических, узлах.



Информация об Ordo Deus Перейти в оглавление сайта

Рис. 1.
Микропрепарат небной миндалины больного хроническим тонзиллитом: 1 — плотные пробки в просвете лакун; 2 — лимфоплазмоцитарный инфильтрат; окраска гематоксилин-эозином; ×400.





Информация об Ordo Deus Перейти в оглавление сайта

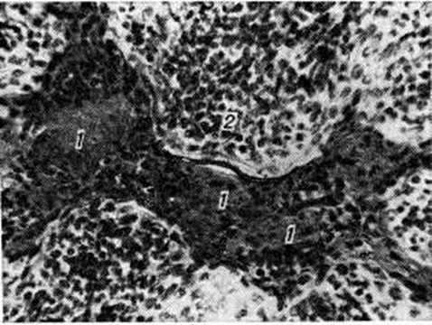
Рис. 2.
Микропрепарат небной миндалины больного хроническим тонзиллитом: стрелками указан папиллярный вырост эпителия лакуны; окраска гематоксилин-эозином; ×400.



В патологический процесс вовлекается нервный аппарат миндалин. Его изменения, отличаясь разнообразием, чаще бывают обратимыми. Поражения многих нервных волокон характеризуются признаками, типичными для периаксонального сегментарного процесса, однако иногда имеет место и распад осевых цилиндров. Встречаются рецепторы со своеобразными изменениями, напоминающими ампутационные невромы. В части нервных клеток, расположенных в соединительной ткани наружных отделов миндалин и их трабекулах, обнаруживается нечеткость контуров, перераспределение хроматофильного вещества, гиперхроматоз ядер и сморщивание тел. Патологический изменения нервных элементов — от начальных стадий дегенерации до значительных деструктивных процессов — приводят к нарушению рецепторной функции миндалин и нервно-рефлекторной связи их с некоторыми внутренними органами, в частности с сердцем. Изменения нервного аппарата, влияя на трофику лимфоидной ткани, усугубляют вызванные хронический воспалением функциональные и структурные расстройства миндалин и углубляют нарушение их барьерной функции (смотри полный свод знаний), что способствует развитию состояния декомпенсации.

Патоморфологические изменения в небных миндалинах в общих чертах соответствуют стадиям развития хронического Тонзиллит: изменения в покровном эпителии лакун и ближайших участках паренхимы характеризуют начальную стадию развития процесса — хронический лакунарный и лакунарно-паренхиматозный Тонзиллит; активная альтерация, образование воспалительных инфильтратов в паренхиме свидетельствуют о стадии хронический паренхиматозного Тонзиллит; усиленное разрастание соединительной ткани характерно для последней стадии развития процесса — хронический паренхиматозного склеротического Тонзиллит

Клиническая картина. Различают две клинические, формы хронический Тонзиллит— компенсированную и декомпенсированную, которые трактуются с учётом главных факторов генеза заболевания — реактивности организма и барьерной функции миндалин. При первой форме имеются лишь местные признаки хронический воспаления миндалин без выраженной общей реакции организма. Чаще всего больные жалуются на неприятный запах изо рта, боль или покалывание, иногда — ощущение сухости, неловкости или наличия инородного тела в горле при глотании. Дети нередко жалуются на покалывание или небольшую стреляющую боль в ухе при нормальной отоскопической картине. Вторая форма характеризуется не только местными признаками хронический воспаления миндалин, но и проявлениями декомпенсации в виде рецидивов ангин, паратонзиллитов и паратонзиллярных абсцессов (смотри полный свод знаний: Ангина), а также различных патологический реакций со стороны отдаленных органов и систем. При этой форме хронического Тонзиллит нередки постоянные жалобы на быструю утомляемость, вялость, головную боль, понижение трудоспособности; отмечается субфебрильная температура тела.

Наиболее достоверными местными признаками хронического Тонзиллит являются гиперемия и валикообразное утолщение краев небных дужек, рубцовые спайки между миндалинами и небными дужками, рубцовые изменения и уплотнение миндалин, гнойные пробки или жидкий гной в лакунах, регионарный лимфаденит (смотри полный свод знаний). Рубцовые спайки выявляют при введении пуговчатого зонда между миндалиной и дужками. Содержимое лакун определяют с помощью шпателя, осторожным надавливанием на небно-язычную дужку.

Очаг инфекции в миндалинах имеет существенное значение в генезе многих заболеваний, в частности ревматизма (смотри полный свод знаний),.нефрита (смотри полный свод знаний), тиреотоксикоза (смотри полный свод знаний), сепсиса (смотри полный свод знаний: Сепсис, тонзиллогенный), ряда заболеваний кожи — псориаза (смотри полный свод знаний), экземы (смотри полный свод знаний), полиморфной экссудативной эритемы (смотри полный свод знаний); коллагеновых заболеваний (смотри полный свод знаний: Коллагеновые болезни) и другие Возникновение системной красной волчанки (смотри полный свод знаний), узелкового периартериита (смотри полный свод знаний: Периартериит узелковый), склеродермии (смотри полный свод знаний), дерматомиозита (смотри полный свод знаний) особенно характерно для больных Тонзиллит детей. Длительная тонзиллогенная интоксикация может способствовать развитию иммунной патологии в организме, тромбоцитопенической пурпуры (смотри полный свод знаний: Пурпура тромбоцитопеническая) и геморрагического васкулита (смотри полный свод знаний: Шенлейна — Геноха болезнь).

Заболевания, генетически связанные с хроническим Тонзиллит, индуцированные им или сопутствующие ему, нередко называются синдромами, например тонзиллокардиальный синдром (смотри полный свод знаний), что, однако, не раскрывает сущности процесса. По мнению ряда ученых, более целесообразно в таких случаях устанавливать конкретное заболевание и отражать в диагнозе обнаруженные изменения.

Диагноз. Диагностика хронического Тонзиллит, как правило, не представляет затруднений. В сомнительных случаях диагноз подтверждается при изучении содержимого лакун и отпечатков с поверхности миндалин, когда обнаруживается патогенная флора, снижение фагоцитарной активности лейкоцитов, увеличение количества полиморфно-ядерных лейкоцитов, появление дегенеративных форм лейкоцитов, уменьшение числа лимфоцитов. Диагностическое значение, особенно у детей, имеют гипохромная анемия, нейтрофильный лейкоцитоз, моноцитопения, лейкопения, ускоренная РОЭ, изменение иммунологический показателей сыворотки (снижение иммуноглобулинов, титров противострептококковых антител, комплемента, пропердина и другие). В диагнозе указывается не только клиническая форма заболевания, но, если она декомпенсированная, то и конкретный вид или виды декомпенсации.

Дифференциальный диагноз проводят с редкими специфическими поражениями небных миндалин при туберкулёзе (смотри полный свод знаний: Туберкулёз внелегочный), сифилисе (смотри полный свод знаний), склероме (смотри полный свод знаний).

Лечение. В зависимости от клинические, формы заболевания, при хроническом Тонзиллит применяют консервативное или оперативное лечение. Перед началом лечения проводят санацию полости рта (смотри полный свод знаний).

Консервативное лечение показано при компенсированной форме хронического Тонзиллит, а также при декомпенсации, проявляющейся рецидивами ангин, и в тех случаях декомпенсированной формы, когда имеются противопоказания к оперативному лечению. Из средств санирующего воздействия на небные миндалины при хронический лакунарном Тонзиллит чаще всего применяют промывание лакун растворами пенициллина, фурацилина, сульфацила-натрия, этакридина лактата, диоксидина, йодинола, лизоцима, противовирусных средств (интерферон), дезодорирующих средств (перманганат калия, борная кислота), стимулирующих средств (пелоидин). Промывания производят через день (на курс 10—15 процедур) с помощью тонкой канюли и шприца емкостью 20 миллилитров. Отсасывание содержимого лакун и их промывание можно проводить одновременно с помощью вакуум-колпачка, соединенного одним концом с электроотсосом, другим — с раствором лекарственного средства. При паренхиматозной форме хронического Тонзиллит хороший эффект оказывает интра и паратонзиллярное введение 1% раствора трипсина в 0,5% р-ре новокаина (введения делаются трижды с интервалами 3—4 дня). Эффективны инъекции антибиотиков (с учётом чувствительности к ним микрофлоры), для чего чаще используют раствор пенициллина (200 000 ЕД пенициллина на 4-5 миллилитров 1% раствора новокаина) из расчёта 50 000 ЕД на инъекцию. Одновременно делают четыре инъекции — по одной в ткань небных миндалин и по одной в паратонзиллярную клетчатку с обеих сторон; в первый день инъекции производят на уровне верхних полюсов, на второй — на уровне средней части и на третий — на уровне нижних полюсов миндалин. В последующие три дня инъекции повторяют в той же последовательности. Для санирования миндалин применяют также лечебный пломбирование лакун лекарственными пастами; ингаляции (смотри полный свод знаний) антибиотиков, фитонцидов и другие; фонофорез гидрокортизона, интерферона и другие; ультразвуковую терапию (смотри полный свод знаний), УФ-облучение (смотри полный свод знаний: Ультрафиолетовое излучение), лазертерапию (смотри полный свод знаний: Лазер) средства теплового воздействия на миндалины и регионарные лимфатических, узлы — УВЧ (смотри полный свод знаний: УВЧ терапия), СВЧ (смотри полный свод знаний: Микроволновая терапия), грязелечение (смотри полный свод знаний) и другие

Для повышения естественной резистентности организма широко используют витамины группы В, С, РР; курортно-климатические факторы и ЛФК. Назначают инъекции экстракта алоэ, стекловидного тела; внутрь — глюконат кальция, фитин, лактат железа. Применяют сыворотку, плазму крови и иммуноглобулин (гамма-глобулин), гипосенсибилизирующие средства (кортикостероиды, антигистаминные препараты, препараты кальция); в период обострения процесса — химиотерапевтические средства общего действия, в том числе антибиотики. Рекомендуют полноценную и разнообразную пищу с ограничением картофеля, молока, мучных изделий, сахара, чрезмерное употребление которых приводит к нарушению обмена веществ, снижению неспецифических защитных факторов.

Курсы консервативного лечения обычно проводят 2 раза в год, лучше весной и осенью. При частых рецидивах ангин число курсов консервативного лечения может быть доведено до четырех в год.

В случае безуспешности описанного лечения нередко предпринимают гальванокаустику (смотри полный свод знаний), диатермокоагуляцию (смотри полный свод знаний), лакунотомию, воздействие холодом (смотри полный свод знаний: Криотерапия); эти методы используют и при других формах декомпенсированного хронического Тонзиллит у больных с противопоказаниями к тонзиллэктомии. Однако при этом учитывают не только клинические, форму и характер декомпенсации хронического Тонзиллит, но и анатомические особенности миндалин. Так, от криовоздействия воздерживаются, если миндалины увеличены или закрыты резко выраженной и прикрепленной к ним треугольной складкой; гальванокаустику предпочитают производить в тех случаях, когда миндалины имеют небольшие размеры, хорошо выраженные, но неглубокие лакуны и невысоко расположенные верхние полюса.



Информация об Ordo Deus Перейти в оглавление сайта

Рис. 3.
Схематическое изображение основных этапов операции тонзиллэктомии: а — произведен разрез по краю небно-язычной дужки; б — с помощью элеватора небную миндалину экстракапсулярно отсепаровывают от небно-язычной дужки: в — миндалина отклонена книзу, на её нижний полюс наложена петля; 1 — небно-язычная дужка; 2 — небно-глоточная дужка; 3 — небная миндалина; 4 — ниша, образовавшаяся после удаления миндалины.



Оперативное лечение хронического Тонзиллит— тонзиллэктомии показана при декомпенсации процесса (рецидивирующие ангины, перитонзиллиты и паратонзиллярные абсцессы, выраженная тонзиллогенная интоксикация, тонзиллогенный сепсис, заболевания отдаленных органов и систем), а также в тех случаях, когда проведенное консервативное лечение оказалось безуспешным.

Противопоказаниями к тонзиллэктомии являются гемофилия (смотри полный свод знаний), выраженная сердечная недостаточность (смотри полный свод знаний), почечная недостаточность (смотри полный свод знаний), стенокардия (смотри полный свод знаний), высокая степень гипертензии (смотри полный свод знаний), тяжёлая форма сахарного диабета (смотри полный свод знаний: Диабет сахарный), активная форма туберкулёза (смотри полный свод знаний), острые инфекционные заболевания. Операция противопоказана также в последние месяцы беременности и во время менструации. Тонзиллэктомию предпочтительнее проводить в так называемый холодном периоде— через 2—3 недель после ангины; при ревматизме её производят после курса антиревматического лечения или в неактивной фазе заболевания.

Подготовку к тонзиллэктомии начинают в поликлинике. Проводят тщательное обследование больного — рентгеноскопию органов грудной полости, общий анализ мочи, крови, особенно её свертывающей системы (протромбиновый индекс, время свертывания и длительность кровотечения, ретракция кровяного сгустка и количество тромбоцитов). За 2 недель до операции назначают седативные и гемостатические средства, проводят психопрофилактику (смотри полный свод знаний).

Операцию производят в стационаре. Тонзиллэктомию у детей предпочтительнее выполнять под эндотрахеальным наркозом (смотри полный свод знаний: Ингаляционный наркоз) с интубацией через нос или внутривенным комбинированным наркозом (смотри полный свод знаний: Неингаляционный наркоз) в сочетании с нейролептаналгезией (смотри полный свод знаний). Взрослых чаще оперируют в положении сидя под местным обезболиванием (смотри полный свод знаний: Анестезия местная), применяя для поверхностной анестезии кокаин, дикаин или пиромекаин, для инфильтрационной анестезии — новокаин или тримекаин.

Производят дугообразный разрез слизистой оболочки по краю небноязычной дужки с переходом на небно-глоточную (рис, 3, а). Узким распатором или элеватором через разрез проникают в паратонзиллярное пространство за псевдокапсулу миндалины, отсепаровывают миндалину от небно-язычной дужки экстракапсулярно от верхнего полюса до нижнего (рисунок 3, б). Затем захватывают миндалину зажимом и отделяют её от небно-глоточной дужки; рубцовые сращения, не поддающиеся тупой сепаровке, рассекают ножницами, делая мелкие насечки. Наложив на миндалину петлю и отклонив её книзу, отсекают петлей всю миндалину единым блоком (рисунок 3, в). На кровоточащие сосуды накладывают зажимы и кетгутовые лигатуры, нишу миндалины обрабатывают гемостатической пастой. При отделении миндалины учитывают, что вблизи от её полюсов проходят внутренняя и наружная сонные артерии (смотри полный свод знаний).

После операции больного укладывают обычно на правый бок, на шею кладут пузырь со льдом. В первый день разрешается сделать несколько глотков воды. Больной должен соблюдать больничный режим в течение 4—5 дней. В это время он получает протертую и жидкую негорячую пищу, ему назначают антибактериальную терапию. К концу пребывания в стационаре ниши миндалин очищаются от фибринозного налета, раневая поверхность эпителизируется. После выписки из стационара в течение 1 месяцев проводят медикаментозную терапию (поливитамины, гипосенсибилизирующие средства). Больным с функциональными нарушениями сердечной деятельности после тонзиллэктомии показана комплексная терапия, направленная на коррекцию процессов метаболизма в миокарде (кокарбоксилаза, оротат калия, фолиевая кислота и другие).

Одним из наиболее частых и опасных осложнений, связанных с тонзиллэктомией, является кровотечение которое чаще наблюдается у больных ревматизмом. При подозрении или уже начавшемся кровотечении проводят немедленную фарингоскопию (смотри полный свод знаний), удаляют сгустки крови, после анестезии захватывают зажимами и лигируют кетгутом кровоточащие сосуды. При паренхиматозном кровотечении в нишу вкладывают тампоны с гемостатическими средствами, при необходимости — сшивают над ними небные дужки. При продолжающемся кровотечении применяют весь комплекс гемостатических и восполняющих кровопотерю средств (смотри полный свод знаний: Кровотечение, Кровопотеря). Из других более редких осложнений возможны острый лимфаденит (смотри полный свод знаний) латеральных шейных лимфатических, узлов, который обычно стихает через 5—7 дней под влиянием противовоспалительной терапии, подкожная эмфизема (смотри полный свод знаний), пневмония (смотри полный свод знаний) и другие

Прогноз при своевременном и адекватном лечении благоприятный.

Профилактика тонзиллита включает общегигиенические и санационные мероприятия. Она является важной мерой вторичной профилактики заболеваний, в патогенезе которых важную роль играет Тонзиллит Из общегигиенических мероприятий особенно важны закаливание (смотри полный свод знаний), рациональное питание (смотри полный свод знаний), соблюдение правил гигиены жилищ и рабочих помещений, устранение бактериальной загрязненности, запыленности и загазованности воздуха, связанных с проф. условиями, санитарный-просвет, работа по разъяснению причин, способствующих возникновению тонзиллита и другие Санационные мероприятия проводятся врачом при периодически осуществляемых профилактических осмотрах населения. При этом выявляют и лечат заболевания десен, зубов, синуситы, нарушения носового дыхания, другие заболевания и патологический состояния, которые могут стать причиной Тонзиллит; выявляют и лечат больных хронический Тонзиллит, за ними устанавливают диспансерное наблюдение (смотри полный свод знаний: Диспансеризация). По данным некоторых исследователей, эта работа даёт больший эффект, если при выявлении больного Тонзиллит осматривают и при необходимости лечат также членов его семьи.

Солдатов И.Б.

⇐ Перейти на главную страницу сайта

⇑ Вернуться в начало страницы ⇑

Библиотека Ordo Deus ⇒

⇐ Томинксоз

⇓ Полный свод знаний. Том первый А. ⇓

Тонзиллокардиальный синдром ⇒

Все статьи в полном изложении, Вы можете найти в большой медицинской энциклопедии — Главный редактор: академик АН СССР (РАН) и АМН СССР (РАМН) Б.В. Петровский. — Москва издательство «Советская энциклопедия» 1989г.

Внимание! Вы находитесь в библиотеке «Ordo Deus». Все книги в электронном варианте, содержащиеся в библиотеке «Ordo Deus», принадлежат их законным владельцам (авторам, переводчикам, издательствам). Все книги и статьи взяты из открытых источников и размещаются здесь только для чтения.

Вся информация на сайте Ordo Deus находится в свободном доступе. Ordo Deus не предоставляет информацию на платной основе.

Все авторские права сохраняются за правообладателями. Если Вы являетесь автором данного документа и хотите дополнить его или изменить, уточнить реквизиты автора, опубликовать другие документы или возможно вы не желаете, чтобы какой-то из ваших материалов находился в библиотеке, пожалуйста, свяжитесь с нами по e-mail:
info @ ordodeus. ru
Формы для прямой связи с нами находятся в нижней части страниц: контакты и устав «Ordo Deus», для перехода на эти страницы воспользуйтесь кнопкой контакты вверху страницы или ссылкой в оглавлении сайта.

Вас категорически не устраивает перспектива безвозвратно исчезнуть из этого мира? Вы не желаете закончить свой жизненный путь в виде омерзительной гниющей органической массы пожираемой копошащимися в ней могильными червями? Вы желаете вернувшись в молодость прожить ещё одну жизнь? Начать всё заново? Исправить совершённые ошибки? Осуществить несбывшиеся мечты? Перейдите по ссылке: «главная страница».

© Ordo Deus, 2010. При копировании ссылка на сайт http://www.ordo-deus.ru обязательна.