Туберкулёз периферических лимфатических узловТуберкулёз периферических лимфатических, узлов (туберкулёзный лимфаденит) может являться самостоятельной формой заболевания или сочетаться с другими формами туберкулёза. Если раньше заболевание выявлялось главным образом в детском и подростковом возрасте, то в настоящий, время заболевание проявляется в более старшем возрасте в связи с широким проведением профилактических противотуберкулёзных мероприятий, в частности вакцинации и ревакцинации. Различают локализованный и генерализованный туберкулёз периферических лимфатических, узлов. Наиболее часто локально поражаются подчелюстные и шейные лимфатических, узлы (70—80%), реже — подмышечные (12—15%), паховые (около 3%) и другие группы лимфатических, узлов. Генерализованное поражение с вовлечением нескольких групп лимфатических, узлов (не менее трёх) составляет около 15—16%. Опасность для окружающих как источники инфицирования представляют открытые (свищевые) формы заболевания, которые в настоящий, время встречаются все реже. Одной из эпидемиологические особенностей туберкулёза периферических лимфатических, узлов является сравнительно медленное снижение заболеваемости и болезненности по сравнению с другими локализациями Туберкулёз внелёгочный (по некоторым данным, примерно в 2 раза). В этиологии туберкулёзных лимфаденитов значительное место занимают микобактерии туберкулёза бычьего вида. Патогенез. Особенностью патогенеза туберкулёза периферических лимфатических, узлов является прежде всего частое их поражение при первичном туберкулёзе. Попавшие в организм микобактерии туберкулёза заносятся током тканевой жидкости в лимфатических, сосуды и достигают ближайших лимфатических, узлов. В течение длительного времени лимфатических, узлы могут служить резервуаром туберкулёзной инфекции, представляя собой источники лимфогематогенной диссеминации. Наиболее частой локализацией туберкулёзного лимфаденита являются шейные и подчелюстные лимфатических узлы. Преимущественное поражение этих лимфатических, узлов связано с тем, что микобактерии туберкулёза попадают в организм, как правило, через рот и верхние дыхательные пути, для которых эти лимфатических, узлы являются регионарными. При этом первичный туберкулёзный очаг удаётся обнаружить (примерно, в 5% случаев) в нёбных миндалинах, на слизистой оболочке дёсен, щёк. Отсутствие подобных очагов в большинстве случаев туберкулёза периферических лимфатических, узлов объясняют либо их заживлением, либо способностью микобактерий туберкулёза проникать через разрыхленные или повреждённые ткани без образования специфических очагов в области внедрения. Инфицирование этой зоны происходит также спутогенно при туберкулёзе органов дыхания, но чаще гематогенно с последующим лимфогенным распространением возбудителей инфекции в лимфатических узлы. Наряду с первичным туберкулёзом лимфатических, узлов, возникающим лимфогенно, описаны вторичные туберкулёзные поражения периферических лимфатических, узлов, наблюдаемые при обострении процесса в других органах либо сопровождающие генерализованные формы туберкулёза (милиарный, диссеминированный и другие). Вторичный туберкулёз периферических лимфатических узлов чаще всего развивается в результате эндогенной реактивации очагов любой локализации при низкой сопротивляемости организма и свидетельствует (особенно его генерализованные формы) о тяжёлом течении туберкулёза. Лимфаденит подмышечных лимфатических, узлов может развиться как осложнение вакцинации БЦЖ (смотри полный свод знаний). Этот так называемый бецежит является выражением индивидуальной реакции, развивается в организме с изменённой общей реактивностью и носит аллергический характер. При этом наблюдается частичное или полное расплавление лимфатических, узла с последующим его обызвествлением и инкапсуляцией. Образующиеся одновременно мелкие туберкулёзные гранулемы обычно имеют продуктивный характер и в дальнейшем подвергаются фиброзу. Наряду со специфическим воспалением может наблюдаться и неспецифическое. Патологическая анатомия. На основании особенностей патоморфологической картины различают гиперпластическую, фиброзно-казеозную и фиброзную формы туберкулёзного лимфаденита (по Шмелеву соответственно — инфильтративную, казеозную и индуративную формы). При гиперпластической форме в лимфатическом узле на фоне пролиферации клеток лимфоидной ткани обнаруживают туберкулёзные гранулемы иногда с казеозным некрозом. Фиброзно-казеозная форма характеризуется наличием очагов казеозного некроза, иногда занимающих весь лимфатических, узел (чаще наблюдается при первичном туберкулёзе). По периферии очагов казеозного некроза располагается туберкулёзная грануляционная ткань, окружённая фиброзной капсулой. Собственная капсула лимфатических, узла обычно утолщена, склерозирована. Фиброзная форма туберкулёзного лимфаденита наряду с заживлением и рассасыванием туберкулёзных очагов и гранулем характеризуется развитием соединительной ткани. При прогрессировании процесса массы казеозного некроза могут подвергаться расплавлению. Воспалительные и некротические изменения могут распространяться на капсулу лимфатических, узла и окружающие ткани с прорывом казеозных масс наружу и образованием свищей (смотри полный свод знаний). При этом в стенках свищевых ходов обычно наблюдается специфическая воспалительная реакция. Клиническая картина. Специфическое поражение периферических лимфатических узлов обычно происходит при первичном туберкулёзе. В 80—90% случаев туберкулёз периферических лимфатических, узлов протекает длительно, волнообразно, тяжесть клинические, проявлений определяется наличием казеозного некроза в лимф узле. В начале заболевания на фоне общего недомогания, повышения температуры тела, умеренного лейкоцитоза и ускорения РОЭ обнаруживается увеличение периферических лимфатических, узлов (до 5—10 миллиметров в диаметре). При пальпации лимфатических, узлы мягкие, безболезненные, не спаянные друг с другом. При вовлечении в процесс окружающих тканей лимфатических, узлы образуют крупные пакеты — так называемый опухолевидный туберкулёз периферических лимфатических, узлов. Периаденит является характерным признаком туберкулёзного лимфаденита. При пальпации таких узлов отмечается болезненность, иногда флюктуация вследствие расплавления казеозных масс. Кожа над увеличенными лимфатических, узлами гиперемирована, истончена, в ряде случаев прорывается с образованием свищей и язв. Отверстия длительно не заживающих свищей и поверхность хронический язв имеют типичные кожные перемычки. В дальнейшем на месте этих поражений формируются обезображивающие рубцы с разрастаниями кожи в виде сосочков и тяжей (рисунок 1), как при вторичном колликвативном туберкулёзе кожи. На почве туберкулёза периферических лимфатических, узлов может развиться истинный туберкулёз кожи в форме туберкулёзной волчанки (смотри полный свод знаний: ниже раздел Туберкулёз кожи и подкожной клетчатки). При затихании процесса лимфатических, узлы уменьшаются в размерах, уплотняются, исчезают явления перифокального воспаления, свищи закрываются. Пальпируемые плотные увеличенные лимфатических, узлы часто являются единственным выраженным признаком заболевания у таких больных. Однако подобное чаще всего кажущееся благополучие бывает временным, оно сменяется обострением заболевания, обычно носящим сезонный характер (весной и осенью). Патологический очаг в лимфатических, узлах является источником постоянного токсического воздействия на организм, а также обострений и диссеминации туберкулёзного процесса.
Диагноз основывается на данных анамнеза, свидетельствующих об имевшемся ранее контакте больного с источником туберкулёзной инфекции или наличии у него проявлений туберкулёза других локализаций, а также на результатах клинические, обследования и специальных методах исследования. Важную роль в диагностике туберкулёза лимфатических, узлов играет рентгенологическое исследование органов грудной клетки, а также выявление на рентгенограммах обызвествленных лимфатических, узлов. Наиболее достоверные результаты можно получить с помощью биопсии лимфатических, узлов с последующим бактериологические и гистологический исследованием полученного материала. Несколько уступает ей пункция лимфатических, узлов с последующим цитологический исследованием пунктата. Туберкулиновые реакции (пробы Манту и Пирке) позволяют установить инфицированность организма микобактериями туберкулёза, а подкожная туберкулиновая проба Коха с учётом уколочной, общей и очаговой реакций может дать ценные сведения для диагностики туберкулёза периферических лимфатических, узлов (смотри полный свод знаний: Туберкулинодиагностика). Вспомогательное значение имеют анализы крови, биохимический тесты, иммунологический и другие лабораторные исследования. Дифференциальную диагностику проводят с воспалительными заболеваниями лимфатических, узлов, в первую очередь, с неспецифическим, а также с сифилитическим лимфаденитом (смотри полный свод знаний: Лимфаденит, Сифилис), невоспалительными заболеваниями, среди которых важное место занимает лимфогранулематоз (смотри полный свод знаний), врождёнными кистами и свищами шеи, дермоидными кистами (смотри полный свод знаний: Дермоид), а также метастазами рака в периферические лимфатические узлы. При этом важная роль принадлежит биопсии лимфатических узлов с последующим исследованием материала, туберкулинодиагностике, а также наличию периаденита при туберкулёзном лимфадените. Лечение комплексное, проводится по общим правилам лечения туберкулёза (смотри полный свод знаний). Противотуберкулёзные средства (2—3 препарата) больной должен принимать в течение 10— 12 месяцев до затихания процесса. Местное лечение заключается в систематической эвакуации гноя из лимфатических, узлов с введением 5% раствора салюзида, 5—10% раствора тубазида, обкалывании лимфатических, узла стрептомицином. Применяют также гипосенсибилизирующие средства (хлорид кальция, димедрол), витамины группы В, аскорбиновую кислоту и другие, по показаниям — туберкулино-терапию, УФ-облучение, а в санаторно-курортных условиях — аэро и гелиотерапию. Основным методом лечения локализованного и фиброзно-казеозного туберкулёза периферических лимфатических, узлов является оперативное вмешательство — иссечение всех поражённых лимфатических, узлов вместе с их капсулой при минимальной травматизации окружающих тканей. В случаях оперативного лечения антибактериальную терапию проводят как до, так и после операции. Оперативное лечение противопоказано при тяжёлом общем состоянии больного, активном воспалительном процессе в лимфатических, узлах с выраженной перифокальной реакцией, генерализованном туберкулёзе периферических лимфатических, узлов. В этих случаях проводят консервативное противотуберкулёзное лечение с применением антибактериальных средств, после чего может быть повторно поставлен вопрос об операции. Прогноз зависит от распространённости туберкулёзного процесса и характера морфологический изменений (наличие казеозного некроза). При своевременной диагностике и полноценном лечении прогноз благоприятный. Профилактика туберкулёза периферических лимфатических, узлов является частью профилактики туберкулёза как инфекционные заболевания (смотри полный свод знаний: Туберкулёз, профилактика). Специальная профилактика заключается в борьбе с туберкулёзом крупного рогатого скота и исключении потребления продуктов животноводства, инфицированных микобактериями туберкулёза. Туберкулёз мочевых и половых органовТуберкулёз органов мочеполовой системы возникает в результате первичной или вторичной гематогенной диссеминации возбудителя туберкулёза. Составляет около 37% среди всех форм внелёгочного туберкулёза. Обычно он развивается в период, когда первичный туберкулёз теряет свою активность, то есть через 5—12 лет после первых клинические, проявлений туберкулёза в других органах. Более чем у 80% больных туберкулёзом органов мочеполовой системы можно обнаружить следы ранее перенесённого туберкулёза: наиболее часто туберкулёза лёгких, лимфатических, узлов, позвоночника. У мужчин одновременное поражение мочевых и половых органов встречается примерно в половине случаев, у женщин это сочетание значительно реже (5— 12% случаев). Туберкулёз почек — наиболее распространённая форма туберкулёза мочевых органов. У 65% больных он развивается в возрасте 30— 55 лет. У мужчин несколько чаще, чем у женщин. Различают следующие формы туберкулёза почки: туберкулёз почечной паренхимы, туберкулёзный папиллит, кавернозный туберкулёз почки, фиброзно-кавернозный туберкулёз почки, почечные казеомы, или туберкулемы, туберкулёзный пионефроз. Патогенез. Гематогенное распространение микобактерий туберкулёза ведёт к инфицированию обеих почек, однако развитие специфического процесса, как правило (70—75% случаев), наблюдается в одной из них, в другой — очаговые изменения находятся в латентном состоянии и при высокой реактивности организма или под влиянием лечения подвергаются обратному развитию. Патологическая анатомия. Первоначальные очаговые образования локализуются преимущественно в кортикальных отделах почечной паренхимы. Они обычно разного размера, состоят из участков казеозного некроза, окружённых специфическими грануляциями, содержащими эпителиоидные, гигантские и лимфоидные клетки. При дальнейшем прогрессировании очаги сливаются между собой, вовлекая в патологический процесс новые участки почечной паренхимы. Казеозные массы в центре очага подвергаются расплавлению, образуется полость, из которой в дальнейшем формируется почечная каверна. Наблюдающаяся при этом бактериурия является причиной контактного инфицирования мочевых путей. При частичном заживлении почечной каверны наблюдается рассасывание перифокальных воспалительных изменений, процесс становится фиброзно-кавернозным, в наружных отделах стенки каверны появляются фиброзные волокна, и стенка становится трёхслойной. Почечная лоханка обычно вовлекается в процесс при фиброзно-кавернозном туберкулёзе почек. Она бывает расширена, слизистая оболочка её шероховата, иногда отёчна, сосуды резко полнокровны. В стенках лоханок наблюдаются специфические и неспецифические воспалительные изменения в виде туберкулёзных гранулем различного строения, инфильтратов из лимфоидных и эпителиоидных клеток с неспецифической инфильтрацией, преимущественно из сегментоядерных лейкоцитов, эозинофилов и плазматических клеток. Вовлечение в специфический процесс шейки почечной чашечки ведёт к её сужению, облитерации просвета и выключению каверны. Почечные казеомы, или туберкулемы, образуются из выключенных каверн в результате пропитывания казеозного детрита солями кальция. Казеомы могут быть единичными, множественными, занимать целый сегмент, реже наступает тотальный казеозный некроз почки. В результате рубцовых стриктур мочеточника, развивающихся вследствие поражения туберкулёзным процессом его стенки и облитерации просвета, возникает стаз мочи, ведущий к развитию туберкулёзного пионефроза. Клиническая картина. Туберкулёз почечной паренхимы называют субклиническим туберкулёзом почек вследствие скудной клинические, симптоматики. Нередко единственным проявлением болезни служит обнаружение микобактерий туберкулёза в моче (бактериурия). У некоторых больных отмечается общее недомогание, периодически субфебрильная температура, тупая боль в поясничной области. Реакция на туберкулин сомнительная или слабо положительная. Явления интоксикации обычно не выражены. Рентгенологически может выявляться снижение выделения контрастного вещества почкой, атония мочеточника, обусловленные нейротрофическими изменениями в почке. Туберкулёзный папиллит (туберкулёз почечного сосочка) — деструктивная форма почечного туберкулёза. Она наблюдается примерно в 5—10% случаев. Одним из ранних симптомов язвенных изменений почечных сосочков является тотальная кратковременная макрогематурия. Характерны также лейкоцитурия, бактериурия, кислая реакция мочи. Множественный папиллит течёт менее благоприятно с выраженной интоксикацией и стойкой бактериурией. На пиелограмме отмечается деформация чашечек вследствие разрушения почечного сосочка либо полость грушевидной формы как результат расплавления верхушки почечной пирамиды. При множественном папиллите в результате обширных нефросклеротических изменений рентгенологически размеры почки уменьшены, контуры её неровные, чашечки деформированы. Кавернозный туберкулёз почки формируется в результате прогрессирования патологический процесса с образованием типичных полостей — каверн. Различают две основные формы кавернозного туберкулёза почек: туберкулёз, патогенетически связанный с туберкулёзным папиллитом, и кавернозный туберкулёз, возникший в результате прогрессирования специфического процесса в кортикальных отделах паренхимы. Вовлечение в патологический процесс шейки чашечки и лоханочно-мочеточникового соустья ведёт к длительной обтурации и рубцеванию этих отделов. При этом вышележащие участки мочевыводящей системы выключаются. Выключение каверны рентгенологически выражается симптомом ампутации почечной чашечки. В этот период болезни состав мочи нормализуется, выделение бактерий прекращается. Однако процесс в выключенной каверне остаётся активным, а проникновение противотуберкулёзных средств через толстую, бессосудистую стенку каверны затруднено. Туберкулёз почки может осложняться вторичным хронический пиелонефритом, образованием камней, артериальной гипертензией. Фиброзно-кавернозный туберкулёз почки развивается в результате реактивных фибропластических, нефросклеротических репаративных процессов в зоне туберкулёзного воспаления. Одним из клинические, признаков такого процесса является сморщивание полюса почки или развитие сегментарного пионефроза, что рентгенологически определяется как симптом ампутации (рисунок 2). При сморщивании почки наблюдается выраженная артериальная гипертензия. Клинические, проявления почечных казеом, или туберкулем, как правило, отсутствуют. При наличии интоксикации, бактериурии, артериальной гипертензии, опасности прорыва очага возникают показания к оперативному лечению. Туберкулёзный пионефроз является завершением процесса и характеризуется тотальной деструкцией почечной паренхимы и образованием гнойного мешка. Больной жалуется на чувство тяжести и боль в области поражённой почки. При пальпации определяется увеличенная почка. Могут отмечаться явления интоксикации, лейкоцитурия, бактериурия. Почка перестаёт функционировать. Рентгенологически тень почки увеличена. Туберкулёз почек у детей составляет 0,2% от общего числа детей, больных туберкулёзом, и 2,2% от общего числа детей, страдающих внелёгочным туберкулёзом. Чаще туберкулёз почек встречается у подростков. Заболевание протекает, как правило, бессимптомно. У детей в отличие от взрослых активность процесса сохраняется одновременно в почках и других органах (лёгких, лимфатических, узлах). Диагноз. Ранняя диагностика доклинических форм туберкулёза почек возможна лишь при проведении массовых многократных бактериологические исследований стерильно взятой мочи у инфицированных контингентов населения. Чем больше кратность исследований и количество взятого материала, тем больше вероятность получения положительного результата. Раннее обследование проводят врачи общей лечебный-проф. сети (терапевты, урологи и другие) и участковые фтизиатры. Диагностика туберкулёза почки трудна, так как процесс протекает скрыто и выявляется случайно, когда почка частично или полностью утратила свою функцию. Косвенным признаком туберкулёза почки может служить беспричинное повышение АД в молодом возрасте. В целях уточнения диагноза, определения степени активности процесса используют провокационный туберкулиновый тест — подкожное введение туберкулина в индивидуально подобранной дозе (проба Коха). Наиболее часто вводят 20 ТЕ туберкулина, но по показаниям может быть введено 50 и 100 ТЕ. Очаговую реакцию оценивают по увеличению лейкоцитов и эритроцитов в моче (по Нечипоренко) и обнаружению микобактерий туберкулёза в моче методом посева. Для установления диагноза наиболее ценно обнаружение микобактерий туберкулёза в моче. При отрицательных результатах производят биологический пробу. Однако информативность её меньше, чем данные трёхкратного бактериологические исследования мочи на микобактерии туберкулёза. Рентгенологические исследование позволяет определить топографию и распространённость патологический процесса в почке. Уже при обзорной рентгенографии можно обнаружить очаги обызвествления в проекции почек, мочеточника, предстательной железы, рубцовые втяжения и выбухания контуров почки. При отсутствии противопоказаний выполняют экскреторную урографию (смотри полный свод знаний). В неясных случаях рентгенологическое исследование дополняют ретроградной пиелографией (смотри полный свод знаний) с полипозиционной рентгенографией (рисунок 3). Правую и левую почки обследуют раздельно с интервалом в 5—7 дней. При подозрении на выключенную почку, стриктуру мочеточника прибегают к почечной ангиографии (смотри полный свод знаний), антеградной пиелографии. Радиоизотопные методы исследования — ренография радиоизотопная (смотри полный свод знаний), сканирование (смотри полный свод знаний), а также ультразвуковое сканирование (смотри полный свод знаний: Ультразвуковая диагностика) дополняют комплекс диагностических исследований.
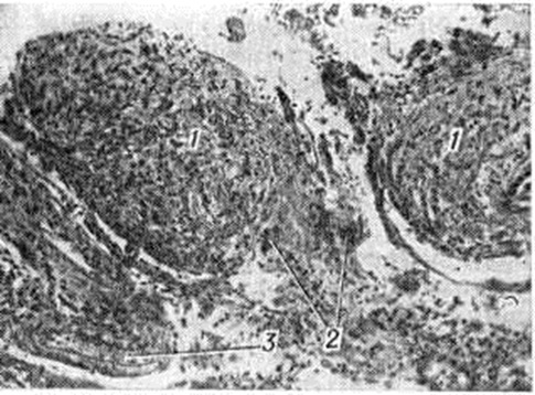
Значительные трудности возникают при диагностике начальных форм туберкулёза почек, когда надо отличить специфический папиллит от пиелонефритического, от рефлюкса, дивертикула почечной чашечки, аномалий строения почечных чашечек (смотри полный свод знаний: Почки). При отсутствии выделения бактерий с мочой сложно выявить сочетание туберкулёза с такими заболеваниями, как мочекаменная болезнь, поликистоз и другие аномалии почек. В этих случаях ведут динамическое наблюдение за больными и повторно (до 12 раз в год) исследуют мочу. В некоторых случаях используют пробное лечение (тест-терапию) с помощью средств, не имеющих широкого спектра действия (препараты группы ГИНК, тиосемикарбазоны, ПАСК). В случае эффективности проводимого лечения туберкулёзная этиология заболевания подтверждается. Дифференциальный диагноз проводят с почечнокаменной болезнью (смотри полный свод знаний), пиелонефритом (смотри полный свод знаний), гидронефрозом (смотри полный свод знаний), аномалиями развития и опухолями почки (смотри полный свод знаний: Почки). Лечение туберкулёза почек комплексное и включает применение специфических антибактериальных средств (смотри полный свод знаний: Противотуберкулёзные средства), патогенетических общеукрепляющих средств, санитарно-курортный лечение и оперативное лечение. Антибактериальная терапия основывается на единых принципах химиотерапии туберкулёза (смотри полный свод знаний: Туберкулёз). Для выбора адекватной лечебный тактики учитывают не только форму и фазу течения процесса, но и его распространённость, степень активности, о чем косвенно судят по степени специфической бактериурии, скорости роста микобактерий туберкулёза, их чувствительности к противотуберкулёзным средствам. Лечение туберкулёза почечной паренхимы препаратами 1 ряда позволяет достигнуть полного клинические, излечения (без остаточных изменений) почти во всех случаях. Срок лечения — 6—9 месяцев При туберкулёзном папиллите консервативное лечение проводят в течение 10—12 месяцев При наличии в моче смешанной флоры назначают препараты широкого спектра действия, в частности рифампицин. Лечение кавернозных форм включает консервативные и оперативные методы. Показана длительная комплексная химиотерапия с применением рифампицина, этамбутола, а также средств, предупреждающих развитие склеротических изменений. По показаниям производят кавернотомию, резекцию сегмента почки, при поликавернозе в большинстве случаев почку удаляют (смотри полный свод знаний: Почки, операции). При туберкулёзном пионефрозе (смотри полный свод знаний) лечение оперативное — нефрэктомия (смотри полный свод знаний). Абсолютные показания к нефрэктомии при пионефрозе сохраняются даже при невыраженной клинической картине во избежание генерализации процесса и присоединения вторичной инфекции. Консервативное лечение проводят в течение 3—4 недель как предоперационное перед нефрэктомией (смотри полный свод знаний). Длительность послеоперационного лечения определяется степенью активности процесса. При присоединении вторичной инфекции развивается сепсис. В этих случаях показана срочная нефрэктомия, которая выполняется по жизненным показаниям. У всех больных с хронический почечной недостаточностью (смотри полный свод знаний) в процессе лечения необходимо контролировать функцию почек и при её ухудшении уменьшать дозировку противотуберкулёзных средств либо переходить на их приём через день или 2 раза в неделю. В терминальной стадии хронический почечной недостаточности (смотри полный свод знаний) у большинства больных химиотерапия может быть продолжена при условии регулярного применения гемодиализа (смотри полный свод знаний). Прогноз для жизни зависит от течения и распространённости туберкулёза в почках и в других органах, в том числе в надпочечниках, наличия вторичных осложнений и прежде всего банального пиелонефрита (смотри полный свод знаний), хронический почечной недостаточности, амилоидоза (смотри полный свод знаний). При туберкулёзе почечной паренхимы и туберкулёзном папиллите при своевременном и полноценном лечении прогноз благоприятный, однако при множественном папиллите процесс может осложняться снижением функции почки и артериальной гипертензией. При единичных кавернах и почечной казеоме прогноз для жизни благоприятный, при поликавернозном туберкулёзе в большинстве случаев возникают показания к нефрэктомии. При туберкулёзном пионефрозе в случае присоединения явлений сепсиса прогноз для жизни сомнительный. Профилактика заключается в своевременной вакцинации и ревакцинации населения, а также раннем выявлении и полноценном лечении больных туберкулёзом. Туберкулёз мочевых путей. Туберкулёз мочеточника возникает только вторично, лимфогенно или в результате контакта с инфицированной мочой, во многом определяет течение и исход туберкулёза почек. У больных с поражением почек он встречается в 35— 46% случаев. Стенки мочеточника утолщены, наблюдаются полнокровие сосудов, лимфоцитарная инфильтрация и отёк тканей. На слизистой оболочке мочеточника формируются туберкулёзные гранулемы а язвы, которые затем ведут к сужению, а в ряде случаев облитерации его просвета (смотри полный свод знаний: рисунок 8, 9, 10 к статье Мочеточник). При туберкулёзе мочеточника наблюдаются симптомы, характерные для туберкулёза почки и мочевого пузыря. У 15—20% больных первым симптомом является почечная колика, обусловленная нарушением выведения мочи в результате закупорки просвета мочеточника сгустком крови или фибрина, а также отёка слизистой оболочки мочеточника или его сужения. Наиболее часто поражается предпузырный отдел мочеточника (тазовая часть), на втором месте стоит поражение лоханочно-мочеточникового сегмента, протекающее со сморщиванием лоханки. При цистоскопии отмечается очаговая гиперемия и реактивный буллезный отёк слизистой оболочки мочевого пузыря в области мочеточникового отверстия поражённой почки. Важную роль в выявлении поражения мочеточников играет рентгенологическое исследование, при котором обнаруживают так называемый четкообразный мочеточник. Дифференциальный диагноз проводят с заболеваниями, ведущими к стенозированию мочеточника (уретерит, почечнокаменная болезнь, болезнь Ормонда и другие). В начальной стадии туберкулёза мочеточника лечение направлено на основной очаг, локализующийся в почке. Общее туберкулостатическое лечение дополняют противовоспалительной и рассасывающей терапией. Применяют бужирование мочеточника, эндовезикальное обкалывание его устья гидрокортизоном. При стойких стриктурах мочеточника и функционирующей почке прибегают к реконструктивно-восстановительным пластическим операциям на мочеточнике (смотри полный свод знаний: Уретеропластика). В случае гибели почки, прогрессировании специфического процесса и при вторичном пиелонефрите показано удаление почки и всего мочеточника (тотальная нефроуретерэктомия). Туберкулёз мочевого пузыря наблюдается у 5—10% больных туберкулёзом почки. Он возникает при прогрессировании туберкулёза почек, когда в процесс вовлекается слизистая оболочка мочевого пузыря (смотри полный свод знаний). Туберкулёзные бугорки, инфильтраты чаще всего образуются вокруг отверстий мочеточников. На слизистой оболочке, которая становится полнокровной, утолщённой, отёчной, могут формироваться туберкулёзные язвы (смотри полный свод знаний: рисунок 15 к статье Мочевой пузырь). При этом наряду с эпителиоидно-гигантоклеточной реакцией наблюдается выраженная лимфоцитарная инфильтрация с примесью полиморфноядерных лейкоцитов. Рубцевание тканей приводит к сморщиванию мочевого пузыря, резкому уменьшению его объёма. Ёмкость мочевого пузыря уменьшается иногда до 50—30 миллилитров, в связи с повышением внутрипузырного давления и изменением в замыкательном аппарате отверстий мочеточников (устьев мочеточника) возникает пузырно-мочеточниковый рефлюкс (смотри полный свод знаний), нарушается уродинамика, инфицируются верхние мочевые пути, что ведёт к вторичному пиелонефриту и снижению функции почек. Основой диагностики является обнаружение микобактерий туберкулёза в моче, а также данные цистоскопии и рентгенологическое исследования почек и мочевых путей (смотри полный свод знаний: Мочевой пузырь). Лечение включает применение химиотерапевтических средств, витаминов, общеукрепляющих средств, санитарно-курортный лечение. При прогрессирующем сморщивании мочевого пузыря развивается уретерогидронефроз, нарушается функция почек. В этих случаях показано увеличение ёмкости мочевого пузыря оперативным путём (смотри полный свод знаний: Интестинальная пластика). Туберкулёз мочеиспускательного канала развивается у больных туберкулёзом мочевого пузыря и специфическим простатитом. Слизистая оболочка мочеиспускательного канала отёчна, на ней имеются туберкулёзные гранулемы и изъязвления. Исходом язвенных изменений является стриктура уретры (смотри полный свод знаний: Мочеиспускательный канал), которая чаще локализуется в простатическом отделе. Диагноз при наличии туберкулёзного поражения других органов мочеполовой системы трудности не представляет. Лечение консервативное — специфическое в сочетании с рассасывающей терапией, а также местное — инстилляции, бужирование. При образовании стриктуры лечение оперативное: резекция стриктуры с сшиванием отрезков уретры на катетере конец в конец (смотри полный свод знаний: Мочеиспускательный канал, стриктура). Туберкулёз мужских половых органов развивается в результате гематогенного инфицирования как в период первичного, так и в период вторичного туберкулёза или может возникать интраканаликулярным путём при поражении мочеточника, мочевого пузыря. В первую очередь поражается предстательная железа (смотри полный свод знаний), в дальнейшем — придаток яичка, яичко, семенные пузырьки, семявыносящий проток. Различают туберкулёз предстательной железы (очаговый, кавернозный), семенных пузырьков, придатка яичка (казеозно-кавернозный, рубцовый), яичка (очаговый, кавернозный), семявыносящего протока (эрозивно-язвенный, рубцовый). В предстательной железе туберкулёзные очаги могут формироваться при гематогенной генерализации процесса или при далеко зашедшем туберкулёзе мочевой системы. В ткани железы при этом обнаруживают разного размера очаги казеозного некроза, окружённые разрастаниями специфической грануляционной ткани. Туберкулёз семенных пузырьков и придатка яичка характеризуется формированием в них казеозных очагов и бугорков. В яичке (смотри полный свод знаний) могут формироваться туберкулёзные бугорки и казеозные очаги, которые при прогрессировании увеличиваются в размере, массы казеозного некроза в них расплавляются с образованием каверны. При заживлении туберкулёзных очагов развивается рубцовая ткань. Туберкулёз предстательной железы в фазе инфильтрации и распада вызывает боли в промежности, прямой кишке, уретре. При поражении пузырной (средней) доли предстательной железы и связанной с ней задней уретры бывает выражена дизурия. При кавернозных изменениях в железе в моче обычно обнаруживают микобактерии туберкулёза, вторая порция мочи — гнойная. Диагноз основывается на данных пальпации, уретрографии, выявлении в эякуляте и простатическом соке микобактерий туберкулёза. В случае очаговых изменений поверхность предстательной железы мелкобугристая, в ряде случаев пальпируются более крупные участки уплотнений, над опорожнившимися кавернами на поверхности предстательной железы определяют западения или участки флюктуации, если каверна не опорожнилась. В стадии рубцевания железа уменьшена в размере, уплощена, плотность её повышена, бороздка сглажена, могут пальпироваться отдельные кальцинаты. При нисходящей уретрографии можно выявить признаки деструкции предстательной железы. Туберкулёз семенных пузырьков как самостоятельная форма не встречается, а сопутствует туберкулёзу предстательной железы. Он характеризуется болезненной эякуляцией и гемоспермией. При везикулографии определяются деструктивные изменения. Отличительной чертой туберкулёза семявыносящего протока является чёткообразность протока, определяющаяся при пальпации. Туберкулёз придатка яичка (туберкулёзный эпидидимит) — наиболее часто встречающаяся форма туберкулёза мужских половых органов. Примерно в 1/3 случаев наблюдается двустороннее поражение. Чаще всего заболевание проявляется с наступлением половой зрелости. Туберкулёзный эпидидимит чаще протекает хронически, но возможно и острое течение (смотри полный свод знаний: Эпидидимит). Диагноз при наличии бугристой поверхности придатка, чёткообразного семявыносящего протока, изменений в предстательной железе и туберкулёза в анамнезе обычно не представляет трудности. В постановке диагноза туберкулёза мужских половых органов значительное место занимает туберкулинодиагностика (смотри полный свод знаний). Проба Манту с 2 ТЕ стандартного туберкулина (ППД-Л) бывает гиперергической, если процесс протекает остро, и положительной — при хронический течении. В неясных случаях производят микробиологические исследование эякулята на микобактерии туберкулёза или с целью выявления смешанной флоры, цитологический исследование пунктата яичка, биопсию либо гистологический исследование удалённого придатка. Лечение туберкулёза мужских половых органов заключается в проведении химиотерапии; при этом комбинация препаратов, длительность лечения определяются формой и стадией процесса. При поражении предстательной железы, помимо химиотерапии, внутрь назначают спиртовой раствор витамина D по 30—50 тысяч ME в сутки в течение 3—4 месяцев для стимуляции кальцификации туберкулёзных очагов, а также инстилляции противотуберкулёзных средств и кортикостероидных гормонов в заднюю уретру. Прогноз для жизни благоприятный, однако заболевание часто заканчивается бесплодием. Туберкулёз женских половых органов. Из всех проявлений туберкулёза у женщин, по данным Е. Н. Колачевской (1975), поражение гениталий составляет 2,55%. Наиболее часто туберкулёз выявляется у женщин, страдающих бесплодием. Туберкулёзный процесс в половых органах женщин обычно является вторичным и возникает в результате гематогенной либо лимфогенной диссеминации возбудителей инфекций из первичного очага любой локализации. Заболевание чаще всего возникает в пубертатном возрасте, что связано с выраженной эндокринной перестройкой и иммунологический незрелостью организма. Диагностируется заболевание чаще в возрасте 20—40 лет, а также в постклимактерическом периоде — после 50 лет. Наиболее часто поражаются ампулы и бахромки маточных труб, что связано с особенностями их кровоснабжения (депонирование в них крови). Отсюда процесс распространяется по маточной трубе (подэпителиальный слой и межтканевые щели) на её брыжейку, эндометрий, миометрий, а также на яичник. Поражение шейки матки, влагалища и вульвы являются редкими формами туберкулёза гениталий и обычно наблюдаются в сочетании с поражением эндометрия. В некоторых случаях процесс распространяется на серозную оболочку труб, матки и брюшину, вызывая явления пельвиоперитонита. В маточных трубах формируются воспалительные опухолевидные образования, развивается спаечный процесс, нарушается их проходимость, маточные трубы выглядят чёткообразно-утолщёнными. Туберкулёз яичников встречается редко, проявляется формированием в них гранулем туберкулёзных очагов разного размера, в последующем подвергающихся фиброзированию. Туберкулёз гениталий у женщин независимо от локализации характеризуется длительным хронический течением с периодами обострения и затихания. Развитие спаек в малом тазу обусловливает появление болей и нередко ведёт к неоправданным оперативным вмешательствам. Реже наблюдается острое начало процесса. В анамнезе можно найти указания на перенесённый туберкулёз, наиболее часто — серозных оболочек (перитонит, плеврит). Больные предъявляют жалобы на позднее начало менструаций, нарушение менструальной функции или выраженную альгоменорею (при сохранённом менструальном цикле), бесплодие, боли внизу живота, а также общую слабость, быструю утомляемость. Туберкулёз половых органов может осложняться развитием специфического перитонита, образованием свищей, диссеминацией микобактерий туберкулёза в другие органы и другие Диагноз ставят на основании комплексного обследования: бимануального гинекологическое исследования, цитологический, гистологический и бактериологические исследований соскоба эндометрия, повторных посевов на микобактерии туберкулёза менструальной крови. Проводят рентгенологическое исследование: обзорную рентгенографию малого таза, которая позволяет выявить казеозные очаги в придатках матки, рентгеноконтрастное исследование (смотри полный свод знаний: Метросальпингография), биконтрастную гинекографию (смотри полный свод знаний). Важное значение имеет туберкулинодиагностика. Большую роль в подтверждении диагноза имеет очаговая реакция при постановке пробы Коха с 20 и 50 ТЕ туберкулина, которая проявляется усилением болей внизу живота, выраженной локальной болезненностью при гинекологическое осмотре, пастозностью сводов, повышением ректальной температуры; наблюдается наступление менструации раньше предполагаемого срока. Наиболее информативна проба с эндоцервикальным введением туберкулина в различных дозировках: 20—50 ТЕ. В трудных для диагностики случаях проводят пробное лечение. Лечение туберкулёза женских половых органов заключается в проведении этиотропной антибактериальной и патогенетической терапии в соответствии с общими принципами лечения туберкулёза (смотри полный свод знаний). Наряду с общим применяют местное лечение: при поражении эндометрия растворы стрептомицина и салюзида растворимого вводят в миометрий, при туберкулёзе шейки матки — обкалывание шейки указанными растворами. Выраженная склонность к рубцово-спаечным процессам требует применения соответствующих патогенетических средств (лидазы, стекловидного тела) уже в начале лечения. При развитии туберкулёзного пельвиоперитонита и скоплении асцитической жидкости в малом тазу через своды влагалища производят пункцию полости малого таза с целью эвакуации жидкости, а затем через эту же иглу вводят растворы стрептомицина и салюзида растворимого. При хронический туберкулёзном воспалении придатков матки, не поддающемся консервативному лечению, иногда прибегают к удалению яичников вместе с поражёнными маточными трубами. При выявлении заболевания на ранних этапах его развития и адекватной терапии возможно восстановление генеративной функции. При рубцово-спаечных процессах прогноз в отношении генеративной функции менее благоприятный. Туберкулёз костей и суставовТуберкулёз костей и суставов (туберкулёз скелета) является специфическим воспалительным заболеванием, возникающим в условиях гематогенной диссеминации туберкулёзного процесса. Динамика заболеваемости, возрастная структура и клинические, течение туберкулёза костей и суставов претерпели за последнюю четверть века значительные изменения: ежегодно снижается заболеваемость этой формой туберкулёза, среди вновь заболевших 92—93% составляют взрослые, причём увеличивается удельный вес лиц пожилого и старческого возраста, снижается частота осложнённых форм заболевания. Произошли изменения и в соотношении туберкулёза костей и суставов различной локализации. По данным П. Г. Корнева и 3. Ю. Ролье (1960), это соотношение оставалось стабильным в течение долгого времени: поражение позвоночника составляло 40%, тазобедренного сустава — 20%, коленного сустава — 20%, прочих костей и суставов — 20%. В последнее время чётко определилось нарастание доли туберкулёзного спондилита (около 60%), тогда как на долю впервые диагностированного туберкулёза тазобедренного, коленного и голеностопного суставов приходится примерно по 7—8%. Однако несмотря на значительное снижение заболеваемости туберкулёзом костей и суставов, которая в 60-е годы 20 век составляла около 10% всех случаев туберкулёза, а в начале 80-х годы — около 3%, борьба с ним является важнейшей задачей в связи с высокой инвалидизацией больных этой формой внелёгочного туберкулёза. Патогенез. Ведущая роль в патогенезе туберкулёза костей и суставов принадлежит первоначальным очаговым поражениям — так называемый первичным оститам по Корневу, развивающимся гематогенным путём. По экспериментальным данным Э. Н. Беллендира (1962), туберкулёзные поражения костей и суставов в условиях гематогенной генерализации инфекции начинаются почти всегда с появления туберкулёзных гранулем в красном костном мозге. Как правило, эти гранулемы в дальнейшем рассасываются или рубцуются, однако некоторые из них при неблагоприятных условиях увеличиваются в размерах и подвергаются казеозному некрозу. Сформировавшиеся на их месте туберкулёзные очаги (первичные оститы) инкапсулируются, в результате чего они плохо поддаются резорбции и могут в течение многих лет оставаться изолированными. В ряде случаев очаг увеличивается в размерах и специфический воспалительный процесс распространяется на ближайший сустав, где развивается туберкулёзный артрит, или на позвоночник, где развивается туберкулёзный спондилит. Первичный остит служит источником распространения истинного (бактериального) туберкулёза на различные кости и суставы. В развитии первично-синовиальных форм туберкулёза суставов большую роль играет аллергическое (иммунное) воспаление. Распространение патологический процесса при туберкулёзе костей и суставов происходит главным образом в результате разрастания туберкулёзной грануляционной ткани, специфическим морфологический элементом которой является туберкулёзная гранулема (смотри полный свод знаний: Туберкулёз). Кроме того, наблюдается распространение микобактерий туберкулёза по лимфатических, сосудам и периваскулярно с образованием новых туберкулёзных очагов в области поражённого отдела скелета или за его пределами. Распространение специфического воспалительного процесса на мягкие ткани ведёт к образованию так называемый холодных (без резко выраженных температурных и сосудистых реакций) абсцессов, ранее называвшихся натечными (смотри полный свод знаний: Натечник). При спонтанном или оперативном вскрытии этих абсцессов образуются свищи. Одной из важнейших патогенетических особенностей туберкулёза костей и суставов являются выраженные дистрофические изменения в тканях, окружающих туберкулёзный очаг, так как в микроциркуляторном русле кости вокруг очага или в отдалении от него отмечается редукция сосудистой сети (рисунок 4). Развиваются характерные для туберкулёза костей и суставов остеопороз (смотри полный свод знаний) и мышечная атрофия, которые обнаруживают не только в поражённом суставе, но и на протяжении всей конечности. Патологическая анатомия. По данным П. Г. Корнева, при туберкулёзе костей и суставов различают три фазы развития патологический процесса: преартритическую (преспондилитическую), артритическую (спондилитическую) и постартритическую (постспондилитическую). В преартритической фазе в кости формируется очаг туберкулёзного воспаления, процесс в котором при неблагоприятных условиях прогрессирует. Наиболее частой локализацией очагов являются тела позвонков, эпифизы и метафизы костей, содержащие красный костный мозг. Артритическая фаза начинается с распространения процесса на сустав или выход его за пределы одного позвонка. По мере затихания туберкулёзного процесса происходит рассасывание перифокального воспаления, рубцевание очагов и частичная регенерация костной ткани. Характерными признаками постартритической фазы являются выраженные деформации скелета и функциональные расстройства. В этой фазе нередко возникают обострения процесса — торпидно текущий процесс. Туберкулёз костей и суставов может осложняться образованием абсцессов (смотри полный свод знаний: Абсцесс) и свищей (смотри полный свод знаний). Абсцессы возникают при прорыве патологический очага из кости в окружающие мягкие ткани. Абсцессы содержат грануляционную ткань, гной, казеозные массы и окружены фиброзной капсулой. При прорыве казеозных масс формируются свищи. Туберкулёзные абсцессы могут существовать длительное время, а при затихании основного процесса подвергаться обызвествлению. Длительно текущий костно-суставной туберкулёз с абсцессами и особенно свищами может осложняться амилоидозом внутренних органов (смотри полный свод знаний: Амилоидоз). Возможны первично-синовиальные формы поражения суставов, протекающие по типу туберкулёзного токсико-аллергического артрита — так называемый полиартрит Понсе (смотри полный свод знаний: Артриты). В этих случаях в синовиальной оболочке (синовиальной мембране) превалирует неспецифическая (параспецифическая) воспалительная реакция в виде васкулитов, лимфоцитарных инфильтратов, гипертрофии ворсин, которая в некоторых случаях может приводить к образованию спаек и других остаточных явлений. Клиническая картина. Основными локализациями туберкулёза костей и суставов являются позвоночник (смотри полный свод знаний: Спондилит), коленный сустав (смотри полный свод знаний: Гонит), тазобедренный сустав (смотри полный свод знаний: Коксит). Туберкулёз может поражать и другие суставы (смотри полный свод знаний: Артриты) и кости, в том числе диафизы трубчатых костей в форме spina ventosa (так называемый ветряной ости). При spina ventosa процесс локализуется в фалангах пальцев кистей и стоп, пястных и плюсневых костях; однако могут поражаться и длинные трубчатые кости. В большинстве случаев туберкулёз костей и суставов характеризуется медленным незаметным началом, длительным (нередко многолетним) упорным течением и выраженными последствиями (деформацией скелета, абсцессами, свищами и неврологический расстройствами). Реже наблюдается подострое начало заболевания, обусловленное смешанным генезом воспалительного процесса, вызванного микобактериями туберкулёза и неспецифической микрофлорой. В начале заболевания отмечается общее недомогание, вялость, быстрая утомляемость, отсутствие аппетита, раздражительность. Возможны субфебрильная температура, ускорение РОЭ, увеличение лейкоцитов в крови и другие изменения, характерные для туберкулёза других локализаций (смотри полный свод знаний: Туберкулёз). В преартритической фазе туберкулёза костей и суставов жалобы на боли в суставе (позвоночнике) или окружающих их тканях могут отсутствовать или появляться главным образом при пристеночном расположении патологический очага. Иногда отмечаются припухлость, местная болезненность при пальпации тканей над очагом, ограничение движений. При этом в суставе может появляться выпот. Первым признаком spina ventosa является деформация пальца в виде веретена или припухлость мягких тканей в области поражённой кости. При ощупывании кости отмечается болезненность, утолщение диафиза. Все эти симптомы нередко спонтанно исчезают, но через некоторое время появляются вновь. Процесс может остановиться в преартритической фазе. Однако, как правило, наблюдается распространение туберкулёзного процесса и переход его в последующие фазы развития. Для артритической фазы заболевания характерна следующая триада симптомов: боль, нарушение функции поражённого отдела скелета и мышечная атрофия. В начале этой фазы заболевания боль может иметь невыраженный характер, неясную локализацию. Постепенно боль концентрируется в поражённом отделе скелета и сопровождается уменьшением его подвижности в результате напряжения (ригидности) мышц. Сравнительно редко (при внезапном прорыве патологический очага) симптомы болезни проявляются остро. Позднее в поражённом отделе скелета развиваются изменения, вызванные деструкцией кости и хряща и выражающиеся нарушением конгруэнтности суставных поверхностей или деформацией позвонков, что ограничивает объём движений в суставе. При поражении нижних конечностей и костей таза вначале появляется непостоянная, а потом все более усиливающаяся хромота. Трофические расстройства проявляются вначале вялостью (гипотонией) мышц конечностей, а затем их атрофией. Особенно выражены трофические расстройства при так называемый сухой костоеде (caries sicca), наиболее часто встречающейся при туберкулёзном остеоартрите, для которого характерно сморщивание суставной сумки плечевого сустава и резкая атрофия мышц. Обычно процесс приобретает выраженный пролиферативный характер с обильными разрастаниями в синовиальной оболочке, приводящими к резкому увеличению объёма сустава. Одним из ранних симптомов туберкулёза костей и суставов является утолщение кожной складки на поражённой конечности — симптом Александрова, а при туберкулёзном спондилите — напряжение в мышцах, идущих от лопаток к поражённым позвонкам — симптом вожжей Корнева (смотри полный свод знаний: Спондилит). По мере развития заболевания нарастает деформация поражённых отделов скелета. Вначале появляется припухлость сустава, контуры его сглаживаются, что в сочетании с атрофией мышц конечности придаёт суставу характерную веретенообразную форму. При спондилите выстояние одного из остистых отростков, появляющееся при формировании углообразного кифоза, вначале определяется только при пальпации, затем наблюдается пуговчатое выстояние отростка (рисунок 5). Кожа над очагом изменяется мало (холодное воспаление), хотя в стадии разгара артрита температура кожи над областью поражённого сустава повышается. При поражениях суставов увеличивается контрактура, конечность или её сегмент фиксируется, как правило, в порочном положении. У детей замедляется рост конечности, что приводит к её укорочению, нередко значительному. Высохшая, укороченная конечность, фиксированная в порочном положении, в до антибактериальный период являлась типичным исходом заболевания, возникшего в детском возрасте (рисунок 6, а). При туберкулёзе позвоночника при поздно начатом лечении развивается кифотическая деформация (горб), чаще всего остроугольная с вершиной в области поражённых позвонков, что приводит, особенно при возникновении заболевания в детском возрасте, к выраженной деформации грудной клетки, а при поражении поясничных позвонков — к кифозу на месте физиологически лордоза (рисунок 6, б). При spina ventosa, даже при осложнённом течении, подвижность близлежащих суставов сохраняется, что связано с наличием широкой зоны эпифизарного хряща, препятствующего распространению туберкулёзного процесса на сустав. При локализации очага вблизи зоны роста эпифизарного хряща возможно временное её расширение.
Холодные абсцессы, имеющие вид флюктуирующих безболезненных или малоболезненных припухлостей, могут появиться в различных местах, иногда удалённых от основного очага (смотри полный свод знаний: Натечник). Кожа вначале не изменена, но постепенно может вовлекаться в воспалительный процесс, истончаться и прорываться с формированием свищей. При прорыве абсцесса во внутренние органы возможно образование бронхиальных или кишечных свищей, осложняющих течение заболевания и ухудшающих его прогноз. Нередко присоединяется вторичная инфекция. При длительном течении заболевания возможно развитие амилоидоза внутренних органов (смотри полный свод знаний: Амилоидоз). При туберкулёзном спондилите содержимое абсцессов может прорываться в позвоночный канал, вызывая поражение центральная нервная система (смотри полный свод знаний: ниже раздел Туберкулёз центральной нервной системы). Стадии начала и разгара заболевания переходят в стадию затихания процесса. При этом исчезает выпот в суставе, уменьшаются припухлость, болезненность, размеры холодных абсцессов, происходит их уплотнение. Однако после периода затихания вновь может наступить обострение патологический процесса с дальнейшим увеличением деформаций скелета и функциональных расстройств. В случаях стойкого затихания воспаления заболевание переходит в следующую, постартритическую (постспондилитическую) фазу. Постартритическая фаза туберкулёза костей и суставов характеризуется сочетанием остаточных туберкулёзных изменений с деформациями скелета и функциональными нарушениями. Неврологический расстройства, возникающие в результате сдавления спинного мозга и его сосудов, требуют, как правило, оперативного лечения. В постартритической фазе туберкулёза костей и суставов могут сохраняться остаточные туберкулёзные очаги, абсцессы и другие патологический изменения, являющиеся не последствиями туберкулёзного процесса, а проявлением самого заболевания как специфического воспалительного процесса. Диагноз. При сборе анамнеза обращают внимание на начало заболевания, связь его с перенесёнными инфекциями, контакт с больными туберкулёзом. При осмотре (обязательно полностью обнажённого больного) обращают внимание на изменение кожи, деформации скелета, нарушение осанки и другие Определяют местное повышение температуры, болезненные точки, тонус мышц, симптомы Александрова, Корнева и другие Отмечают ограничение объёма движений в суставах, болезненность. Непосредственное обследование области поражения производят с обязательными измерениями с помощью сантиметровой ленты, угломера и специальных приборов. Осмотры повторяют для выявления динамики изменений. Из лабораторных методов обследования наибольшее значение имеют анализы крови, бактериологические, биохимический и иммунологический исследования. Бактериологических исследованию с целью выявления микобактерий туберкулёза подлежит содержимое абсцессов и очагов деструкции, а также отделяемое из свищей. Туберкулиновые пробы (Пирке и Манту) позволяют установить инфицированность организма и должны учитываться при определении этиологии заболевания; наибольшее значение имеют положительная реакция на введение туберкулина у детей и подростков и отрицательная — у взрослых (смотри полный свод знаний: Туберкулино диагностика). Рентгенодиагностика. Ранняя диагностика направлена на выявление начальных стадий туберкулёзного остита (преартритической фазы). С этой целью обследуют больных, страдающих заболеваниями опорно-двигательного аппарата неустановленной этиологии, находящихся под наблюдением терапевтов, хирургов и невропатологов, или выявляемых при профосмотрах. Для этой цели успешно используется крупнокадровая флюорография костей и суставов (смотри полный свод знаний: Флюорография). Всем больным производят обзорную рентгенографию поражённого отдела скелета (смотри полный свод знаний: Рентгенография), как правило, не менее чем в двух проекциях. После определения локализации патологический процесса и общего характера поражения обычно производят томографию (смотри полный свод знаний) с целью выявления внутрикостных туберкулёзных очагов (оститов). Другие рентгенологическое методы исследования применяют по показаниям в зависимости от локализации, фазы и стадии заболевания. В преартритической фазе обычно выявляют очаги разрежения костной ткани или утраты костной структуры. Границы очага могут быть нечёткими, размытыми (рисунок 7) или же, наоборот уплотнёнными, чётко очерченными, что зависит от стадии процесса, степени его отграничения. В очагах могут определяться включения различной плотности (секвестры, участки обызвествления и другие). Первичный очаг может иметь небольшие размеры и с трудом определяться на рентгенограммах. Затрудняет обнаружение костных очагов остеопороз (смотри полный свод знаний), характерный для преартритической фазы.
В артритической фазе заболевания рентгенологическое изменения обусловлены распространением туберкулёзного процесса за пределы кости и наряду с нарастанием остеопороза проявляются сужением суставной щели или межпозвоночного пространства в результате уменьшения толщины межпозвоночного диска вблизи патологический очага. Однако суставная щель может и расширяться, например, при наличии выпота в суставе. Форма деструкции суставных концов костей и позвонков зависит от локализации и размеров первичных костных очагов. По мере затихания процесса границы зоны деструкции костей становятся чётче, уменьшается остеопороз, причём на его фоне появляются плотные костные перекладины, ориентированные по линиям силовых нагрузок (репаративный остеопороз). В постартритической фазе важное значение имеют поиски остаточных специфических туберкулёзных поражений. Рентгенологические картина при этом может быть весьма пёстрой в результате сочетания деструкции с восстановительными процессами, нередко извращёнными. Для поражений суставов характерны проявления метатуберкулёзных артрозов: деформация суставных концов костей (смотри полный свод знаний: Артрозы) иногда полное разрушение сустава с формированием фиброзного, редко костного, анкилоза сустава в порочном положении (смотри полный свод знаний: Анкилоз), а для поражения позвоночника — кифоз (смотри полный свод знаний), кифосколиоз с разрушением и деформацией тел позвонков, наличием дефектов между ними либо костным блоком разрушенных тел позвонков. В связи с тем, что характерной особенностью spina ventosa коротких трубчатых костей является одновременное поражение нескольких костей, при этой патологии следует выполнять рентгенограммы всей кисти или стопы. При поражениях длинных трубчатых костей можно ограничиться исследованием только поражённой области. Рентгенологически различают гиперпластическую, периостальную и деструктивную формы spina ventosa. Гиперпластическая форма характеризуется увеличением объёма кости и изменением её структуры на всем протяжении, которая в результате образования множества мельчайших очагов деструкции становится мелкосотовой. Вследствие увеличения объёма кость приобретает цилиндрическую форму. Изменения периоста создают впечатление вздутия кости. При прогрессировании процесса и слиянии отдельных очагов деструкции структура кости становится более грубой, крупно-сотовой. Корковое (компактное) вещество кости истончается. Периостальная форма характеризуется образованием периостальных наслоений, которые в одних случаях едва заметны и выражены преимущественно в средней части диафиза, в других локализуются на всем протяжении кости, придавая ей веретенообразную форму (рисунок 8), или выражены с одной стороны кости (кость имеет слоистую структуру). При прогрессировании заболевания деструктивный процесс, захватывающий иногда всю кость, сопровождается образованием мелких и крупных секвестров (рисунок 9). Нередко некроз охватывает всю фалангу или пястную кость. При этой форме spina ventosa отмечается остеопороз костей кисти и стопы. По мере излечения структура кости перестраивается, а периостальные наслоения рассасываются. При деструктивной форме spina ventosa часто полностью разрушается диафиз кости. В связи с этим поражённый палец укорачивается. Иногда процесс переходит на соседнюю кость. В соседних костях отчётливо видны остеопороз и атрофия. При неполном разрушении кости возможно её восстановление, но регенерированная кость принимает неправильную форму. Большое значение рентгенологическое исследование имеет для диагностики осложнений туберкулёза костей и суставов. Абсцессы определяются в виде теней различной плотности в мягких тканях вблизи поражённых костей или на расстоянии от них (смотри полный свод знаний: Натечник). В последнем случае связь абсцессов с очагом деструкции может быть установлена с помощью контрастной абсцессографии (смотри полный свод знаний). При наличии свищей производят фистулографию (смотри полный свод знаний) с использованием рентгено или стереорентгенографии (смотри полный свод знаний). При неврологический расстройствах широко применяется контрастная миелография (смотри полный свод знаний) или пневмомиелография (смотри полный свод знаний). Кроме того, по показаниям используют ангиографию (смотри полный свод знаний), веноспондилографию (смотри полный свод знаний: Флебография) и другие специальные методы рентгенологическое исследований. Дифференциальную диагностику проводят с воспалительными и невоспалительными заболеваниями опорно-двигательного аппарата иной этиологии. Для дифференциации стёртых и атипичных проявлений остеомиелита, туберкулёза костей и суставов, первичных и метастатических злокачественных опухолей необходимо применять комплекс информативных диагностических методик: клинико-рентгенологических, гистологический и бактериоскопических, радиоизотопных, например, гаммасцинтиграфию (смотри полный свод знаний: Сцинтиграфия), компьютерную томографию (смотри полный свод знаний: Томография компьютерная). Неспецифический остеомиелит (смотри полный свод знаний) отличается острым началом и быстрым темпом деструктивного процесса, локализацией поражений преимущественно в диафизах. Рентгенологически при остеомиелите выявляется отсутствие резко выраженного и распространённого остеопороза, быстрое разрушение суставного хряща, большие, чем при туберкулёзе, склеротические изменения кости. В посеве гноя выявляется неспецифическая флора. При дифференциальной диагностике с сифилисом костей и суставов учитывают результаты реакции Вассермана (смотри полный свод знаний: Вассермана реакция). Наиболее характерны рентгенологическое изменения: сифилис в отличие от туберкулёза часто приводит к развитию специфических сифилитических периоститов и гуммозных оститов (смотри полный свод знаний: Сифилис). Среди невоспалительных заболеваний костей с точки зрения дифференциальной диагностики с туберкулёзом костей и суставов наибольший интерес представляют фиброзные остеодистрофии и опухоли костей (смотри полный свод знаний: Кость). И те и другие имеют характерные признаки, обусловленные их невоспалительной природой, однако решающее значение для дифференциальной диагностики имеет биопсия с последующим гистологический исследованием материала. При деформирующих артрозах (смотри полный свод знаний: Артрозы) в отличие от туберкулёза костей и суставов отсутствуют околосуставные первичные костные туберкулёзные очаги, костные разрастания в области суставных поверхностей более развиты, остеопороз и клинические, признаки воспалительного процесса выражены в меньшей степени. Spina ventosa наиболее часто приходится дифференцировать с ревматоидным артритом (смотри полный свод знаний). При spina ventosa отсутствует воспалительная реакция в межфаланговых суставах. Неспецифический остеомиелит (смотри полный свод знаний) отличается от spina ventosa острым течением, рано наступающей секвестрацией кости, выраженной эндостальной и периостальной реакцией. При сифилитическом дактилите наряду с периоститом имеется выраженная реакция эндоста, не характерная для spina ventosa. Лечение. Комплексное лечение туберкулёза костей и суставов включает консервативные и оперативные методы. Химиотерапия является обязательным и важнейшим компонентом лечения туберкулёза костей и суставов. Она служит основой для проведения всех других лечебный мероприятий как консервативного, так и оперативного характера. Общая антибактериальная терапия при этом не имеет существенных особенностей по сравнению с лечением туберкулёза других локализаций (смотри полный свод знаний: Туберкулёз, основные принципы лечения). Она должна быть комплексной, по возможности ранней и длительной. Кроме того, по показаниям, антибактериальные средства применяют местно, вводят внутрикостно, внутриартериально и внутривенно, в том числе путём регионарной перфузии, в абсцессы после их пункции, в свищи и послеоперационные полости, в виде поверхностных аппликаций и так далее В тех случаях, когда радикальное оперативное вмешательство провести невозможно, антибактериальная терапия становится основным методом лечения. Обязательным компонентом консервативного лечения туберкулёза костей и суставов является ортопедическое лечение, проводимое с целью разгрузки и иммобилизации поражённого сегмента скелета на все время лечения, до стойкого затихания процесса (смотри полный свод знаний: Иммобилизация). С целью иммобилизации поражённого отдела позвоночника назначают строгий постельный режим в гипсовой кроватке. После отмены постельного режима больные носят постоянный гипсовый корсет, позднее заменяемый на съёмный (смотри полный свод знаний: Спондилит). Основной принцип иммобилизации суставов — ранние движения при поздней нагрузке. Сроки ортопедического лечения значительно сократились в связи с наличием эффективных противотуберкулёзных средств (смотри полный свод знаний) и оперативных вмешательств. Сан.-кур. лечение туберкулёза костей и суставов проводится как на общесоюзных курортах (Черноморское побережье Кавказа, Крым, Прибалтика и другие), так и в специализированных местных санаториях (смотри полный свод знаний: Санаторно-курортный отбор). Особенностью санитарно-курортный лечения туберкулёза костей и суставов является широкое применение природных лечебный факторов, в первую очередь воздуха и солнечного света. Лечение в местных санаториях имеет свои преимущества, в частности нет необходимости в адаптации к непривычным климатическим условиям, которую не все больные хорошо переносят. Особенно велика роль санитарно-курортный лечения после оперативных вмешательств. Во всех периодах лечения туберкулёза костей и суставов большое внимание уделяют ЛФК и массажу по специально разработанным комплексам и методикам, различным для каждой локализации, формы и стадии заболевания. Применение антибактериальных средств приводит к излечению с благоприятным анатомо-функциональным исходом только при раннем выявлении заболевания до формирования деструкции. У больных с распространённой деструкцией суставов и позвоночника прибегают к оперативному лечению. Антибактериальная терапия рациональна в предоперационном периоде для снятия явлений интоксикации и перифокальных изменений и в послеоперационном периоде до инволюции туберкулёзного процесса. В преартритической (преспондилитической) фазе заболевания основной операцией является некрэктомия (смотри полный свод знаний), заключающаяся во вскрытии очага и его тщательном выскабливании (кюретаже). Такие операции называют радикально-профилактическими. В артритической (спондилитической) фазе туберкулёза костей и суставов применяют большой арсенал оперативных радикальных и радикально-восстановительных вмешательств, избираемых в зависимости от локализации, формы и стадии заболевания. К ним относятся внутрисуставные некрэктомии с пластикой дефектов суставных концов костей или без таковой, экономные и реконструктивные резекции суставов, резекции тел позвонков со спондилодезом (смотри полный свод знаний) или без такового и другие В истории развития оперативных методов лечения туберкулёза костей и суставов большое значение имела резекция коленного сустава по Корневу, которая в настоящий, время применяется редко. При синовиальных формах туберкулёза коленного сустава, а также при туберкулёзе локтевого (смотри полный свод знаний: Локтевой сустав) и некоторых других суставов производят экстирпацию суставной капсулы, или синовэктомию (смотри полный свод знаний). В постартритической (постспондилитической) фазе заболевания объём и виды оперативных вмешательств ещё более разнообразны. Они ставят целью не только окончательную ликвидацию туберкулёзного процесса, но и восстановление функции поражённого отдела скелета — восстановительные операции. Применяются операции радикального и радикально-восстановительного характера, а также корригирующие остеотомии (смотри полный свод знаний: Остеотомия), вертебротомии (смотри полный свод знаний: Позвоночник, операции) для исправления деформаций конечностей и позвоночника. Функция суставов в ряде случаев восстанавливается с помощью аллопластики (смотри полный свод знаний) и эндопротезирования (смотри полный свод знаний). Оперативное лечение осложнений проводят обычно одновременно с операцией на основном костном очаге. Применявшееся прежде иссечение абсцессов и свищей ныне заменено не менее эффективным, но менее травматичным выскабливанием их пиогенной оболочки. Лечебно-вспомогательные операции (задний спондилодез) применяются главным образом как дополнения к радикальным вмешательствам либо при противопоказаниях к ним. Реабилитация больных включает широкую систему мероприятий, направленных на восстановление трудоспособности и социальной активности (смотри полный свод знаний: Туберкулёз, реабилитация и экспертиза трудоспособности). Осуществляется она главным образом в специализированных противотуберкулёзных учреждениях, в которых наряду с оказанием медпомощи, компонентами которой являются радикальные и восстановительные операции, проводят большую воспитательную работу, трудовую терапию, восстановление профессиональных навыков и обучение больных новым специальностям в случаях, если такая необходимость возникает в связи с изменением состояния их здоровья и ограничением трудоспособности. Прогноз при туберкулёзе костей и суставов, как правило, с точки зрения сохранения жизни больного благоприятный. Однако по показателю инвалидизации больных туберкулёз костей и суставов сохраняет своё значение как основная причина инвалидности при Туберкулёз внелёгочный Из числа больных туберкулёзом костей и суставов, состоящих на учёте, около 70 % страдает хронический распространенными формами заболевания, среди которых имеют место различного рода деформации опорно-двигательного аппарата, обычно и являющиеся причиной инвалидности. Таким образом, ввиду особой тяжести заболевания, длительности и сложности лечения прогноз в отношении трудоспособности может быть благоприятным лишь при условии своевременной диагностики, полноценного квалифицированного комплексного лечения. Профилактика включает предупреждение самого заболевания и предотвращение его тяжёлых форм и осложнений. Профилактика заболеваемости туберкулёзом костей и суставов сводится к общим эпидемиологические противотуберкулёзным мероприятиям и устранению условий, способствующих поражению опорно-двигательного аппарата у инфицированных туберкулёзом лиц: борьбе с хронический неспецифическими воспалительными заболеваниями костей и суставов, предупреждению возможных аллергических реакций, повышению резистентности организма, предупреждению вспышек туберкулёзного процесса и его генерализации. Предотвращение развития тяжёлых форм и осложнений туберкулёза костей и суставов заключается в ранней диагностике и полноценном комплексном лечении больных при условии своевременного применения оперативных вмешательств, показанных в различных фазах и стадиях заболевания. Смотри полный свод знаний: Артродез, Коксит, Коленный сустав, Остеотомия, Плечевой сустав, Спондилит, Спондилодез, Суставы, Тазобедренный сустав. Туберкулёз глазТуберкулёз глаз — одна из форм внелёгочного туберкулёза, характеризуется разнообразием клинические, проявлений, упорным, нередко рецидивирующим течением. В структуре внелёгочных форм туберкулёза туберкулёз глаз составляет примерно 18%. У больных активным туберкулёзом (лёгочным и внелёгочным) туберкулёз глаз выявляется в 5,5—7,3% случаев, причём чаще у больных с внелёгочным туберкулёзом. В то же время активный туберкулёзный процесс в лёгких у больных туберкулёзом глаз обнаруживается в 6—21,8% случаев. Имеются данные, что примерно у 51% больных, страдающих туберкулёзом глаз, туберкулёзный процесс в глазном яблоке протекает на фоне мало выраженных, но не потерявших активность туберкулёзных изменений в лёгких или прикорневых бронхиальных лимфатических, узлах. Патогенез. В зависимости от патогенеза выделяют метастатический (гематогенно-диссеминированный) туберкулёз глаз, на долю которого приходится 2/3 всех случаев туберкулёза глаз и туберкулёзно-аллергические поражения, составляющие 1/3 всех случаев туберкулёза глаз. При метастатическом туберкулёзе глаз микобактерии туберкулёза попадают в ткани глаза из очагов внеглазной локализации гематогенным путём, по периневральным и периваскулярным пространствам зрительного нерва (при туберкулёзном менингите), а также контактно (из прилежащих областей, например, кожи, придаточных пазух носа), откуда туберкулёзный процесс распространяется на придатки глаза (веки, слезопроводящие пути и другие) и его наружную оболочку (роговицу, конъюнктиву и склеру). Некоторые формы туберкулёза глаз, например, склерит (смотри полный свод знаний) и кератит (смотри полный свод знаний), возникают при распространении возбудителей туберкулёза из очагов, имеющихся в прилежащей хориоидее или цилиарном теле. Основным путём распространения возбудителей туберкулёза является гематогенный. Циркулирующие в кровеносном русле микобактерии могут быть занесены в ткани глаза в любом периоде развития туберкулёзной инфекции, чаще во вторичном Микобактерии туберкулёза первоначально оседают, как правило, в слое сосудов среднего калибра хориоидеи (собственно сосудистой оболочки глаза), где они могут не вызвать заболевания, вызвать абортивное, латентно протекающее воспаление, след которого в виде атрофического хориоретинального очага с отложением пигмента вокруг него может быть случайно обнаружен при профилактическом осмотре или привести к развитию очагов выраженного воспаления. Из слоя сосудов среднего калибра хориоидеи воспаление может распространяться на хориокапиллярный слой хориоидеи, сетчатку и другие ткани и среды глаза. Многообразие форм метастатического туберкулёза глаза зависит от локализации туберкулёзного процесса в глазном яблоке, степени выраженности его и проявлений сопутствующего перифокального воспаления, обусловленных состоянием общего и специфического иммунитета и уровнем сенсибилизации тканей глаза. Характерной отличительной чертой патогенеза туберкулёза глаз, по сравнению с другими формами туберкулёза, по мнению А. И. Струкова, является более выраженная роль аллергических реакций, ведущих к возникновению самостоятельных туберкулёзно-аллергических поражений или выступающих в качестве фактора, во многом определяющего полиморфизм клинические, проявлений метастатического туберкулёза глаз. В основе воспаления, наблюдающегося при туберкулёзно-аллергических поражениях глаз, лежат иммунные реакции антиген — антитело (смотри полный свод знаний: Антиген — антитело реакция). Заболевание развивается у больных, организм и ткани глаза которых сенсибилизированы к туберкулёзному антигену. Антиген попадает в сенсибилизированные ткани глаза гематогенно, как правило, из отдалённых, не потерявших активности очагов туберкулёзной инфекции, имеющихся в организме (чаще всего из лимфатических, узлов). Реже источником сенсибилизации могут быть внутриглазные очаги, локализующиеся в хориоидее. Если организм и ткани глаза сенсибилизированы к микобактериям туберкулёза или продуктам их жизнедеятельности, сопутствующее аллергическое воспаление может носить гиперергический характер, сопровождаясь выраженной экссудацией и кровоизлияниями, которые маскируют основной очаг в сосудистой оболочке глаза. Патологическая анатомия. При метастатическом туберкулёзе характер морфологический проявлений зависит от периода развития туберкулёзной инфекции, в котором возник туберкулёзный процесс в тканях глаза. При первичном туберкулёзе воспаление в сосудистом увеальном тракте глаза (радужке, цилиарном теле, хориоидее) может протекать по экссудативному типу. При этом густой фибринозный экссудат, в котором могут встречаться полинуклеары, пропитывает поражённую ткань. Могут наблюдаться диффузная лимфоидная инфильтрация сосудистого тракта глаза, скопления макрофагов, гистиоцитов, эпителиоидных и гигантских клеток Пирогова — Лангханса, при отсутствии бугорковых реакций и очагов казеозного некроза. При тяжёлом течении первичного туберкулёза, сопровождающемся состоянием анергии организма, в хориокапиллярном слое хориоидеи в результате диссеминации микобактерий туберкулёза формируются мил парные очаги казеозного некроза без клеточной реакции. При вторичном туберкулёзе в морфологический картине туберкулёзного процесса в глазу преобладает продуктивный тип воспаления с формированием типичных туберкулёзных гранулем. В центре гранулемы может образовываться казеозный некроз. При благоприятном течении процесса очагов некроза может не быть, при обратном развитии они подвергаются фиброзированию и рубцеванию. При прогрессировании воспаления наблюдается слияние гранулем и формирование крупного, так называемый конглобированного очага — туберкула. Вокруг этого очага наблюдаются реактивные изменения сосудов вплоть до специфических периартериита и перифлебита. При благоприятном течении туберкулёзные изменения рассасываются, оставляя в хориоидее атрофические очаги, окружённые пигментом. Крупные туберкулёзные очаги замещаются грубой рубцовой тканью. В запущенных случаях туберкулёзное воспаление может контактно распространяться на ткани и камеры глазного яблока и иногда приводит к перфорации его стенок (чаще в области лимба). Обширный некроз тканей глаза приводит его к гибели. В настоящий, время перфорация и гибель глаза при туберкулёзе встречаются редко. При туберкулёзно-аллергическом поражении на фоне отёка тканей в них наряду с гистиоцитарной реакцией наблюдается лимфоплазматическая инфильтрация, с преобладанием лимфатической. Довольно часто в инфильтрате определяют эозинофилы. На этом фоне отмечается изменение сосудов в виде умеренной их эктазии, набухания стенок сосуда и нарушение их структуры. Морфологически картина туберкулёза глаз, леченного противотуберкулёзными средствами, отличается стёртостью специфических изменений, преобладанием лимфоидных инфильтратов, наслоением аллергических сосудистых изменений и выраженными процессами рубцевания. Причинами гибели глаза при туберкулёзе в настоящее время являются: атрофия глазного яблока, вторичная глаукома, рубцевание патологически изменённых тканей. Клинические формы туберкулёза глаз. К метастатическим формам туберкулёза глаз относят хориоретинит (смотри полный свод знаний: Ретинит, Хориоидит), передний увеит (иридоциклит), кератит (смотри полный свод знаний), склерит (смотри полный свод знаний) и туберкулёз придатков глаза (конъюнктивы век, слезопроводящих путей и другие). К туберкулёзно-аллергическим заболеваниям относят фликтенулезный кератоконъюнктивит, конъюнктивит (смотри полный свод знаний) и кератит, эписклерит (смотри полный свод знаний: Склерит), иридоциклит (смотри полный свод знаний), пли передний туберкулёзно-аллергический увеит. Характерным для всех туберкулёзно-аллергических поражений глаз является острое начало, короткое течение (от нескольких дней до 1 —1,5 месяцев), склонность к рецидивам. Поражаются всегда оба глаза, иногда в разные сроки, причём воспалительный процесс может чередоваться, поражая то один, то другой глаз. Туберкулёзный хориоретинит. Различают милиарный, очаговый и диссеминированный туберкулёзный хориоретинит. Милиарный туберкулёзный хориоретинит развивается при явлениях бурно прогрессирующего общего милиарного туберкулёза. На глазном дне обоих глаз появляются множественные мелкие желтоватые округлые очажки с нечёткими границами. Они могут бесследно рассосаться или s оставить после себя чётко ограниченные участки атрофии хориокапиллярного слоя хориоидеи. Очаговый туберкулёзный хориоретинит — наиболее часто встречающаяся форма метастатического туберкулёза глаз. Характеризуется появлением в хориоидее единичного крупного (конглобированного) очага воспаления — туберкула, который быстро распространяется на прилежащую к хориоидее сетчатку; развивается картина хориоретинита. Больной жалуется на плавающие помутнения и пятно перед глазом, снижение зрения (в зависимости от локализации очага в хориоидее). Изредка на ноющую тупую боль в глубине глаза. Диссеминированный туберкулёзный хориоретинит характеризуется наличием в хориоидее нескольких очагов специфического воспаления. При офтальмоскопии (смотри полный свод знаний) на глазном дне обнаруживаются хориоретинальные очаги разной давности (цветной рисунок 14), не склонные к слиянию, локализующиеся чаще в его центральной части (цветной рисунок 50—51 к статье Глазное дно). Туберкулёзный хориоретинит может протекать с обострениями, которые, особенно при локализации очагов в центральной области глазного дна, нередко сопровождаются аллергическим воспалением сетчатки. При этом наблюдаются кровоизлияния, усиливаются экссудация и отёк сетчатки, вызывающие вторичные дистрофические изменения сетчатки и маскирующие основной хориоретинальный очаг. В исходе воспаления на месте такого центрального очага остаётся грубый проминирующий рубец, наблюдается резкое снижение остроты зрения. На месте парацентральных и периферических хориоретинальных очагов, процесс в которых протекает, как правило, без аллергических наслоений, остаются атрофические очаги желтоватого или белого цвета с пигментом вокруг них. При локализации хориоретинальных очагов у края диска зрительного нерва развивается нейроретинит или юкстапапиллярный хориоретинит (смотри полный свод знаний: Ретинит, туберкулёзный ретинит). Так как в процесс вовлекается диск зрительного нерва (смотри полный свод знаний: Застойный сосок, Зрительный нерв), в ранней стадии клинические, проявления нейроретинита сходны с таковыми при неврите или застойном соске зрительного нерва (цветной рисунок 15). По мере уменьшения отёка сетчатки вокруг диска зрительного нерва начинают выявляться хориоретинальные очаги. Исходом нейроретинита является частичная атрофия зрительного нерва с атрофическими хориоретинальными очагами, окружёнными пигментом (цветной рисунок 16). Передний туберкулёзный увеит (иридоциклит) клинически протекает в виде серозного, пластического (серозно-фибринозного) или очагового процесса. Серозный туберкулёзный передний увеит может протекать остро или имеет вялое хроническое течение с периодическими обострениями, во время которых отмечается слабо выраженная перикорнеальная инъекция, редкие слабо пигментированные преципитаты; единичные мелкие задние синехии, клеточная взвесь в стекловидном теле. Пластический передний увеит, как правило, начинается остро, но может принимать и вялое хронический течение. Появление жирных (сальных) преципитатов, ранее считавшихся характерными для туберкулёзного увеита, наблюдается редко, чаще преципитаты не отличаются от преципитатов при увеитах другой этиологии. Характерным является образование мощных, прочных задних синехий, плохо поддающихся рассасыванию. При остром течении увеита могут появляться летучие студенистые узелки в области зрачка (очажки Кеппе) или на поверхности радужки (очажки Бузакки). Течение увеитов длительное, рецидивирующее, в некоторых случаях вялое с образованием синехий. После затихания воспаления всегда остаются интенсивные задние синехии и гониосинехии, что в ряде случаев может привести к вторичной глаукоме (смотри полный свод знаний). При очаговом переднем туберкулёзном увейте мелкие множественные очаги сероватого цвета могут располагаться в зрачковой части радужки, у корня радужки чаще развиваются крупные единичные очаги — туберкулы (цветной рисунок 17). Процесс может протекать вяло, без выраженных признаков воспаления, в некоторых случаях воспаление может начинаться с острого диффузного иридоциклита (смотри полный свод знаний), а по мере затихания острых явлений становится виден рождающийся из глубины стромы радужки очаг — туберкул. Рассасывание туберкула идёт медленно, периодически появляются преципитаты, соответственно локализации туберкула развиваются стромальные задние синехии. Процесс может сопровождаться повышением внутриглазного давления, обусловленным нарушением оттока внутриглазной жидкости (водянистой влаги) через угол передней камеры в результате образования гониосинехий, отложений пигмента или закрытия части угла туберкулом. В исходе очагового увеита туберкул рассасывается, оставляя после себя истончение радужки, или рубцуется (цветной рисунок 18). Туберкулёзный кератит возникает вторично в результате переноса микобактерий туберкулёза из очагов, локализующихся в прилежащих структурах: цилиарном теле, корне радужки (смотри полный свод знаний: цветной рисунок 9 к статье Кератит). Как правило, к воспалению в роговице присоединяются явления иридоциклита и развивается картина кератоувеита (смотри полный свод знаний: Кератит). Туберкулёзный склерит развивается при распространении воспалительного процесса из хориоидеи или цилиарного тела (смотри полный свод знаний: Склерит). При поражении склеры в области лимба в процесс вовлекается роговица и развивается клинические, картина склерокератита или склеро-керато-увеита. После рассасывания склерального очага остаётся участок истончённой атрофичной склеры. При локализации такого участка у лимба возможно его растяжение и формирование стафиломы (смотри полный свод знаний). В исходе рецидивирующих склеритов, локализующихся у лимба, происходит краевое помутнение роговицы (смотри полный свод знаний: Бельмо), растяжение её и склеры, приводящее к образованию гидрофтальма (смотри полный свод знаний). Течение рецидивирующее, хроническое. Туберкулёз конъюнктивы встречается очень редко. Для него характерно появление изъязвляющейся туберкулёзной гранулемы в области конъюнктивы хряща верхнего века. Течение хроническое с наклонностью к рецидивам (смотри полный свод знаний: Конъюнктива). Туберкулёз слезоотводящих путей. Особенностью является сохранение проходимости слёзных путей, несмотря на развитие дакриоцистита (смотри полный свод знаний). При рентгенографии слезоотводящих путей с заполнением их контрастным веществом можно иногда увидеть неравномерность рельефа слизистой оболочки слёзного мешка. На коже в области слёзного мешка могут быть видны отверстия свищевых ходов. В посеве содержимого из свища и промывных вод слезопроводящих путей могут быть обнаружены микобактерии туберкулёза. Фликтенулезные поражения глаз (конъюнктивит, кератит) характеризуются появлением в поверхностных слоях конъюнктивы глазного яблока, лимбе или роговице серых округлых узелков, так называемый фликтен, к которым подходят пучки конъюнктивальных сосудов. Узелки могут быть мелкими (милиарными) множественными или крупными, единичными (солитарными). Фликтены могут рассасываться или крайне редко изъязвляться вплоть до прободения роговицы с образованием бельма, спаянного с радужкой (смотри полный свод знаний: Кератит, Конъюнктивит). При тяжёлом фликтенулезном кератите присоединяются признаки иридоциклита. Особенно тяжело протекают осложнённые гнойной инфекцией фликтенулезные язвы роговой оболочки. После рассасывания фликтен в роговице остаются различной степени и величины помутнения (от облачка до бельма). Туберкулёзно-аллергический эписклерит характеризуется формированием эписклерального узла чаще вблизи лимба. При гиперергическом характере патологический процесса заболевание протекает с резко выраженными признаками воспаления эписклеры и прилежащей конъюнктивы, на выпуклой части эписклерального узла появляется абсцесс с быстрым расплавлением тканей на его поверхности (цветной рисунок 19), после чего начинается обратное развитие эписклерального узла, который рассасывается иногда бесследно (смотри полный свод знаний: Склерит). Туберкулёзно аллергический передний увеит (ириты и иридоциклиты). При этой форме туберкулёза глаз источником сенсибилизации переднего отрезка увеального тракта иногда может быть активный туберкулёзный хориоретинальный очаг. С целью выявления этого очага необходимо тщательное обследование глазного дна как больного глаза, так и глаза, в котором нет признаков увеита. При туберкулёзно-аллергическом переднем увейте клинические, проявления (перикорнеальная инъекция, гиперемия радужки, образование синехий и другие) носят неспецифический характер и наблюдаются при всех увеитах аллергического происхождения. Туберкулёзные поражения сосудов сетчатки (туберкулёзные перифлебит и периартериит) возникают в результате развития в стенке сосуда специфического очага или носят аллергический характер (смотри полный свод знаний: Ретинит, туберкулёзный ретинит). При офтальмоскопии на сосудах определяются муфты или экссудативные отложения (цветной рисунок 54 к статье Глазное дно). Осложнениями туберкулёза глаз являются: вторичная отслойка сетчатки (смотри полный свод знаний), вторичная глаукома (смотри полный свод знаний), осложнённая катаракта (смотри полный свод знаний), бельмо, спаянное с радужкой (смотри полный свод знаний: Бельмо), субатрофия глаза. Диагноз. Диагностика туберкулёза глаз сложна из-за полиморфизма клинических проявлений, их сходства с клинические, картиной заболеваний глаз другой этиологии, невозможности выделить микобактерии туберкулёза из тканей глазного яблока. Диагноз основывается на данных комплексного обследования больного, из которых ведущими при метастатическом туберкулёзе являются результаты очаговой реакции на введение туберкулина, а при туберкулёзно-аллергических поражениях — выявление активного очага внеглазной локализации. В комплексное обследование входят сбор анамнеза и осмотр больного, направленные на выявление возможной связи заболевания глаз с туберкулёзной инфекцией. Проводится тщательное офтальмологический обследование больного (смотри полный свод знаний: Обследование больного, офтальмологическое обследование). Кроме того, применяются специальные методы исследования: рентгенологическое, томография, бронхоскопия, пункция и биопсия увеличенных периферических лимфатических, узлов, исследование мочи; мокроты, промывных вод желудка и бронхов на микобактерии туберкулёза (смотри полный свод знаний: Мокрота) и другие, направленные на выявление туберкулёзных очагов внеглазной локализации, а также клинические, анализы крови и мочи. Иммунологический исследование на туберкулёз основано на выявлении гуморальных и клеточных антител к микобактериям туберкулёза и продуктам их жизнедеятельности, например клеточных антител, с помощью реакции бластотрансформации лимфоцитов (смотри полный свод знаний), которую проводят до и после реакции Манту. Туберкулино-диагностику (смотри полный свод знаний) проводят после комплексного (офтальмологический, иммунологический гематологического) обследования больного. Через 2 часа после постановки пробы Манту с 2 ТЕ стандартного туберкулина (ППД-Л) при кампиметрическом исследовании могут наблюдаться: увеличение размеров слепого пятна, повышение внутриглазного давления, уменьшение числа эозинофилов крови. Через 24, 48, 72 и 96 час. после постановки пробы Манту проверяют местную общую и очаговую реакции. Процесс в глазу расценивается как туберкулёзный, если на пробы Манту получены положительные местная и очаговая реакции или отрицательная местная и положительная очаговая реакция. В случае выраженной местной реакции на пробу Манту при отрицательной очаговой реакции больному назначают пробу Коха, начиная с 10 ТЕ (затем 20—50 ТЕ) стандартного туберкулина до получения очаговой реакции. Если очаговой реакции при активном воспалительном процессе в глазу нет, туберкулёзная этнология его отвергается. При туберкулёзно-аллергических поражениях глаз очаговая реакция значения не имеет, в этом случае обращают внимание на выраженность местной реакции на туберкулин и общую реакцию (повышение температуры, недомогание, изменения гемограммы, белковых фракций крови и другие). При положительной местной реакции или положительной местной и общей реакциях на пробу Манту больному проводят дополнительные исследования (томографию, бронхоскопию и другие), направленные на выявление активного туберкулёзного очага внеглазной локализации. При выраженной местной и общей реакциях на пробу Манту и отсутствии активного туберкулёзного очага внеглазной локализации больному проводят 2—3-месячное специфическое пробное антибактериальное лечение и, если местная и общая реакции на пробу Манту затухают, обострения аллергического процесса меняют свой характер (становятся реже, короче или прекращаются), больному ставят диагноз туберкулёзно-аллергического поражения глаз с не выявленным активным туберкулёзным очагом внеглазной локализации и продолжают специфическое лечение у офтальмофтизиатра. Применяют также и другие методы туберкулинодиагностики: введение туберкулина возрастающей концентрации через веки больного глаза методом электрофореза по Бургиньону до получения очаговой реакции; введение туберкулина методом электрофореза по Бургиньону через кожу внутренней поверхности предплечья; пробу СЦАБО — введение туберкулина под конъюнктиву здорового глаза — и видоизменённую пробу СЦАБО (метод экспресс-диагностики) — введение туберкулина под конъюнктиву больного глаза (при двустороннем процессе — худшего по зрению глаза); туберкулиновую пробу Киевского НИИ туберкулёза, которую начинают с градуированной пробы Гринчара—Карпиловского, а затем в случае отсутствия очаговой реакции и в зависимости от выраженности местной реакции проводят пробу Манту с различными разведениями туберкулина до получения очаговой реакции и другие С целью дифференциальной диагностики производят реакцию Вассермана, исследования крови на токсоплазмоз, иммунологический исследования на вирусы (например, герпеса). При необходимости исключают хронический тонзиллит, ревматизм, проводят консультации гинеколога и уролога. Лечение заключается в проведении этиотропной антибактериальной и патогенетической терапии в соответствии с общими принципами противотуберкулёзного лечения (смотри полный свод знаний: Туберкулёз). Антибактериальная терапия туберкулёза глаз имеет некоторые особенности. В глазной практике, как правило, не применяют этамбутол, который обладает избирательным токсическим действием на сетчатку и зрительный нерв. В связи с необходимостью предупреждения процессов рубцевания стрептомицин назначают коротким курсом (20—30 дней) в начале основного курса лечения и больным с острыми экссудативными процессами. Для более нежного рубцевания на 3-м месяце лечения назначают химотрипсин, лидазу, папаин или лекозим, начиная с малых доз, которые постепенно доводят до терапевтических. В более поздние сроки под контролем за состоянием воспалительного процесса в глазу показаны ФиБС, стекловидное тело. В комплексное лечение туберкулёза глаз обязательно включают гипосенсибилизирующие средства (хлорид кальция, супрастин и другие). Общее лечение кортикостероидами показано только при остром прогрессирующем экссудативном воспалении, не купирующемся с помощью проводимой в течение 1—1½ месяцев комплексной терапии, причём препараты назначают малыми дозами, коротким курсом (не более 1 месяцев) и обязательно под защитой антибактериальных средств. Больным с рецидивирующими центральными хориоретинитами, сопровождающимися кровоизлияниями, с целью специфической гипосенсибилизации и больным с вялотекущими упорными туберкулёзными процессами (передними увеитами и хориоретинитами), не поддающимися химиотерапии, для повышения специфической реактивности организма проводят туберкулинотерапию. Туберкулин можно вводить как подкожно, так и с помощью электрофореза через веки. Одновременно с общим лечением обязательно назначают местную терапию. При туберкулёзно-аллергических поражениях глаз местное лечение в основном заключается в назначении симптоматических и гипосенсибилизирующих средств (витамины, мидриатики, миотики, кортикостероиды, дицинон и другие). У больных метастатическим туберкулёзом глаз, кроме симптоматических, местно обязательно применяют противотуберкулёзные средства (тубазид, ПАСК, салюзид, стрептомицин, пасомицин, стрептосалюзид). Метод введения зависит от локализации патологический процесса: при поражении конъюнктивы и роговицы лекарственные средства назначают в каплях п мазях, при поражении переднего отрезка увеального тракта — в каплях и подконъюнктивально, при поражении заднего отрезка глаза — парабульбарно, ретробульбарно. При всех видах локализации лекарственные средства вводят также методом электрофореза (смотри полный свод знаний) или фонофореза (смотри полный свод знаний: Ультразвуковая терапия). Местное лечение проводят длительно, чередуя разные методы введения, меняя антибактериальные средства во избежание развития лекарственной аллергии. Длительность основного курса специфического лечения у впервые выявленных больных и при рецидиве заболевания 10—12 месяцев Лечение этапное: 3—4 месяцев— в стационаре, 3—4 месяцев— в специализированном санатории, затем амбулаторно у офтальмофтизиатра туберкулёзного диспансера. После окончания основного курса лечения больные на протяжении 3 лет 2 раза в год получают сезонное антибактериальное лечение по 2—3 месяцев, в том числе и санитарно-курортный лечение. При отсутствии обострений больные ещё 1 год наблюдаются у офтальмофтизиатра, затем их снимают с учёта и переводят под наблюдение врача общей сети. Больные с большими остаточными изменениями или рецидивирующим течением заболевания остаются под наблюдением офтальмофтизиатра. Оперативное лечение осложнений туберкулёза глаз (осложнённой катаракты, вторичной глаукомы и другие) проводят обязательно на фоне общей противотуберкулёзной терапии во избежание обострения воспалительного процесса. В зависимости от степени активности воспаления в глазу перед операцией больному назначают 2—8-недельный курс антибактериальной терапии и 4—8-недельный курс после оперативного вмешательства. В случае рассечения грубых шварт по окончании операции на операционном столе вместе с дексазоном, дициноном под конъюнктиву вводят стрептомицин (в общей сложности не более 1 миллилитров). Ведение послеоперационного периода обычное (смотри полный свод знаний: Послеоперационный период). При лечении осложнённой катаракты наилучшие результаты даёт интракапсулярная экстракция катаракты (смотри полный свод знаний). Антиглаукоматозные операции по поводу вторичной глаукомы (смотри полный свод знаний) возможны в любой стадии активности специфического воспаления на фоне антибактериальной терапии. При наличии умеренных гониосинехий производят синусотрабекулоэктомию (смотри полный свод знаний: Синусотомия, Трабекулэктомия); при наличии множественных грубых передних и задних гониосинехий, почти полностью закрывающих угол, синусотомию и трабекулэктомию сочетают с ириденклейзисом (смотри полный свод знаний). При стойком помутнении роговицы, ведущем к снижению зрения, показана послойная или сквозная кератопластика (смотри полный свод знаний). Кроме того, для отграничения и удаления активного хориоретинального очага и коагуляции сосудов, обладающих повышенной проницаемостью, применяют лазер (метод лазерного выжигания) на фоне основного курса антибактериального лечения (смотри полный свод знаний: Лазер). Больных туберкулёзом глаз учитывают по пяти группам диспансерного учёта (смотри полный свод знаний: Диспансер, противотуберкулёзный диспансер). Во всех городских, краевых и областных туберкулёзных диспансерах имеется врач офтальмофтизиатр, задачей которого является диагностика, лечение, диспансерное наблюдение и реабилитация больных туберкулёзом глаз (проведение восстановительной п рассасывающей терапии, оперативное лечение осложнений туберкулёза глаз). Прогноз при туберкулёзе глаз в отношении функций глаз всегда серьёзен и зависит от локализации, тяжести и распространённости процесса. Так, при локализации хориоретинального очага в области жёлтого пятна даже при стойком выздоровлении острота зрения резко снижается. Однако при ранней диагностике и полноценном лечении в подавляющем большинстве случаев наступает клинические, выздоровление и больные возвращаются к труду. Профилактика заключается в своевременной вакцинации и ревакцинации населения, раннем выявлении и полноценном лечении больных туберкулёзом (смотри полный свод знаний: Туберкулёз). Туберкулёз кожи и подкожной клетчаткиТуберкулёз кожи и подкожной клетчатки возникает при гематогенном или лимфогенном распространении микобактерий туберкулёза из туберкулёзных очагов, локализующихся в других органах, преимущественно в лимфатических, узлах. Кожа поражается у больных туберкулёзом других органов редко, что объясняют отсутствием в коже благоприятных для возбудителя туберкулёза условий. Вопрос о факторах, способствующих возникновению туберкулёза кожи окончательно не решён. По мнению И. Б. Вейнерова (1970), в большинстве случаев туберкулёз кожи в настоящий, время связан с активизацией старых, длительно находившихся в стабильном состоянии очагов туберкулёза, из которых возбудители инфекции попадают в кожу гематогенным путём. В сосочковом слое благодаря особенностям микроциркуляции могут возникать первоначальные туберкулёзные очажки, откуда процесс распространяется на другие слои кожи. При этом характерно сочетание специфической воспалительной реакции (туберкулёзные гранулемы или очаги) с явлениями неспецифического воспаления. Играют роль и неспецифические факторы: нейроэндокринные расстройства, острые инфекции, а также травмы. Клинические формы туберкулёза кожи. Различают локализованные и диссеминированные формы туберкулёза кожи. К локализованным формам относят первичный туберкулёз кожи (туберкулёзный шанкр), туберкулёзную волчанку, колликвативный, бородавчатый туберкулёз кожи, милиарно-язвенный туберкулёз кожи; к диссеминированным — острый мил парный туберкулёз кожи, диссеминированный милиарный туберкулёз лица, розацеоподобный туберкулид, папулонекротический туберкулёз кожи, уплотнённую эритему и лишай золотушных. В типичных случаях всем клинические, формам туберкулёза кожи свойственны медленное развитие, хронический течение, отсутствие острых воспалительных явлений и выраженной болезненности; они склонны к волнообразному течению, ремиссиям и рецидивам в весенне-осенний период. Первичный туберкулёз кожи (tuberculosis cutis primaria; синонимы туберкулёзный шанкр) — редкое поражение кожи, описанное главным образом у грудных детей, но может встречаться и у взрослых. На коже появляются пустулы, эрозии или язвы с несколько уплотнёнными основаниями. Процесс на коже сопровождается увеличением регионарных лимфатических, узлов, которые уплотняются, спаиваются между собой, нагнаиваются, вскрываются с формированием рубца. В отделяемом язв и нагноившихся лимфатических, узлов обнаруживают микобактерии туберкулёза. При полноценном лечении рецидивов не наблюдается. От твёрдого шанкра первичный туберкулёз кожи отличается отсутствием инфильтрата в основании, а также отрицательными результатами серологический реакций на сифилис (смотри полный свод знаний). Туберкулёзная волчанка (lupus vulgaris, tuberculosis cutis luposa; синонимы люпозный туберкулёз кожи) характеризуется локализацией патологический процесса преимущественно на лице (цветной рисунок 5), длительным течением, деформацией тканей, возникающей в результате рубцевания инфильтрата и приводящей к обезображиванию. Первичным элементом туберкулёзной волчанки является бугорок, или люпома, расположенная чаще всего в верхнем и среднем слоях дермы, имеющая размер 2—3 миллиметров, розовую окраску, чёткие границы. При надавливании на люпому предметным стеклом (смотри полный свод знаний: Дермоскопия) на фоне побледневшей от сдавления сосудов кожи виден залегающий в ней инфильтрат в виде маленького плоского образования желтоватого цвета — феномен яблочного желе. Люпома обычно мягкая. При надавливании на неё пуговчатым зондом в ней появляется углубление, остающееся в течение некоторого времени (феномен зонда, описанный в 1896 год А. И. Поспеловым). Наряду с этим встречаются и диффузные формы, при которых лимфоцитарная инфильтрация со скоплением эпителиоидных и гигантских клеток типа Пирогова — Лангханса распространяется на все слои дермы. Туберкулёзные бугорки могут в дальнейшем подвергаться фиброзированию. При этом коллагеновые и эластические волокна кожи разрушаются. При экссудативном характере процесса наблюдается инфильтрация очагов сегментоядерными лейкоцитами, расплавление люпомы в центре. Под действием различных факторов, в первую очередь травмы, очаги туберкулёзной волчанки могут изъязвляться (цветной рисунок 6). Язвы обычно поверхностные, с мягкими неровными краями и легко кровоточащим дном. Изменения, наблюдающиеся в кровеносных и лимфатических, сосудах в области волчаночного процесса, носят обычно неспецифический характер. Придатки кожи в очагах поражения подвергаются разрушению и иногда в люпозном инфильтрате обнаруживают остатки волосяных фолликулов, потовых желёз и их выводных протоков. Эпителий фолликулов может пролиферировать, как и покровный эпителий. Нервные волокна долгое время остаются в участках поражения кожи, в связи с чем сохраняются её чувствительность и болезненность. Большая вариабельность морфологический изменений при туберкулёзной волчанке обусловливает многообразие её клинические, проявлений. Вследствие склонности люпом к периферическому росту и слиянию образуются плоские поверхностные инфильтраты — плоская волчанка (цветной рисунок 7). Нередко элементы туберкулёзной волчанки значительно возвышаются над уровнем кожи, возникают гипертрофические и даже опухолевидные формы туберкулёзной волчанки. При наслоении чешуек на поверхности инфильтрата формируется эксфолиативная, при наличии обильных разрастаний эпителия в виде выростов и бородавок — бородавчатая форма. Патологический процесс при туберкулёзной волчанке всегда заканчивается рубцеванием, причём для плоской волчанки характерна поверхностная нежная рубцовая атрофия; кожа собирается в складки наподобие папиросной бумаги (цветной рисунок 8). Очаги опухолевидной язвенной волчанки могут оставлять грубые уродующие рубцы, деформирующие мягкие ткани носа, губ, приводящие к рубцовому вывороту век. Возможен переход туберкулёзной волчанки на слизистую оболочку носа, рта, глотки, гортани, а также возникновение на них изолированного поражения. Люпозный инфильтрат может привести к разрушению крыльев носа, перепончатой и хрящевой части носовой перегородки. Редко по периферии волчаночных поражений или на рубцах развивается рак — так называемый люпус-карцинома (цветной рисунок 9). Дифференциальный диагноз проводят с сифилисом (смотри полный свод знаний). В отличие от плотных сифилитических бугорков люпомы имеют мягкую консистенцию, рубцы после бугоркового сифилиса в отличие от рубцов после туберкулёзной волчанки плотные, неровные, фестончатые, не собираются в складку. Серологические реакции на сифилис при туберкулёзной волчанке отрицательные. Колликвативный туберкулёз кожи (tuberculosis cutis colliquativa; синонимы: скрофулодерма, скрофулезные гуммы, туберкулёзные гуммы) может быть первичным (при гематогенном заносе возбудителей инфекции) и вторичным. Первоначально в глубоких слоях дермы появляется узел размером 1—3 сантиметров, плотноватый, малоболезненный, состоящий преимущественно из эпителиоидных, лимфоидных и гигантских клеток типа Пирогова — Лангханса. Узел увеличивается в размерах, иногда расплавляется, образуя холодный абсцесс, и вскрывается одним или несколькими отверстиями с образованием свищей, из которых выделяется кровянистое отделяемое, содержащее крупинки некротических масс. Одновременно может образовываться несколько узлов. В дальнейшем формируются язвы с мягкими тонкими подрытыми краями, которые иногда соединяются между собой свищевыми ходами. Заживление язв происходит с образованием обычно неровных рубцов, иногда имеющих по краям сосочки или тяжи в результате эпителизации подрытых краёв и свищевых ходов. Вторичный колликвативный туберкулёз кожи возникает обычно вследствие перехода туберкулёзного процесса из лимфатических, узлов, суставов в подкожную клетчатку и кожу, причём язвы и рубцы более глубокие, чем при первичном колликвативном туберкулёзе (цветной рисунок 10). Иногда колликвативный туберкулёз имеет сходство с актиномикозом (смотри полный свод знаний), гидраденитом (смотри полный свод знаний), раком (смотри полный свод знаний: Кожа, опухоли), хронический пиококковой язвой (смотри полный свод знаний: Пиодермия). О наличии колликвативного туберкулёза говорят положительные туберкулиновые реакции (смотри полный свод знаний: Туберкулино диагностика), сочетание патологический процесса на коже с туберкулёзом лимфатических, узлов. Бородавчатый туберкулёз кожи (tuberculosis cutis verrucosa) возникает чаще в результате суперинфекции, например, у бацилловыделителей при постоянном соприкосновении кожи с инфицированной мокротой или у прозекторов и ветеринарных врачей при повреждении кожи рук, например, при вскрытии трупа больного туберкулёзом человека или животного (трупный бугорок, анатомический бугорок). Процесс начинается с появления плотноватого мелкого безболезненного узелка розовато-синюшной окраски, образованного туберкулёзной грануляционной тканью и окружённого выраженными перифокальными воспалительными инфильтратами. Узелок увеличивается в размерах с последующим формированием трёх зон: воспалительного ободка по периферии, затем инфильтрированного венчика цианотичной окраски и в центре — ороговевающих бородавчатых разрастаний эпидермиса. Такой типичный вид туберкулёзного узелка отличает его от обыкновенных бородавок. Исключить глубокие микозы (смотри полный свод знаний: Бластомикозы, Споротрихоз) помогает обнаружение туберкулёзных очагов в других органах. Милиарно-язвенный туберкулёз кожи (tuberculosis miliaris ulcerosa cutis) развивается экзогенно у бацилловыделителей вследствие самозаражения. Наиболее часто процесс локализуется на коже вокруг естественных отверстий (носовых, рта, заднего прохода и наружного отверстия мочеиспускательного канала), а также на слизистой оболочке рта. Клинически заболевание характеризуется появлением мелких желтовато-красных узелков, которые быстро изъязвляются, сливаются между собой и образуют поверхностные очень болезненные язвы, легко кровоточащие, иногда покрытые мелкими жёлтыми узелками (зерна Трела), представляющими собой мелкие абсцессы. Язвы обычно очень болезненны и являются иногда первым проявлением туберкулёзного процесса. В мокроте, моче и кале в зависимости от локализации процесса обнаруживают микобактерии туберкулёза. При локализации милиарно-язвенного туберкулёза в области гениталий его следует отличать от воспалительных эрозивных процессов на основании характерной клинические, картины, выделения микобактерий туберкулёза и повышенной чувствительности к туберкулину. Острый милиарный туберкулёз кожи представляет собой проявления общего милиарного туберкулёза. Процесс характеризуется высыпанием на коже туловища и конечностей папул розовато-цианотичной окраски, в центре которых иногда возникают поверхностные язвочки, покрытые кровянистой коркой. Могут формироваться локальные некрозы дермы и эпителия без воспалительной реакции. Из элементов сыпи выделяют микобактерии туберкулёза. Диссеминированный милиарный туберкулёз лица (tuberculosis miliaris disseminata faciei, lupus miliaris disseminatus faciei; синонимы диссеминированная милиарная волчанка лица) — редкая форма туберкулёза кожи, описанная в 1878 год Фоксом (W. Т. Fox). Процесс характеризуется появлением на коже лица, иногда шеи, отдельных мягких безболезненных узелков розоватой или бурой окраски, которые могут рассасываться без следа, а в случае изъязвления формируется рубчик. Дифференциальный диагноз проводят с вульгарными и красными угрями. От угрей процесс отличается отсутствием пустулизации и выраженных воспалительных явлений. В сомнительных случаях вопрос решается на основании гистологический исследования. Розацеоподобный туберкулид, описанный в 1916 год Левандовским (F. Lewandowsky), представляет собой клинические, форму туберкулёза кожи, сходную с диссеминированным милиарным туберкулёзом лица. На фоне розацеоподобной красноты и телеангиэктазий располагаются розовато-коричневые папулы, иногда с пустулами в центре, подсыхающими в корочку. После отторжения корочек остаются рубчики. От розовых угрей розацеоподобный туберкулид отличается наличием выраженной реакции на введение туберкулина, характерными для туберкулёза морфологический признаками. Папулонекротический туберкулёз кожи (tuberculosis cutis papulonecrotica) описан в 1891 год Бартелеми (Р. Т. Вагthelemy) под названием acnitis. В 1930 год Ж. Дарье назвал эту форму папулонекротическим туберкулёзом и включил в группу туберкулидов. Высыпания располагаются симметрично на коже лица, грудной клетки, разгибательных поверхностей верхних и нижних конечностей, представляют собой мягкие округлые папулы размером 2— 3 миллиметров, цианотично-бурой окраски, почти безболезненные. Папула состоит из эпителиоидных, лимфоидных и гигантских клеток типа Пирогова—Лангханса. Может локализоваться во всех слоях кожи и подкожной клетчатке. В центре элемента возникает своеобразная пустула, содержащая некротические массы, подсыхающие в корочку. Некроз в очагах возникает первично с последующим развитием вокруг него специфической грануляционной ткани и неспецифического воспалительного инфильтрата. Эпидермис также подвергается некрозу. В нем нередко образуются пузырьки и интраэпителиальные пустулы. В сосудах наблюдаются воспалительные изменения с явлениями облитерирующего васкулита, иногда со специфическим составом инфильтрата. После отторжения корочек остаются мелкие поверхностные депигментированные штампованные рубчики, иногда папулы разрешаются без рубца (цветной рисунок И). Основным признаком при дифференцировке процесса с папулонекротическим (узелково-некротическим) типом аллергического артериолита Руитера (смотри полный свод знаний: Васкулит кожи) является высокая туберкулиновая чувствительность у больных папулонекротическим туберкулёзом. Уплотнённая эритема (erythema induratum; синонимы: индуративный туберкулёз кожи, Базена болезнь) является в настоящий, время наиболее распространённой формой туберкулёза кожи. Описана в 1855 год А. Базеном. Процесс локализуется преимущественно в области голеней, где формируется умеренно болезненный дермо-гиподермальный узел плотноэластической консистенции диаметром 1—3 сантиметров (цветной рисунок 12). По мере увеличения узла кожа над ним становится розоватоцианотичной. В дальнейшем в ряде случаев очаги размягчаются, вскрываются с образованием вяло текущих болезненных язв — язвенная форма Гетчинсона (цветной рисунок 13). Расплавляется в основном центральная часть узла, края же инфильтрированы, плотноваты. Язвенные формы всегда оставляют рубцы. У некоторых больных на месте узлов остаётся западение кожи и подкожной клетчатки. При отсутствии размягчения узлы часто полностью разрешаются, иногда остаётся плотный узелок, на месте которого впоследствии может возникнуть рецидив. В начальных стадиях развития морфологический структуры могут быть представлены только сосудистыми изменениями и неспецифическими лимфогистиоцитарными инфильтратами. В ряде случаев туберкулоидные изменения не выявляются и в более поздние периоды, что затрудняет гистологический диагностику. Для гистологический исследования ткань из элементов следует брать не раньше чем через 1½ месяцев после их возникновения. Дифференциальный диагноз уплотнённой эритемы проводят с мигрирующим тромбофлебитом (смотри полный свод знаний), узловатой эритемой (смотри полный свод знаний: Эритема узловатая). При мигрирующем тромбофлебите наблюдается относительно быстрое развитие процесса, выраженная болезненность узлов, расположение их по ходу вен голеней, отсутствие чувствительности к туберкулину. Узловатая эритема отличается быстрым возникновением, острым воспалительным характером и выраженной болезненностью узлов в области голеней. Элементы не изъязвляются. В случае туберкулёзной этиологии реакция на туберкулин резко положительная. Лишай золотушных (lichen scrofulosorum, tuberculosis cutis lichenoides; синонимы лихеноидный туберкулёз кожи) характеризуется появлением папулёзной сыпи, располагающейся на коже туловища, разгибательных поверхностей конечностей. Процесс чаще всего локализуется в верхних слоях кожи, под эпидермисом. Иногда элементы располагаются вокруг волосяных фолликулов. Первичным элементом сыпи является безболезненный мягкий мелкий узелок (папула) округлой, овальной, иногда полигональной формы с чешуйкой на поверхности. Цвет папул — желтоватый, нередко окраска не отличается от цвета нормальной кожи. Высыпания склонны к группированию. Гистологически процесс характеризуется сочетанием туберкулёзных и неспецифических элементов воспаления. Процесс разрешается обычно без следа. Заболевание следует отличать от себорейной экземы (смотри полный свод знаний), волосяного лишая (смотри полный свод знаний: Кератозы) и милиарного сифилида. Наряду с характерной локализацией и склонностью элементов к группированию при лишае золотушных отмечается выраженный характер кожных туберкулиновых реакций, а также наличие других проявлений туберкулёза в организме, отрицательные серологический реакции на сифилис. Диагноз. В основе диагностики туберкулёза кожи лежат характерные клинические, и морфологический изменения в коже и подкожной клетчатке. Необходим также тщательный сбор анамнеза. Большое значение имеет изучение данных клинико-рентгенологическое обследования больных с учётом как активных специфических изменений, так и перенесённых заболеваний (кальцинаты в корнях лёгких, рубцы после свищевых форм туберкулёзного лимфаденита и другие). Методы бактериологические диагностики имеют значение только при обследовании больных с язвенными формами колликвативного туберкулёза кожи (скрофулодермы) и туберкулёзной волчанки. При выяснении чувствительности к туберкулину с помощью пробы Манту следует помнить, что при лишае золотушных и папулонекротическом туберкулёзе положительный результат наблюдается и при постановке менее чувствительной скарификационной градуированной пробы Гринчара—Карпиловского (смотри полный свод знаний: Туберкулинодиагностика). При оценке гистологический данных необходимо учитывать, что туберкулёзные изменения постоянно обнаруживаются в очагах туберкулёзной волчанки, бородавчатого туберкулёза кожи, диссеминированного милиарного туберкулёза лица. В то же время в очагах уплотнённой эритемы и папулонекротического туберкулёза выявляются как специфические структуры, так и неспецифические изменения (лимфогистиоцитарные инфильтраты, изменения сосудов). В неясных случаях прибегают к пробному лечению. По данным М. И. Шаповал (1978), исследование у больных туберкулёзом кожи гистаминопексического индекса до и после внутрикожного введения туберкулина является надёжным методом диагностики этого заболевания (смотри полный свод знаний: Гистаминопексия). Понижение уровня гистаминопексии по сравнению с исходным указывает на наличие активного туберкулёза кожи. Ранняя диагностика туберкулёза кожи осуществляется в процессе осмотра впервые выявленных больных с туберкулёзом других органов, а также детей с проявлениями туберкулёзной интоксикации. Все больные с впервые установленным диагнозом туберкулёза кожи или с подозрением на него должны быть направлены к фтизиодерматологу областного, краевого или республиканского противотуберкулёзного диспансера для уточнения диагноза. Лечение проводится в соответствии с современными принципами лечения больных туберкулёзом (смотри полный свод знаний); оно должно быть непрерывным, длительным, причём противотуберкулёзные средства (смотри полный свод знаний) необходимо назначать комплексно в достаточных суточных и курсовых дозах. В процессе лечения следует учитывать форму заболевания, выраженность и характер клинические, проявлений, индивидуальную переносимость лечения, лекарственную чувствительность микрофлоры. При локализованных формах в случаях единичных очагов иногда проводят обкалывание элементов стрептомицином. При присоединении вторичной инфекции или возникновении вокруг изъязвлённых элементов экземы применяется симптоматическая местная терапия (дезинфицирующие растворы, мази и другие). При сочетании колликвативного туберкулёза кожи с туберкулёзом периферических лимфатических, узлов иногда показано вскрытие холодных абсцессов, удаление казеозно изменённых лимфатических, узлов. В комплексное лечение диссеминированных форм туберкулёза кожи, особенно папулонекротического туберкулёза, включают гипосенсибилизирующие средства, а в некоторых случаях кортикостероиды, делагил. Имеются сведения об эффективном применении фонофореза с 10% раствором тиосульфата натрия на очаги уплотнённой эритемы. Для получения благоприятных и стойких результатов необходимо проведение основного курса лечения (10—12 месяцев), 4 или 6 профилактических курсов (по 3 месяцев 2 раза в год в санаторных условиях) и дальнейшее активное наблюдение в течение 5 лет. После этого лица, перенёсшие туберкулёз кожи, могут быть сняты с учёта, если по характеру сопутствующего заболевания они не подлежат наблюдению в противотуберкулёзных учреждениях. При наличии обезображивающих рубцов в области лица после снятия больного с учёта возможно оперативное устранение косметических дефектов, которое осуществляется на фоне профилактического противотуберкулёзного лечения. Прогноз при своевременной диагностике и правильно организованном лечении в основном благоприятный. Рост материального уровня жизни и культуры населения, широкое проведение оздоровительных и специальных противотуберкулёзных мероприятий дали положительные результаты: снизились показатели заболеваемости и болезненности туберкулёзом кожи, уменьшилось число больных туберкулёзной волчанкой, отмечаются благоприятные сдвиги в течении этого заболевания (уродующие формы встречаются редко и всегда являются следствием поздней диагностики, процесс протекает в основном в виде плоской волчанки и хорошо поддаётся лечению). Особенно благоприятные изменения наступили в течении туберкулёза кожи у детей. Если в довоенный период туберкулёз кожи считали болезнью детского возраста, так как среди больных туберкулёзной волчанкой 60% составляли дети, то к 1975 год этот показатель снизился ДО 3,9%. Профилактика включает плановую вакцинацию и ревакцинацию населения и полноценное лечение туберкулёза лёгких и внелёгочного туберкулёза. Туберкулёз кишечника, брюшины и брыжеечных лимфатических узлов (абдоминальный туберкулёз)В понятие абдоминальный туберкулёз включены туберкулёзное поражение органов пищеварительной системы (пищевода, желудка, кишечника), брюшины, лимфатических, узлов брыжейки и лимфатических, узлов забрюшинного пространства, а также чрезвычайно редко встречающееся туберкулёзное поражение печени и селезёнки, поджелудочной железы. Отсутствие при этом патогномоничных симптомов, нередко стёртость клинические, картины заболевания вызывают значительные затруднения при диагностике, что объясняет расхождение статистических данных о частоте абдоминального туберкулёза у отдельных авторов. По данным А. М. Баренбойма и соавторами (1971), около 90% больных, которым ставился диагноз туберкулёзного мезаденита, приходилось снимать с учёта, так как диагноз не подтверждался. В то же время, по некоторым данным, при оперативных вмешательствах по поводу нетуберкулёзных заболеваний нередко обнаруживают абдоминальный туберкулёз. В СССР абдоминальный туберкулёз, согласно данным диспансерного учёта, составляет менее 2—3% от числа всех больных Туберкулёз внелёгочный Наиболее распространённым является туберкулёз брыжеечных лимфатических, узлов и лимфатических, узлов забрюшинного пространства (около 70% всех случаев абдоминального туберкулёза), реже встречается туберкулёз органов пищеварения (около 18%) и брюшины (около 12%). Если ещё в недалёком прошлом абдоминальный туберкулёз выявляли главным образом у детей, то в настоящий, время, как и при других локализациях Туберкулёз внелёгочный, среди больных преобладают взрослые. Развитие абдоминального туберкулёза связано главным образом с лимфогенным распространением возбудителей инфекции из лимфатических, узлов средостения, позвоночника, гениталий и другие Алиментарному пути заражения в настоящий, время отводится скромное место; он связан, в первую очередь, с употреблением в пищу сырого молока от больных туберкулёзом животных. Случаи развития туберкулёза кишечника вследствие заглатывания больным бациллярной мокроты чрезвычайно редки. Неспецифические заболевания слизистой оболочки кишечника, снижающие местную резистентность, способствуют развитию туберкулёза кишечника. Для абдоминального туберкулёза характерно быстрое вовлечение в воспалительный процесс регионарных лимфатических, узлов и лимфатических, узлов корня брыжейки, поражение которых в большинстве случаев приобретает ведущее значение в течении заболевания. Туберкулёз органов пищеварения отличается большим полиморфизмом клинические, картины. Сравнительно редко встречается туберкулёз пищевода и желудка. В пищеводе (смотри полный свод знаний) туберкулёзный процесс в основном локализуется на уровне бифуркации трахеи, реже — в проксимальном его отделе. Выделяют язвенную, мил парную и стенозирующую формы туберкулёза пищевода. Туберкулёз пищевода проявляется болями за грудиной и явлениями дисфагии. При эзофагоскопии обнаруживают множественные поверхностные изъязвления, главным образом в верхней трети пищевода. В результате их рубцевания могут развиться стенозы. Различают следующие формы туберкулёза желудка: язвенную, гипертрофическую или опухолевидную, фиброзно-склеротическую и смешанную, или язвенно-гипертрофическую (смотри полный свод знаний: Желудок). Р. Лериш и А. Понсе наряду с язвенной и опухолевидной формами выделяют воспалительную и милиарную формы. В желудке специфические туберкулёзные язвы чаще располагаются на большой кривизне. Туберкулёз желудка в ранних стадиях заболевания сопровождается тупой болью, отрыжкой воздухом, тошнотой, чувством тяжести в эпигастральной области, снижением аппетита. Кислотность желудочного сока обычно снижена. С течением времени может развиться пилоростеноз (смотри полный свод знаний). В кишечнике (смотри полный свод знаний) туберкулёзный процесс чаще всего локализуется в илеоцекальном отделе (подвздошной и слепой кишках). В тонкой кишке туберкулёз протекает в язвенной, гипертрофической, или стенозирующей, и язвенно-гипертрофических формах. Заболевание начинается с поражения лимфатических, аппарата стенки кишки. Затем при прогрессировании туберкулёзного процесса на месте поражённых одиночных и групповых лимфатических, фолликулов образуются язвы (смотри полный свод знаний: цветной рисунок 3 к статье Кишечник), которые нередко имеют циркулярный характер. Специфический воспалительный процесс быстро распространяется на близлежащие лимфатических, узлы. На серозной оболочке в области проекции язвы образуются туберкулёзные гранулемы. Развиваются местный перитонит (смотри полный свод знаний) и спаечный процесс (смотри полный свод знаний: Спайки). В случаях перфорации язвы может развиться разлитой перитонит, а при обширном спаечном процессе — осумкованный абсцесс. При рубцевании язв наблюдаются деформации кишечных петель, их стенозирование. При туберкулёзе чаще поражается терминальный отдел подвздошной кишки и слепая кишка — туберкулёзный илеотифлит. Обычно первично поражается слепая кишка. Длительное время процесс протекает бессимптомно или проявляется симптомами хронический аппендицита (смотри полный свод знаний), энтероколита (смотри полный свод знаний). Больны предъявляют жалобы на схваткообразные боли в животе, часто нелокализованные, нарушение функции кишечника — поносы, запоры. Течение болезни волнообразное. По мере распространения процесса на область баугиниевой заслонки и терминальных отделов подвздошной кишки боли принимают локализованный характер, появляются симптомы частичной кишечной непроходимости. В этот период наблюдаются похудание, субфебрильная температура. При пальпации слепая и подвздошная кишки уплотнены, бугристы, малоподвижны, болезненность умеренная, напряжение стенки живота отсутствует или не выражено, что нередко ведёт к неправильному диагнозу. Осложнения: кишечная непроходимость, развитие спаек между петлями кишок, перфорация язвы с развитием туберкулёзного перитонита. Диагноз ставят на основании наличия в анамнезе заболевания туберкулёзом, контакта с больным туберкулёзом, положительной реакции на туберкулин. Нередко при этом используют пробу Коха для вызова очаговой реакции (смотри полный свод знаний: Туберкулино диагностика). При рентгенологическое исследовании кишечника выявляют функциональные и морфологический признаки поражения. Описан туберкулёз червеобразного отростка. Другие отделы толстой кишки поражаются чрезвычайно редко. Клинические, картина соответствует наблюдаемой при хронический аппендиците (смотри полный свод знаний: Аппендицит). Диагноз устанавливают главным образом после гистологический, исследования удалённого отростка. При локализации туберкулёзного процесса в прямой кишке и заднем проходе больные жалуются на боль и неприятные ощущения в данной области, гнойные выделения из свищей. Язвы и свищи отличаются исключительно упорным течением. Заболевание может осложняться папилломатозными разрастаниями в области заднего прохода, которые в отдельных случаях малигнизируются. Туберкулёз брыжеечных лимфатических, узлов (смотри полный свод знаний: Мезаденит) и лимфатических, узлов забрюшинного пространства может наблюдаться как при первичном, так и при вторичном туберкулёзе. При поражении лимфатических, узлов различают гиперпластическую, фиброзно-казеозную и фиброзную формы. При гиперпластической форме на фоне увеличенных гиперплазированных лимфатических, узлов наблюдается образование туберкулёзных очагов различного типа. Фиброзно-казеозная форма характеризуется слиянием отдельных очагов и их расплавлением (казеификацией) или образованием крупных очагов казеозного некроза, окружённых фиброзной капсулой. Заживление очагов обычно сопровождается развитием фиброзной ткани в виде рубцов и тяжистых разрастаний на месте туберкулёзных изменений. При казеозном некрозе лимфатических, узлов в последующем может наблюдаться отложение солей кальция. Такие обызвествлённые лимфатических, узлы могут являться источником распространения процесса в брюшной полости и контактного поражения яичников, матки и её придатков или других органов. Туберкулёз брыжеечных лимфатических, узлов и лимфатических, узлов, расположенных забрюшинно (туберкулёзный мезаденит), является наиболее частой локализацией абдоминального туберкулёза. Течение, как правило, хроническое, с ремиссиями и обострениями. Жалобы на боль в животе, вздутие кишечника, запоры, иногда сменяющиеся поносами, общее недомогание, снижение аппетита, похудание. Боль носит неопределённый характер, по данным А. Г. Сычева (1972), чаще локализуется в эпигастральной, илеоцекальной областях или около пупка. При пальпации живота в случаях резкого увеличения лимфатических, узлов иногда удаётся их прощупать. Типичные болезненные точки — в правой подвздошной области, несколько кнутри от точки Мак-Бернея, ближе к пупку, около пупка, слева и несколько выше от пупка (по Штернбергу). Однако в подавляющем большинстве случаев туберкулёз абдоминальной локализации протекает либо бессимптомно, либо имеющиеся симптомы неспецифичны для данной патологии. Брюшина вовлекается в туберкулёзный процесс вторично, чаще всего при туберкулёзе кишечника и лимфатических, узлов. Различают серозную (экссудативную), слипчивую (адгезивную), или сухую, узловато-опухолевидную и казеозно-язвенную формы туберкулёза брюшины. При перфорации туберкулёзной язвы развивается ограниченный или разлитой перитонит (серозная форма). На поверхности брюшины при этом возникают туберкулёзные гранулемы, которые иногда образуют в брюшине комплексы или формируют разного размера казеозные очаги (узловато-опухолевидная форма). При рассасывании воспалительных изменений могут остаться спайки, между которыми сохраняются туберкулёзные очаги (слипчивая форма). При прорыве в брюшину туберкулёзной язвы кишечника может возникнуть казеозно-язвенная форма туберкулёза брюшины. При туберкулёзе брюшины больные жалуются на боль в животе, тупую или схваткообразную, диспептические явления (отмечается склонность к поносам), утомляемость, похудание. Иногда наблюдается субфебрильная температура. При серозной форме в брюшной полости обнаруживают свободную жидкость. Живот увеличен в объёме, перкуторно отмечают притупление, границы которого меняются в зависимости от положения больного. В случаях слипчивого или узловато-опухолевидного туберкулёза брюшины в ранние периоды клинические, симптомы не выражены, лишь в более поздних стадиях болезни при пальпации удаётся определить опухолевидные образования в брюшной полости. Слипчивый перитонит часто осложняется спаечной непроходимостью кишечника, нередко угрожающей жизни больного и требующей экстренного консервативного или оперативного лечения. Печень при туберкулёзе поражается гематогенным путём. При милиарном туберкулёзе, например, в печени формируются типичные туберкулёзные гранулемы, аналогичные по строению бугоркам в лёгких и других органах (смотри полный свод знаний: Печень). Реже в печени формируются крупные казеозные очаги типа туберкулем (смотри полный свод знаний). При специфическом лечении туберкулёзные гранулемы рассасываются. Иногда на их месте остаются мелкие рубчики. Крупные казеозные очаги инкапсулируются и обызвествляются. Аналогичные изменения могут наблюдаться в селезёнке (смотри полный свод знаний), где формируются туберкулёзные гранулемы и туберкулемы при гематогенном и лимфогенном распространении туберкулёза. Туберкулёз печени возникает и диагностируется сравнительно редко. Отмечается желтуха, увеличение печени, спленомегалия. Однако клинически он также проявляется редко, что свидетельствует об устойчивости печени к туберкулёзной инфекции. Существует мнение, что туберкулёз печени встречается чаще, чем диагностируется; он протекает под маской неспецифических её поражений, особенно при наличии туберкулёза других локализаций. Туберкулёз селезёнки сопровождается скудной клинические, симптоматикой. Наиболее часто наблюдается спленомегалия, субфебрильная температура, асцит. При рентгенологическое исследовании органов брюшной полости в области селезёнки могут быть обнаружены петрификаты. Туберкулёз поджелудочной железы (смотри полный свод знаний) встречается редко и обнаруживается, как правило, на секции. Возникает гематогенным, лимфогенным или контактным путём. В литературе описаны единичные наблюдения; типичных для туберкулёза симптомов не выявлено. Протекает заболевание как хронический панкреатит (смотри полный свод знаний). Течение заболевания определяется в основном тяжестью поражения лёгких и других органов. Диагноз абдоминального туберкулёза ставят главным образом на основании результатов бактериологического или гистологического исследования. Помимо сбора анамнеза, направленного на выявление связи заболевания с туберкулёзной инфекцией, должны применяться все существующие способы обследования органов брюшной полости: осмотр, пальпация, рентгеноскопия и рентгенография, исследование содержимого желудка и кишечника с целью выделения микобактерий туберкулёза, туберкулинодиагностика (смотри полный свод знаний), инструментальные, включая лапароскопию (смотри полный свод знаний: Перитонеоскопия), и оперативные методы исследования. Достоверный диагноз абдоминального туберкулёза можно установить лишь при лапаротомии (смотри полный свод знаний), в том числе пробной, с гистологический и бактериологические исследованием биопсийного материала. Важное диагностическое значение имеют рентгенография органов брюшной полости с целью выявления обызвествленных лимфатических, узлов при туберкулёзном лимфадените и контрастные исследования желудочно-кишечные тракта. При туберкулёзном поражении кишечника отмечают нарушения пассажа содержимого по кишечнику, деформации, стенозы, язвы (рисунок 10), сглаживание гаустр ободочной кишки и другие Большое диагностическое значение имеет симптом Штирлина (выпадения) — обнаружение при контрастном исследовании кишечника незаполненного барием участка восходящей ободочной кишки при выраженном контрастировании выше и нижележащих отделов. Способом ранней рентгенодиагностики туберкулёза подвздошной кишки может быть целенаправленное выявление дефекта её наполнения при дозированном давлении на илеоцекальную область. Ценным методом диагностики абдоминального туберкулёза является выявление микобактерий туберкулёза в содержимом желудка и кишечника, однако при этом должны быть исключены все другие возможные источники их поступления в желудочно-кишечные тракт. Дифференциальный диагноз проводят с хронический дизентерией (смотри полный свод знаний: Дизентерия), аппендицитом (смотри полный свод знаний), илеитом,(смотри полный свод знаний: Крона болезнь), хронический колитом (смотри полный свод знаний), раком слепой кишки, спаечной болезнью, кишечной непроходимостью (смотри полный свод знаний: Непроходимость кишечника), мезаденитом не туберкулёзной этиологии (смотри полный свод знаний: Мезаденит), кистами и опухолями женских половых органов, лимфогранулематозом (смотри полный свод знаний). Лечение абдоминального туберкулёза проводят в соответствии с общими принципами лечения туберкулёза (смотри полный свод знаний: Туберкулёз). Химиотерапия, являющаяся основным методом лечения, должна быть возможно более ранней, комплексной и длительной (10—12 месяцев). При назначении специфической химиотерапии избегают таких препаратов, как этионамид, этамбутол, усугубляющих имеющиеся при абдоминальном туберкулёзе диспептические явления и обладающих гепатотоксическим действием. Одновременно со специфическим антибактериальным лечением назначают полноценную диету с достаточным количеством белков, жиров, углеводов, витаминов А, группы В, аскорбиновой кислоты, исключают трудноусваиваемые пищевые продукты. Учитывая сопутствующие абдоминальному туберкулёзу диспептические нарушения, назначают патогенетические и симптоматические средства (фестал, панзинорм, препараты колибактерина и другие). Оперативное лечение проводят главным образом при осложнениях абдоминального туберкулёза (язвах, стенозах, перфорациях, непроходимости кишечника и другие). Положительный результат даёт удаление брыжеечных лимфатических, узлов, при туберкулёзном мезадените, если это возможно сделать без значительной травматизации брыжейки и кишечника. При туберкулёзе брюшины (особенно его экссудативной форме) показана аспирация асцитической жидкости при накоплении её в большом количестве. Санаторно-курортное лечение больных с абдоминальным туберкулёзом проводят как в местных санаториях, так и в общепризнанных курортных зонах, главным образом в специализированных санаториях для больных Туберкулёз внелёгочный Прогноз зависит от своевременной диагностики и лечения. Профилактика абдоминального туберкулёза заключается в полноценном лечении первичных форм туберкулёза. Проводится также санитарный-просвет. работа, направленная на предупреждение употребления населением в пищу продуктов, заражённых микобактериями туберкулёза (кипячение молока и другие). Туберкулёз мозговых оболочек и центральной нервной системыТуберкулёз центральная нервная система включает туберкулёз мозговых оболочек (туберкулёзный менингит), туберкулему головного мозга, а также поражение спинного мозга при туберкулёзном спондилите. До внедрения в клинические, практику антибиотиков туберкулёзный менингит составлял примерно 1/3 всех форм туберкулёза и являлся преимущественно заболеванием детского возраста. Летальность от туберкулёза центральная нервная система достигала 20% общей летальности от туберкулёза, а летальность от туберкулёзного менингита составляла 100%. В результате широко проводимых в СССР профилактических и лечебный мероприятий частота туберкулёза центральная нервная система, особенно туберкулёзного менингита у детей, резко снизилась, а выздоровление от последнего при своевременно начатом лечении достигает 100%. Туберкулёзный менингит — преимущественно вторичное туберкулёзное поражение (воспаление) оболочек мозга (мягкой, паутинной и реже твёрдой), возникающее у больных с различными, чаще активными и распространенными, формами туберкулёза. Является наиболее тяжёлой формой туберкулёза. Патогенез. В большинстве случаев микобактерии туберкулёза проникают в центральной нервной системы и мозговые оболочки гематогенным путём при диссеминированном туберкулёзе лёгких, туберкулёзе внутригрудных лимфатических, узлов и первичном туберкулёзном комплексе. Возможен также лимфогенный путь инфицирования мозговых оболочек при туберкулёзе внутригрудных лимфатических, узлов. При туберкулёзном спондилите, специфическом поражении костей черепа, внутреннего уха перенос возбудителей инфекции происходит ликворогенным и контактным путём. Мозговые оболочки могут инфицироваться и из ранее существовавших в мозге туберкулёзных очагов (туберкулем) в результате обострения патологический процесса. Однако первичный очаг туберкулёзного поражения иногда обнаружить не удаётся, и менингит оказывается единственным проявлением специфического процесса. Патологическая анатомия. Туберкулёзный менингит является разновидностью менингита (смотри полный свод знаний). Он может быть преимущественно экссудативным или продуктивным. При экссудативном туберкулёзном менингите мягкая оболочка головного мозга в области его основания набухшая, тусклая, с множеством рыхлых спаек, пропитана желатинозного вида экссудатом, содержащим фибрин и некротические массы. Первоначально патологический изменения развиваются в сосудах мозговых оболочек и сосудистых сплетениях желудочков мозга в виде васкулита с фибриноидным набуханием сосудистых стенок и тромбозом, приводящим к нарушению сосудистого барьера. В результате этого микобактерии туберкулёза проникают через изменённые сосудистые стенки, приводят к специфическому их поражению, а затем инфицируют цереброспинальную жидкость и мягкую оболочку головного мозга, главным образом основания мозга (базальный менингит). В периваскулярной ткани рассеяны эпителиоидные и эпителиоидно-гигантоклеточные туберкулёзные гранулемы, в том числе с казеозным некрозом в центре, с выраженной перифокальной лимфоцитарной инфильтрацией. При прогрессировании процесса на поверхности мозга формируется туберкулёзная грануляционная ткань, состоящая из эпителиоидных и лимфоидных клеток, иногда с гигантскими клетками Пирогова—Лангханса между ними. Особенно выражены воспалительные изменения на основании мозга, варолиева моста (моста головного мозга), основании лобных долей вокруг зрительного перекрёста, обонятельных трактов, в латеральных (сильвиевых) бороздах (смотри полный свод знаний: цветной рисунок 5 к статье Менингит). Экссудат может проникать в мозжечково-мозговую цистерну. При своевременном лечении экссудат рассасывается, воспалительные изменения исчезают, структура мозговых оболочек полностью восстанавливается. При поздно начатом лечении наступает фиброз туберкулёзных гранулем и очагов, мягкой мозговой оболочки, особенно в области основания мозга, что приводит к блокаде путей оттока цереброспинальной жидкости и развитию в ряде случаев гидроцефалии. Желудочки мозга при этом расширены. Отмечается эпендиматит, сопровождающийся высыпанием туберкулёзных гранулем на поверхности эпендимы. Воспалительные изменения в области сосудистых сплетений проявляются отёком, выпадением фибрина, образованием туберкулёзных гранулем (рисунок 11). С мягкой оболочки головного мозга воспалительные изменения переходят на вещество мозга (менингоэнцефалит), по ходу кровеносных сосудов которого наблюдается лимфоцитарная инфильтрация. Имеется перицеллюлярный и периваскулярный отёк ткани мозга (рисунок 12). Поражение кровеносных сосудов, особенно по ходу средней мозговой артерии, может вести к формированию очагов размягчения в соответствующих отделах мозга (смотри полный свод знаний: цветной рисунок 6 к статье Менингит). При применении специфического лечения выраженные экссудативные формы туберкулёзного менингита встречаются реже. Меньше выражены явления энцефалита, не образуется крупных очагов размягчения мозга, геморрагических инфарктов в связи со значительно более редкими васкулитами крупных мозговых артерий. При продуктивном туберкулёзном менингите явления отёка мозговых оболочек выражены меньше; на основании мозга формируются просовидные гранулемы эпителиоидно-гигантоклеточного строения с явлениями фиброза. Иногда туберкулёзный процесс локализуется преимущественно на верхнелатеральной поверхности головного мозга и в области борозд (конвекситальный менингоэнцефалит), где отмечается высыпание туберкулёзных гранулем различного строения. Наряду с оболочками головного мозга при распространении процесса может поражаться и мягкая оболочка спинного мозга. Клиническая картина. Течение туберкулёзного менингита в настоящий, время резко изменилось под влиянием лечения противотуберкулёзными средствами. Его клинические, картина стала более многообразной, увеличилась длительность болезни, изменился прогноз.
При всем многообразии клинические, проявлений туберкулёзного менингита на основании особенностей клинические, картины и в зависимости от преимущественной локализации патологический процесса различают три наиболее типичные клинические формы туберкулёза с поражением оболочек и вещества мозга: базальный (базилярный) туберкулёзный менингит, туберкулёзный менингоэнцефалит и туберкулёзный менингоэнцефаломиелит (цереброспинальный лептопахименингит). При прогрессировании процесса возможен переход одной формы в другую — базальной в менингоэнцефалитическую или цереброспинальную. Некоторые клиницисты выделяют конвекситальную форму туберкулёзного менингоэнцефалита, при которой процесс локализуется преимущественно на оболочках верхней латеральной поверхности головного мозга, особенно в области борозд. Описаны более редкие атипичные формы туберкулёзного менингита. Базальный туберкулёзный менингит является наиболее часто встречающейся формой. Он наблюдается в сравнительно ранней стадии заболевания. Воспалительный процесс локализуется преимущественно на оболочках основания мозга. Клинические, картина характеризуется выраженными мозговыми (нарушения психики, вегетативно-сосудистые расстройства и другие), менингеальными (головная боль, рвота, ригидность затылочных мышц) симптомами, нарушениями черепно-мозговой иннервации и сухожильных рефлексов, явлениями гидроцефалии и изменениями состава цереброспинальной жидкости (белок до 1,5—2‰, плеоцитоз от 50 до 700 клеток лимфоцитарно-нейтрофильного характера в 1 микролитров, содержание сахара снижено до 0,45— 0,3 грамм/литров). Микобактерии туберкулёза в цереброспинальной жидкости обнаруживают у 30—40% больных. Течение болезни, как правило, без обострений, изредка затяжное, исход благоприятный. Улучшение общего состояния и исчезновение мозговых симптомов, снижение температуры отмечается в течение 3— 4 недель Исчезновение менингеальных симптомов происходит через 2— 3 месяцев, а санация цереброспинальной жидкости — через 4—5 месяцев У части реконвалесцентов могут отмечаться нерезко выраженные расстройства черепно-мозговой иннервации в виде сглаженности носогубной складки, анизокории, косоглазия, а также повышение или угнетение сухожильных рефлексов. Туберкулёзный менингоэнцефалит — наиболее тяжёлая форма туберкулёзного менингита, которая до применения антибактериальных средств, заканчивалась, как правило, летально. Помимо выраженных мозговых и менингеальных проявлений, при туберкулёзном менингоэнцефалите отмечаются очаговые симптомы — двигательные нарушения (парезы, параличи конечностей, гиперкинезы, судороги), нарушения черепно-мозговой иннервации, иногда эндокринные расстройства, выраженная гидроцефалия. Изменения цереброспинальной жидкости более значительны, чем при базальном менингите. Течение болезни тяжёлое, иногда затяжное, с обострениями. Выздоровление — с выраженными остаточными изменениями (гидроцефалия, снижение интеллекта, нарушения эмоциональной сферы, параличи или парезы конечностей, эндокринные расстройства), обусловленными нарушением оттока цереброспинальной жидкости вследствие спаечного процесса, а также изменениями в веществе мозга. Туберкулёзный менингоэнцефаломиелит встречается сравнительно редко. Характерно постепенное малосимптомное начало, что обусловливает нередко позднюю диагностику. В дальнейшем отмечается выраженный менингеальный синдром, часто корешковые боли, мозговые симптомы и нарушения черепно-мозговой иннервации выражены умеренно. Изменения цереброспинальной жидкости наиболее значительны. Заболевание протекает обычно менее тяжело, чем менингоэнцефалит, но с медленной санацией цереброспинальной жидкости (от 5 до 15 месяцев). Редко в случаях перехода воспалительного процесса с мозговых оболочек на вещество спинного мозга, при сильном сдавлении его спайками, возможны тяжёлые осложнения: параличи, парезы, развитие полного блока путей оттока цереброспинальной жидкости, гидроцефалия. Диагноз. При диагностике туберкулёзного менингита учитывают клинические, проявления: постепенное развитие, менингеальные симптомы, поражение черепно-мозговых (черепных) нервов (смотри полный свод знаний: Менингит). При подозрении на туберкулёзный менингит больного необходимо комплексно обследовать с целью выявления первичной локализации туберкулёза. При обследовании проводят рентгенографию грудной клетки, а у детей, кроме того, и томографию, пробу Манту (смотри полный свод знаний: Туберкулинодиагностика). Необходимы консультации фтизиатра, окулиста, невропатолога и других специалистов. Дифференциальный диагноз проводят с соматическими заболеваниями, при которых могут наблюдаться явления менингизма (смотри полный свод знаний), а также менингитом различной этиологии (смотри полный свод знаний: Менингит). Определяющим в постановке диагноза является исследование цереброспинальной жидкости (смотри полный свод знаний). Лечен и е. Больные подлежат срочной госпитализации в специализированные отделения, где им назначают противотуберкулёзные, общеукрепляющие и симптоматические лекарственные средства (смотри полный свод знаний: Менингит), соответствующую диету. В процессе химиотерапии производят контрольные спинномозговые пункции (смотри полный свод знаний) для исследования цереброспинальной жидкости. В дальнейшем больные, перенёсшие туберкулёзный менингит, наблюдаются в противотуберкулёзном диспансере (смотри полный свод знаний). В первые 2—3 года после выписки проводятся профилактические курсы лечения изониазидом в сочетании с этамбутолом или протионамидом 2 раза в год по 2—2½ месяцев, как правило, в условиях санатория. Лица с остаточными явлениями перенесённого менингита, помимо диспансера, наблюдаются и лечатся у невропатологов, окулистов, психиатров. Вопрос о трудоспособности решается индивидуально ВКК. Длительность химиотерапии определяется характером течения менингита и основного туберкулёзного процесса, но должна быть не менее 6 месяцев от момента нормализации состава цереброспинальной жидкости. Общая продолжительность лечения составляет 12 месяцев и более, так как клинические, выздоровление значительно опережает восстановление анатомических структур, а также вследствие сочетания менингита с туберкулёзом внутренних органов, требующим длительного лечения. При поздней диагностике менингита и тяжёлом его течении, а также при невозможности принимать лекарства через рот (затруднение глотания, упорная рвота) показано внутривенное капельное введение изониазида до заметного улучшения состояния. Кортикостероидные гормоны назначают внутрь или внутривенно, а при нарушении циркуляции цереброспинальной жидкости — эндолюмбально. Рифампицин целесообразно назначать с начала курса лечения, особенно при тяжёлом течении заболевания. Больные туберкулёзным менингитом дети должны находиться на постельном режиме до нормализации состава цереброспинальной жидкости, взрослые — до исчезновения менингеальных симптомов и значительного улучшения состава цереброспинальной жидкости. Прогноз для жизни в большинстве случаев благоприятный. Туберкулема головного мозга является одной из форм туберкулёза центральная нервная система и связана с гематогенной диссеминацией возбудителей инфекции из первичного туберкулёзного очага. Макро и микроскопически туберкулема мозга аналогична туберкулёме лёгкого и представляет собой обычно округлый очаг инкапсулированного казеозного некроза диаметром 1—4 сантиметров. Массы казеозного некроза в туберкулёме (смотри полный свод знаний) могут уплотняться и кальцинироваться. Специфическая грануляционная ткань трансформируется в фиброзную, чётко отграничивая очаг от ткани мозга. Чаще встречаются солитарные туберкулемы, однако число их может быть различным. В случаях прогрессирования процесса и при расположении туберкулемы вблизи поверхности мозга воспалительные явления могут переходить на мягкую мозговую оболочку головного мозга. Встречаются два типа течения болезни (смотри полный свод знаний: Головной мозг, инфекционные гранулемы). Для одного из них присуще острое начало с подъёмом температуры, быстрое развитие симптомов поражения мозга, зависящих от локализации процесса, с последующим волнообразным течением и длительным субфебрилитетом. При этом часто диагностируется менингит, менингоэнцефалит. Второй тип характеризуется медленным развитием, с ремиссиями. Диагностика туберкулем мозга трудна. При этом учитывают анамнез, клинические, симптоматику, данные клинико-неврологического обследования, а также рентгенологическое исследования, ангиографии, электроэнцефалографии, эхоэнцефалографии и компьютерной томографии, позволяющих установить локализацию и размеры туберкулемы. Дифференциальный диагноз следует проводить с опухолями головного мозга, гуммами (смотри полный свод знаний: Сифилис), другими нейроинфекциями. Лечение оперативное, туберкулему удаляют полностью, вылущивая её в пределах здоровой ткани. Оперативное лечение туберкулем сочетают с консервативным (противотуберкулёзные, диуретические средства, общеукрепляющее и последующее санитарно-курортный лечение). Прогноз серьёзен; в далеко зашедших случаях изменения со стороны нервной системы необратимы. Поражение спинного мозга при туберкулёзном спондилите наблюдается при прогрессировании туберкулёзного процесса в позвоночнике. Вследствие разрушения и смещения позвонков, развития грануляционной ткани и образования холодного абсцесса, из которого казеозные массы распространяются под заднюю продольную связку позвоночника (смотри полный свод знаний: Спондилит), может произойти сдавление спинного мозга и сосудов, питающих спинной мозг. При этом развиваются расстройства кровообращения, эндофлебиты, тромбозы, а также специфический васкулит, вызывающие отёк спинного мозга и компрессионный миелит. Твёрдая оболочка спинного мозга препятствует распространению туберкулёзного процесса на ткань спинного мозга. Лишь в очень редких случаях возможен непосредственный переход его на твёрдую оболочку и развитие пахименингита (смотри полный свод знаний). В клинические, картине преобладают неврологический расстройства (локальные и радикулярные боли, нарушения чувствительности, двигательные расстройства, парезы и параличи). Параличи, возникающие в разгар болезни, называют раннии. При своевременной ликвидации абсцесса прогноз благоприятный. Поздние параличи появляются через несколько лет от начала спондилита. Причиной их является длительно существующий в рубцовой ткани абсцесс, сдавление мозга разрушенными позвонками и фиброзно изменённой твёрдой оболочкой, дегенеративные изменения спинного мозга. Прогноз их неблагоприятный. Помимо степени поражения позвонков, распространённости процесса и его давности, клинические, картина неврологический расстройств зависит и от локализации процесса. Для диагностики большое значение имеет обнаружение активного или перенесённого туберкулёза лёгких, лимфатических, узлов и других органов, а у детей также положительные туберкулиновые реакции, наличие контакта с больным туберкулёзом. Лечение туберкулёзного спондилита включает в себя иммобилизацию в гипсовой кроватке, широкое использование противотуберкулёзных средств и оперативное вмешательство, которое особенно важно при наличии неврологический осложнений. Основными видами операций являются некрэктомия и абсцессэктомия, которые позволяют устранить сдавление спинного мозга. Эффективность операции наибольшая в ранней стадии параличей — в первые 6—12 месяцев их появления. В этот период наблюдается излечение почти всех больных, через 2 года — половины больных, а после 3-х лет выздоровления не наблюдается. Смотри полный свод знаний: Спондилит.
Вас категорически не устраивает перспектива безвозвратно исчезнуть из этого мира? Вы не желаете закончить свой жизненный путь в виде омерзительной гниющей органической массы пожираемой копошащимися в ней могильными червями? Вы желаете вернувшись в молодость прожить ещё одну жизнь? Начать всё заново? Исправить совершённые ошибки? Осуществить несбывшиеся мечты? Перейдите по ссылке: «главная страница».
|
|||||||||||||||||||||||||||||||||||||||||||||||||||||||||||||||||||||||||||||||||||||||||||