Вильмса опухоль

Оглавление

  1. Дорога к бессмертию
  2. Бессмертие и религия
  3. Философия бессмертия
  4. Бессмертие и наука
  5. История анабиоза
  6. Смерть
  7. Кора головного мозга
  8. Бессмертие и анабиоз
  9. Анабиоз, медицина и биология
  10. Анабиоз и экономика
  11. Анабиоз и закон
  12. Анабиоз в Антарктиде
  13. Техническое обеспечение анабиоза
  14. Бессмертие и вера
  15. Библиотека Ordo Deus
  16. Контактная страница Ordo Deus

Вильмса опухоль

Вильмса опухоль [М. Wilms, нем. хирург, 1867—1918; синонимы: аденосаркома почки, нефробластома, эмбриональная нефрома (в литературе имеется 53 названия этой опухоли)] — дизонтогенетическая опухоль почки. Опухоль описана М. Вильмсом в 1899 год; является одной из наиболее частых злокачественных опухолей у детей. Обнаруживается обычно в возрасте 2—5 лет, но может встречаться в любом возрасте, даже у глубоких стариков.

Информация об Ordo Deus Перейти в оглавление сайта

Рис
Резкое увеличение живота у ребёнка при гигантской опухоли Вильмса.

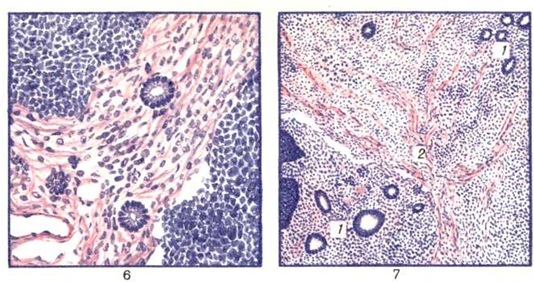
Опухоль имеет вид хорошо отграниченного узла и может достигать больших размеров (рисунок); располагается под капсулой или около ворот почки. Опухоль плотная, на разрезе чаще имеет вид гомогенной ткани, серого или розового цвета, иногда пёстрая. Гистологически (цветной рисунок 6 и 7) выделяют: 1) опухоли с преобладанием нефрогенной ткани, которые могут быть с выраженной дифференцировкой нефрогенного зачатка, со слабо выраженной дифференцировкой нефрогенного зачатка, с недифференцированным нефрогенным зачатком; 2) опухоли с преобладанием мезенхимальной ткани; 3) опухоли с преобладанием нейроэктодермальной ткани. Нефрогенная ткань в Вильмса опухоль напоминает эмбриональный зачаток почки и представлена скоплениями или тяжами мелких клеток с круглыми или овальными ядрами и узким ободком цитоплазмы. Клетки образуют трубочки, подобные почечным канальцам, или структуры, напоминающие почечные клубочки. Мезенхима опухоли состоит из круглых или звездчатых клеток, сходных иногда с фибробластами и свободно лежащих среди переплетающихся фиброзных волокон. Нейрогенная ткань представлена клетками, напоминающими симпатогонии и симпатобласты. Местами эти клетки образуют розетки или располагаются рядами, характерными для симпатобластомы. В Вильмса опухоль нередко встречаются комплексы из мышечных волокон и миобластов. В большинстве случаев опухоль бессосудистая; наиболее часто метастазирует в лёгкие, лимфатических, узлы, реже в печень, редко в другие органы.

Информация об Ordo Deus Перейти в оглавление сайта

Рис. 6. Тяж эмбриональной соединительной ткани с образующимися железистыми структурами пронизывает поле из темных клеток (окраска гематоксилин-эозином; ×400).
Рис. 7. Участок дифференцирующейся нефрогенной ткани (1); 2 — переплетающиеся мышечные волокна. (Окраска гематоксилин-эозином; ×80.)

Предложены различные классификации Вильмса опухоль, которые постоянно видоизменяются, так как гистогенез этой опухоли остаётся спорным. Одни авторы предполагают, что она происходит из разных тканевых зачатков, другие считают её основой мезодерму, из которой развиваются нефро-эпителиальные и соединительнотканные элементы.

Клиническая картина заболевания отличается бедностью симптомов: бледность кожных покровов, субфебрильная температура, иногда отмечается тошнота, реже рвота, снижение аппетита, периодически тупые боли в животе. Могут наблюдаться ускоренная РОЭ, следы белка в моче. Наиболее постоянный симптом — опухоль в животе, которая часто является первым признаком, привлекающим внимание родителей и врачей. В терминальных стадиях заболевания отмечается гематурия (в 20—25%). При появлении метастазов выявляется ряд новых симптомов: асцит, желтуха, нарастание похудания вплоть до кахексии, расстройства мочеиспускания.

Диагностика основана на комплексном изучении анамнестических, клинических и рентгенологических данных. Важным методом в обследовании больного является пальпация живота, у маленьких детей часто с применением миорелаксантов. Основным рентгенологическим методом является экскреторная урография (смотри), которая в сочетании с пневморетроперитонеумом (смотри) позволяет поставить точный диагноз в 80% случаев; при этом наиболее важными признаками Вильмса опухоль являются изменение нормального рисунка чашечно-лоханочного аппарата, изменение положения почек и мочеточников, наличие патологического тенеобразования. Для диагностики сложных случаев применяют трансфеморальную аортографию (смотри), прямую лимфографию (смотри); применяется также радиоизотопная диагностика. Дифференциальная диагностика проводится главным образом с забрюшинными нейрогенными опухолями.

Лечение комплексное. Сначала проводят оперативное лечение, затем — лучевое, которое должно начинаться как можно раньше (в первые дин после операции суммарно-очаговые-дозы: при радикальной операции от 2000 до — 2500 рад, при нерадикальной операции—до 5000 рад). Оперативное лечение заключается в трансперитонеальной нефрэктомии с обязательной предварительной перевязкой сосудистой ножки почки. Применение этого метода, особенно в сочетании со специальными методами обезболивания (нейролептаналгезия), позволяет добиться высокоэффективной операбельности при Вильмса опухоль (например, удаление гигантских опухолей). В дальнейшем, в послеоперационном периоде, применяется лекарственная терапия. Лекарственное лечение про¬водится различными курсами. Наиболее эффективными препаратами являются: актиномицин D, винкристин, циклофосфан, а также их различные сочетания в комбинации с лучевым лечением. Актиномицин D применяют по 15 микрограмм/килограмм ежедневно в течение 5 дней. Следующий курс проводят через месяц, а затем через каждые 2—3 месяца в течение года после операции. Винкристин применяют по 0,05 миллиграмм/килограмм в сочетании с циклофосфаном (20—30 миллиграмм/килограмм через каждые 7 дней в течение месяца). При множественных метастазах в лёгкие показано сочетание лекарственного лечения с облучением лёгких, при солитарных метастазах в лёгкие и печень — оперативное удаление очагов.

Прогноз. Применение комплексного лечения позволяет добиться выздоровления почти половины заболевших детей, причём в возрасте до 1 года выздоравливает 80%. Большую роль играет своевременная диагностика, которая во многом зависит от онкологической настороженности по отношению к ребёнку.

Дурнов Л.А.

⇐ Перейти на главную страницу сайта

⇑ Вернуться в начало страницы ⇑

Библиотека Ordo Deus ⇒

⇐ Вибрационная болезнь

⇓ Полный свод знаний. Том первый А. ⇓

Вильсона — Микити синдром ⇒

Все статьи в полном изложении, Вы можете найти в большой медицинской энциклопедии — Главный редактор: академик АН СССР (РАН) и АМН СССР (РАМН) Б.В. Петровский. — Москва издательство «Советская энциклопедия» 1989г.

Внимание! Вы находитесь в библиотеке «Ordo Deus». Все книги в электронном варианте, содержащиеся в библиотеке «Ordo Deus», принадлежат их законным владельцам (авторам, переводчикам, издательствам). Все книги и статьи взяты из открытых источников и размещаются здесь только для чтения.

Библиотека «Ordo Deus» не преследует никакой коммерческой выгоды.

Все авторские права сохраняются за правообладателями. Если Вы являетесь автором данного документа и хотите дополнить его или изменить, уточнить реквизиты автора, опубликовать другие документы или возможно вы не желаете, чтобы какой-то из ваших материалов находился в библиотеке, пожалуйста, свяжитесь с нами по e-mail:
info @ ordodeus. ru
Формы для прямой связи с нами находятся в нижней части страниц: контакты и устав «Ordo Deus», для перехода на эти страницы воспользуйтесь кнопкой контакты вверху страницы или ссылкой в оглавлении сайта.

Вас категорически не устраивает перспектива безвозвратно исчезнуть из этого мира? Вы не желаете закончить свой жизненный путь в виде омерзительной гниющей органической массы пожираемой копошащимися в ней могильными червями? Вы желаете вернувшись в молодость прожить ещё одну жизнь? Начать всё заново? Исправить совершённые ошибки? Осуществить несбывшиеся мечты? Перейдите по ссылке: «главная страница».

© Ordo Deus, 2010. При копировании ссылка на сайт http://www.ordo-deus.ru обязательна.