Желчнокаменная болезнь

Оглавление

  1. Дорога к бессмертию
  2. Бессмертие и религия
  3. Философия бессмертия
  4. Бессмертие и наука
  5. История анабиоза
  6. Смерть
  7. Кора головного мозга
  8. Бессмертие и анабиоз
  9. Анабиоз, медицина и биология
  10. Анабиоз и экономика
  11. Анабиоз и закон
  12. Анабиоз в Антарктиде
  13. Техническое обеспечение анабиоза
  14. Бессмертие и вера
  15. Библиотека Ordo Deus
  16. Контактная страница Ordo Deus

Желчнокаменная болезнь

Желчнокаменная болезнь (cholelithiasis; синонимы: калькулёз, калькулёзный холецистит) — заболевание, обусловленное образованием и наличием конкрементов в желчном пузыре и в желчных протоках.

Впервые желчные камни (смотри полный свод знаний) у человека описал в 14 век Жентиль да Фолиньо (Gentile de Foligno). Подробное описание желчных камней и клинический, картины заболевания, вызванного ими, представил в 1760 год Дж. Морганьи. В 1814 год Шеврель (М. Е. Chevreul) исследовал и назвал холестерином вещество, из которого состоят желчные камни. Бушар (Ch. Bouchard) в 1882 год обнаружил влияние замедленного обмена веществ и конституционального фактора на развитие Желчнокаменная болезнь 10 лет спустя Б. Наунин выдвинул инфекционную теорию происхождения желчных камней, хотя уже в 1856 год Гемсбах (Meckel v. Hemsbach) связал процесс камнеобразования с воспалением желчного пузыря. Согласно существовавшим теориям продукты воспаления — слизь, пласты эпителия и другие являются основой для агрегации составных частей желчи и образования желчных камней. В 1885 год

В. Пашу тин объяснил образование желчных камней высоким содержанием в желчи труднорастворимого холестерина и малым количеством веществ, удерживающих его в растворе. Л. Ашофф и Бакмейстер (A. Bacmeister) в 1909 год установили роль застоя желчи в процессе камнеобразования. Исследования русский хирургов П. Фёдорова и А. В. Мартынова, терапевтов М. П. Кончаловского и A. Л. Мясникова внесли значительный вклад в развитие представлений о Желчнокаменная болезнь

Желчнокаменная болезнь является распространённым заболеванием, хотя характеристика истинной заболеваемости чрезвычайно трудна в связи с тем, что у значительного числа людей болезнь протекает латентно. Достоверными являются патологоанатомические данные: камни в желчных путях, по исследованиям Мадьяра (I. Magyar), обнаруживают в 10—20% всех вскрытий в Европе. После 40-летнего возраста этот показатель достигает 25%, а после 70 лет — 50%. Согласно большинству статистических обзоров Желчнокаменная болезнь у женщин встречается чаще, чем у мужчин. В возрасте до 20 лет желчные камни образуются редко.

Этиология и патогенез

Желчнокаменная болезнь — полиэтиологическое заболевание. Взаимодействие таких факторов, как генетическая предрасположенность, нерациональное питание, нарушение обмена веществ, инфекция, стаз желчи и другие, является предпосылкой для изменения физических-химический свойств желчи — дисхолии, при которой желчь (смотри полный свод знаний) становится литогенной, то есть способной к образованию камней.

Нормальная печёночная желчь может приобрести литогенность в желчном пузыре (холецистогенная дисхолия) или временно становится литогенной вследствие нарушения регулярной печёночно-кишечной циркуляции основных составных частей желчи. При этом снижается так называемый холато-холестериновый индекс — соотношение между содержанием в желчи желчных кислот (смотри полный свод знаний) и холестерина (смотри полный свод знаний). Холестерин нерастворим в воде и в желчи удерживается лишь благодаря желчным кислотам (смотри полный свод знаний), обладающим большой поверхностной активностью, и лецитину. При недостатке желчных кислот холестерин выпадает в осадок, давая начало образованию камней. Существует мнение, что при Желчнокаменная болезнь печень продуцирует литогенную желчь (печёночная дисхолия). По данным многих авторов, электрофоретическое определение макромолекулярного (липидного) комплекса желчи по сравнению с нормой выявляло снижение показателей как в печёночной, так и в пузырной желчи при Желчнокаменная болезнь. Кроме того, обнаружено, что при Желчнокаменная болезнь активность гидрокси-3-метилглутарил-СоА-редуктазы — фермента, участвующего в синтезе холестерина, в печени повышена, а активность 7α-гидроксилазы, участвующей в синтезе желчных кислот, снижена. У части больных наличие холестериновых камней обусловлено заболеваниями желчного пузыря, желудочно-кишечные тракта, Павел (I. Pavel, 1962), ранней стадией Желчнокаменная болезнь считает расстройство выделения и всасывания веществ стенкой желчного пузыря. Н. А. Скуя в 1966, 1972 годы установил роль местной аллергизации стенки желчного пузыря (колибациллярного и аутоиммунного происхождения) в развитии дискринии, холецистогенной дисхолии и камнеобразования.

Последнему способствуют также инфекция желчного пузыря, застой желчи и расстройство обмена холестерина. Важное значение в образовании желчных камней имеют факторы питания: нерегулярное питание, высокая калорийность пищи, употребление богатых холестерином продуктов. В 10—27% случаев Желчнокаменная болезнь в желчном пузыре обнаруживаются пигментные камни, состоящие в основном из билирубината кальция. К увеличению количества билирубина в желчи и его осаждению ведёт усиленный гемолиз при гемолитической болезни, повторных переливаниях крови и другие Фермент Р-глюкуронидаза (бактериального, печёночного происхождения), выделяющийся слизистой оболочкой желчного пузыря, гидролизует глюкуронид билирубина. Из свободного билирубина и кальция желчи образуется билирубинат кальция, служащий центром апресации и формирования камней, чему способствует также стаз желчи и инфекция (смотри полный свод знаний Желчные камни).

Одну из первых экспериментальных моделей калькулёзного холецистита создал П. С. Иконников в 1915 год; в результате перевязки пузырного протока у собак с введением в полость пузыря кишечной палочки и других микробов развивался гнойный холецистит, а через 3—4 месяцев образовывались желчные камни. Другие исследователи использовали различные методы: с применением инфекционного агента (В. Д. Галкин, А. С. Чечулин, 1960; В. В. Силакова, Р. К. Марченко, 1962); с нарушением функции сфинктера общего желчного протока (сфинктера Одди) (Н. Н. Аничков, М. А. Захарьевская, 1938); с созданием асептического застоя желчи (Д. А. Брусиловская, 1948); с введением в полость желчного пузыря инородного тела [Раус (P. Rous) и соавторами, 1924]; с нарушением иннервации желчного пузыря (В. А. Иванов, М. Н. Молоденков, 1964); с кормлением (хомяков) холестерином [Теппермен (I. Террегшап, 1965)]; с применением неполноценного питания и так далее. Все разработанные модели Желчнокаменная болезнь нельзя считать удовлетворительными в связи с тем, что моделирование болезней с медленным развитием и разнообразным происхождением чрезвычайно трудно.



Информация об Ordo Deus Перейти в оглавление сайта

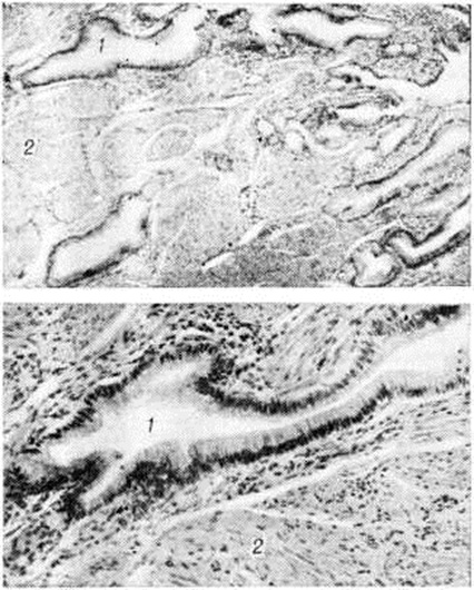
Рис. 1.
Микропрепарат стенки желчного пузыря при желчнокаменной болезни: глубокие эпителиальные инвагинаты — «ходы Лушки» (1), достигающие мышечного слоя (2), внизу фрагмент того же препарата при большем увеличении.





Информация об Ordo Deus Перейти в оглавление сайта

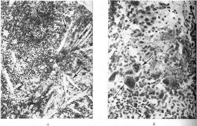
Рис. 2.
Микропрепарат мышечного слоя стенки желчного пузыря при желчнокаменной болезни: а — кристаллические структуры холестерина (указаны стрелками) в толще мышечного слоя; б — многоядерные гигантские клетки (указаны стрелками) в толще мышечного слоя.



Патологическая анатомия

Патологоанатомические изменения при Желчнокаменная болезнь связаны с процессами, ведущими к образованию желчных камней (смотри полный свод знаний), наличием их в желчном пузыре и желчных протоках, а также с миграцией камней по системе желчевыводящих протоков и закупоркой их (смотри полный свод знаний Желчные протоки, Желчный пузырь, Холецистит).

И. В. Давыдовский считал характерным для Желчнокаменная болезнь появление так называемый ходов Лушки — разрастание гладких мышц и слизистых желёз желчного пузыря (рисунок 1). Ходы выстланы призматическим эпителием, достигают мышечной оболочки и субсерозной основы пузыря, способствуют проникновению инфекции и являются, по мнению некоторых авторов, причиной камнеобразования. Другим морфологический признаком Желчнокаменная болезнь является наличие внутристеночных холестериновых гранулём. Они возникают вследствие язвенно-некротических поражений стенок желчного пузыря и проникновения в мышечную оболочку желчи, составные элементы которой в процессе репарации (смотри полный свод знаний) оказываются замурованными фиброзной тканью в толще мышечного слоя. Холестерин желчи кристаллизуется и резорбируется многоядерными гигантскими клетками (рисунок 2), обнаруживаемыми в больших количествах в гранулемах. Гранулемы локализуются, как правило, в теле и шейке желчного пузыря.

Клиническая картина

Клинической, проявления Желчнокаменная болезнь чрезвычайно разнообразны, в связи с чем условно различают следующие клинический, формы Желчнокаменная болезнь: болевую хроническую; диспептическую хроническую; желчную (печёночную) колику; прочие клинический, формы, в том числе латентную, так называемый стенокардитическую, и триаду Сейнта.

Болевая хронический форма Желчнокаменная болезнь может протекать при наличии так называемый малых признаков, среди которых обычно наблюдаются диспептические расстройства, недомогание. Диспептические явления (чувство тяжести в подложечной области через 1 — 3 часа после еды, вздутие живота, поносы, возникающие после приёма пищи, особенно жирной) возникают периодически. Иногда появляются ноющие боли под ложечкой и в области правого подреберья также в связи с едой, распространяющиеся в области спины и правой лопатки. В этом периоде при глубокой пальпации обнаруживаются некоторые болевые ощущения в правом подреберье, определяются болевые точки (в подложечной области, в области желчного пузыря, в поджелудочно-желчно-пузырной точке, в точке диафрагмального нерва и другие). Диагноз уточняется рентгенологическое исследованием (смотри полный свод знаний Желчный пузырь, рентгенодиагностика).

Диспептическая хронический форма Желчнокаменная болезнь при отсутствии болей характерной локализации сопровождается жалобами, указывающими на функциональные расстройства деятельности желудочно-кишечные тракта, — изжогой, чувством тяжести под ложечкой, неустойчивым стулом, стеатореей, метеоризмом.

Наиболее типичный симптом Желчнокаменная болезнь— приступ желчной (печёночной) колики. Провоцирующая роль в возникновении приступа принадлежит отрицательным эмоциям, употреблению в пищу жиров, пряностей, острых приправ, резким физических движениям, а также работе в наклонном положении. У женщин колика нередко совпадает с менструациями или наступает после родов. Боль при Желчнокаменная болезнь, как правило, возникает внезапно, часто в ночные часы, локализуется в правом подреберье, реже под мечевидным отростком или справа от него с характерной иррадиацией в правую лопатку и подлопаточную область, плечо, шею, челюсть, лобную область, правый глаз. Реже боли иррадиируют влево, в область сердца, провоцируя приступ стенокардии. Боль, как правило, сильная, колющего, раздирающего, режущего характера, возможно развитие шока. Приступ желчной колики иногда сопровождается многократной рвотой.

Во время болевого приступа живот вздут, брюшная стенка напряжена, более резко в области проекции желчного пузыря. У стариков и ослабленных больных напряжение может отсутствовать. Характерна резкая болезненность при пальпации в правом подреберье. По стихании болевых ощущений удаётся прощупать увеличенную болезненную печень, а иногда и желчный пузырь. Кожа над областью желчного пузыря болезненна. У многих больных обнаруживают типичные симптомы: Мюсси (болезненность при надавливании между ножками правой грудино-ключично-сосцевидной мышцы), Ортнера (резкая боль при доколачивании пальцем в правой подрёберной области или непосредственно по рёберной дуге). Нередко выявляется болезненность в пузырной точке (пересечение правой прямой мышцы живота с рёберной дугой), а также при надавливании под нижним углом правой лопатки и справа у остистых отростков VIII — XI грудных позвонков.



Информация об Ordo Deus Перейти в оглавление сайта

Рис. 3.
Схема желчевыводящих путей: 1 — желчный пузырь; 2 — шейка желчного пузыря; 3 — пузырный проток; 4 — правый печёночный проток; 5 — левый печёночный проток; 6 — общий печёночный проток; 7 — общий желчный проток; 8 — поджелудочная железа; 9 — проток поджелудочной железы; 10 — двенадцатиперстная кишка. Рис. 3 (норма) дан для сравнения. Рис. 4. Схематическое изображение некоторых осложнений желчнокаменной болезни: а — камни в желчном пузыре, один камень застрял в шейке желчного пузыря, пузырь увеличен — водянка; б — желчный пузырь заполнен камнями, в результате воспаления сморщен, не функционирует, так как пузырный проток закрыт; в — камни в желчном пузыре, один камень застрял в устье общего желчного протока, протоки расширены; г — камни в желчном пузыре, вследствие повторных отхождений камней поражён и сужен выходной отдел общего желчного протока, желчные протоки выше расширены.



При исследовании больного нередко отмечаются тахикардия, приглушенность сердечных тонов; реже — брадикардия, экстрасистолия, ритм галопа.

Часто, даже при не осложнённой инфекцией Желчнокаменная болезнь, желчная колика сопровождается быстрым и значительным подъёмом температуры; лихорадка длится недолго.

Продолжительность болевого приступа при неосложнённой Желчнокаменная болезнь различна — от нескольких минут до нескольких часов, а у некоторых больных до 2 суток. В большинстве случаев после прекращения приступа при исследовании желчного пузыря и печени не удаётся установить никаких отклонений и больные чувствуют себя здоровыми. Иногда некоторое время остаются слабость и разбитость. В редких случаях желчная колика заканчивается выходом в кишечник камня (диаметром не более 1 сантиметров), который можно обнаружить в кале через 1—2 суток Окончание приступа может сопровождаться выделением обильного количества светлой мочи.

Обтурация желчевыводящих протоков, при которой желчная колика является ведущим симптомом, имеет ряд дополнительных признаков: желчный пузырь наполняется желчью и становится доступным для пальпации. При дуоденальном зондировании (смотри полный свод знаний), проведённом вне периода выраженных болей, не удаётся получить пузырную желчь. Закупорка общего желчного протока характеризуется развитием желтухи (смотри полный свод знаний), гиперхолестеринемией, гиперфосфатаземией. При наличии вентильного камня возникает перемежающаяся желтуха с усилением и ослаблением окраски кожных покровов. Обнаруживается гипербилирубинемия (смотри полный свод знаний), возникает кожный зуд, а при длительном течении — явления геморрагического диатеза (смотри полный свод знаний).

При закупорке печёночных протоков клинический, картина менее характерна , лабораторно-инструментальные исследования оказываются малоинформативными. При присоединении инфекции повышается температура; в крови — лейкоцитоз, ускоряется РОЭ.

Так называемый стенокардитическая форма наблюдается у пожилых людей с ишемической болезнью сердца и исчезает после холецистэктомии. Триада Сейнта — сочетание Желчнокаменная болезнь с диафрагмальной грыжей и дивертикулёзом толстой кишки (смотри полный свод знаний Сейнта синдром).

Течение Желчнокаменная болезнь разнообразно по тяжести и частоте приступов Желчнокаменная болезнь, не осложнённая инфекцией и обтурацией, раз проявившись приступом желчной колики, может более никогда не беспокоить больного, хотя обычно приступы повторяются: в одних случаях они следуют один за другим с небольшими промежутками, в других — возникают 1 — 2 раза в год, иногда реже. Причинами их могут стать неправильные образ жизни и питание больного, неблагоприятные условия труда, наличие отрицательных эмоций и другие факторы. У ряда больных может произойти спонтанное выздоровление после выхода небольшого камня в кишечник.

Осложнения

При больших камнях, расположенных на дне желчного пузыря, и при ущемлении камня в выходном отделе пузыря могут развиться пролежни (цветной рисунок 4) и гангрена его стенки с перфорацией, желчным перитонитом (смотри полный свод знаний) или подпечёночным абсцессом, внутренними свищами. При длительной закупорке шейки желчного пузыря возникает водянка его, а при нагноении содержимого — эмпиема. Закупорка камнем общего желчного протока ведёт к развитию механической желтухи. Желтуха возникает также после сравнительно редкого процесса — гепатолитиаза, при котором камни образуются в печёночных протоках и закупоривают их. Повторное или длительное нахождение камней в общем желчном протоке влечёт за собой воспаление его — холедохит. Схематическое изображение некоторых вариантов осложнений, связанных с продвижением камней по желчным протокам и их закупоркой, представлено на рисунке 4. Продолжительная механическая желтуха часто сопровождается холангитом и, наконец, ведёт к вторичному билиарному циррозу печени (смотри полный свод знаний). При длительном течении её и особенно при наличии осложнений Желчнокаменная болезнь всегда сопровождается патологический изменениями в печени — реактивным гепатитом, реже жировым гепатозом, вовлечением в патологический процесс поджелудочной железы. На фоне длительного существования Желчнокаменная болезнь может возникнуть рак желчного пузыря.



Информация об Ordo Deus Перейти в оглавление сайта

Рис. 4
Вскрытые желчные пузыри, заполненные камнями: рисунок 4 — одиночный холестериново-пигментный камень в суженной полости желчного пузыря — стенка пузыря утолщена, па внутренней поверхности — пролежни (указаны стрелками); рисунок 5 — мелкие фасетированные холестериново-пигментные камни. Рис. 6 – крупные смешанные камни.





Информация об Ordo Deus Перейти в оглавление сайта

Рис. 6.
Рентгенограмма области правого подреберья в прямой проекции: в области желчного пузыря видны тени камней, содержащих известь (указаны стрелкой). Рис. 0. Рентгенограмма желчного пузыря в прямой проекции: крупные смешанные камни (2) в желчном пузыре; щелевидные заполненные газом полости (2) в камнях.



Диагноз

Известную диагностическую ценность представляют данные анамнеза, наследственность (наличие в семье обменных заболеваний), внешний вид больного (ожирение).

Лабораторные и инструментальные исследования включают дуоденальное зондирование (смотри полный свод знаний), рентгенологическое исследование желчных путей, дуоденоскопию (смотри полный свод знаний), биохимический исследование сыворотки крови (определение билирубина и его фракций, холестерина, активности щелочной фосфатазы и так далее), желчи и мочи.

Рентгенологическое исследование направлено на выявление желчных камней, а также определение функционального состояния желчного пузыря с помощью различных методов — рентгенографии (смотри полный свод знаний), томографии (смотри полный свод знаний), холецистографии (смотри полный свод знаний), холеграфии (смотри полный свод знаний), холангиографии (смотри полный свод знаний), в том числе и во время операции.



Информация об Ordo Deus Перейти в оглавление сайта

Рис. 7. Холецистограмма: множественные камни в нижней части контрастированного желчного пузыря.
Рис. 8. Холецистограмма: множественные «плавающие» камни в желчном пузыре (указаны стрелкой).



Желчные камни на обычных снимках обнаруживаются лишь при содержании в них извести свыше 0,3%. Большинство смешанных камней на рентгенограмме дают тень в виде кольца или многоугольника, реже неправильной конфигурации (рисунок 5). Иногда в центре смешанного камня удаётся различить щелевидную полость, содержащую газ (рисунок 6). Известковые (меловые) камни дают ясное изображение либо в виде скопления жидкой массы в пузыре («известковая желчь»), либо в виде густой массы, частично заполняющей желчный пузырь. Холестериновые и пигментные камни слабо поглощают рентгеновское излучение, и на фоне известковой массы могут быть видны дефекты наполнения. Множественные мелкие углекальциевые камни обнаруживаются в виде интенсивной и неоднородной тени. Камни, невидимые при обычной рентгенографии, выявляются при контрастировании желчного пузыря как дефекты наполнения (рисунок 7). Холестериновые мелкие камни при вертикальном положении больного образуют цепочку просветлений, пересекающую желчный пузырь в поперечном направлении («плавающие камни» — рисунок 8).

Если камень закупорил пузырный проток, то тень желчного пузыря при холеграфии не выявляется; в данном случае необходимо произвести томографию.

Дифференциальный диагноз

При дискинезиях желчных путей значительно выражена связь возникновения болевого синдрома с отрицательными эмоциями, брюшная стенка во время приступа не например, результаты дуоденального зондирования без патологии, контрастная холецистография (смотри полный свод знаний) не выявляет конкрементов.

Для дифференциального диагноза с правосторонней почечной коликой существенна иррадиация болей: вверх — при желчной колике, вниз (в ногу, в пах, в половые органы) — при почечной; для почечной колики характерны дизурические явления и гематурия (смотри полный свод знаний Почечнокаменная болезнь).

Атипичные боли при язвенной болезни (смотри полный свод знаний), в частности при язве двенадцатиперстной кишки, отличаются от Желчнокаменная болезнь предшествующим характерным анамнезом, данными рентгенологическое исследования.

В случаях дифференциации с панкреатитом (смотри полный свод знаний) диагностику облегчают не свойственные Желчнокаменная болезнь своеобразная локализация болей в левой эпигастральной области, слева от пупка, с иррадиацией в спину, в левую часть позвоночника, левую лопатку и плечо и так называемый опоясывающие боли; высокое содержание диастазы в моче характерно для острого панкреатита.

Дифференциальный диагноз с острым аппендицитом (смотри полный свод знаний) в большинстве случаев не вызывает затруднений; в неразрешимых случаях, при имеющихся признаках так называемый острого живота, следует прибегнуть к операции.

Механическая желтуха при Желчнокаменная болезнь отличается от механической желтухи при раке желчных протоков и поджелудочной желёзы быстрым развитием, связью с болевым синдромом и наличием в анамнезе желчной колики. Относительно медленное развитие желтухи позволяет заподозрить опухоль. Диагнозу помогает и рентгенологическое исследование.

Лечение

Консервативное лечение. Оказание неотложной терапевтической помощи при желчной колике начинают с введения антиспастических средств (1 миллилитров 0,1% раствора сернокислого атропина, 1 миллилитров 0,2% раствора платифиллина подкожно и другие), по показаниям — наркотические средства (2 миллилитров 1 % раствора промедола и другие). Проводят правостороннюю или двухстороннюю паранефральную блокаду (80—120 миллилитров 0,25% или 0,5% раствора новокаина). Иногда эффективны препараты нитроглицерина. Полезно тепло: горячие ванны, грелки, согревающие компрессы и другие

В межприступном периоде назначают курс антиспастических средств — атропина, бензацина и другие, желчегонные средства, минеральные воды, тепловые физиотерапевтические процедуры. При стойких болях рационально проведение 3—5 паранефральных новокаиновых блокад. В ранних фазах Желчнокаменная болезнь и при отсутствии обострения болезни показано курортное лечение в местных профильных санаториях или на курортах (Боржоми, Джермук, Ессентуки, Железноводск, Трускавец и другие).

При наличии инфекции в первую очередь вводят антибиотики, как и при лечении воспалительных процессов желчных путей, а затем проводят весь комплекс мероприятий.

Оперативное лечение является радикальным методом, позволяющим добиться выздоровления больных. Оперативное вмешательство показано при частых затяжных болевых приступах и развитии осложнений (обтурационная желтуха, эмпиема желчного пузыря, холангит и другие). Противопоказания — выраженная сердечно-сосудистая и лёгочная недостаточность, тяжёлые изменения внутренних органов. Наиболее частый вид операций при Желчнокаменная болезнь — холецистэктомия (смотри полный свод знаний), значительно реже (и по ограниченным показаниям) применяются холецистостомия (смотри полный свод знаний) и так называемый идеальная холецистотомия — удаление одиночного камня с последующим ушиванием стенки желчного пузыря (смотри полный свод знаний Холецистотомия). Холецистэктомия может сочетаться с удалением желчных камней из желчных протоков (смотри полный свод знаний Желчные протоки, Желчный пузырь) и дренированием их по способу Кера, Вишневского и другие (смотри полный свод знаний Дренирование). Для этой цели обычно используют холедохотомию (смотри полный свод знаний).

Прогноз при неосложнённых формах Желчнокаменная болезнь и своевременном лечении благоприятный. Он менее благоприятен при присоединении осложнений и определяется в каждом конкретном случае.

Профилактика

Для профилактики Желчнокаменная болезнь важны общий гигиенических режим, систематическая физических работа, занятия спортом, правильное питание (употребление овощей, нежирных, бедных холестерином и богатых белком продуктов, регулярный приём пищи), борьба с ожирением, инфекциями и нарушениями функций желудочно-кишечного тракта, своевременное устранение застоя желчи, психических перенапряжений.

Скуя H.А.; Мялонов О.Б.

⇐ Перейти на главную страницу сайта

⇑ Вернуться в начало страницы ⇑

Библиотека Ordo Deus ⇒

⇐ Желудочно-кишечное кровотечение

⇓ Полный свод знаний. Том первый А. ⇓

Жёлтая лихорадка ⇒

Все статьи в полном изложении, Вы можете найти в большой медицинской энциклопедии — Главный редактор: академик АН СССР (РАН) и АМН СССР (РАМН) Б.В. Петровский. — Москва издательство «Советская энциклопедия» 1989г.

Внимание! Вы находитесь в библиотеке «Ordo Deus». Все книги в электронном варианте, содержащиеся в библиотеке «Ordo Deus», принадлежат их законным владельцам (авторам, переводчикам, издательствам). Все книги и статьи взяты из открытых источников и размещаются здесь только для чтения.

Библиотека «Ordo Deus» не преследует никакой коммерческой выгоды.

Все авторские права сохраняются за правообладателями. Если Вы являетесь автором данного документа и хотите дополнить его или изменить, уточнить реквизиты автора, опубликовать другие документы или возможно вы не желаете, чтобы какой-то из ваших материалов находился в библиотеке, пожалуйста, свяжитесь с нами по e-mail:
info @ ordodeus. ru
Формы для прямой связи с нами находятся в нижней части страниц: контакты и устав «Ordo Deus», для перехода на эти страницы воспользуйтесь кнопкой контакты вверху страницы или ссылкой в оглавлении сайта.

Вас категорически не устраивает перспектива безвозвратно исчезнуть из этого мира? Вы не желаете закончить свой жизненный путь в виде омерзительной гниющей органической массы пожираемой копошащимися в ней могильными червями? Вы желаете вернувшись в молодость прожить ещё одну жизнь? Начать всё заново? Исправить совершённые ошибки? Осуществить несбывшиеся мечты? Перейдите по ссылке: «главная страница».

© Ordo Deus, 2010. При копировании ссылка на сайт http://www.ordo-deus.ru обязательна.