Адамантинома

Оглавление

  1. Дорога к бессмертию
  2. Бессмертие и религия
  3. Философия бессмертия
  4. Бессмертие и наука
  5. История анабиоза
  6. Смерть
  7. Кора головного мозга
  8. Бессмертие и анабиоз
  9. Анабиоз, медицина и биология
  10. Анабиоз и экономика
  11. Анабиоз и закон
  12. Анабиоз в Антарктиде
  13. Техническое обеспечение анабиоза
  14. Бессмертие и вера
  15. Библиотека Ordo Deus
  16. Контактная страница Ordo Deus

Адамантинома

Адамантинома (adamantinoma; греческое adamas, adamantos—твердый металл + -oma; синонимы: адамантобластома, амелобластома) — эпителиальная доброкачественная опухоль, в которой формируются структуры, напоминающие эмалевый орган закладки зуба. Встречается сравнительно редко; возникает адамантинома чаще в толще нижней челюсти в области угла на уровне моляров, значительно реже — в верхней челюсти, в единичных случаях — в большеберцовой кости, а также в гипофизе и яичниках.

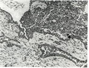
Макроскопически различают две формы адамантиномы — солидную (adamantinoma solidum) и поликистозную (adamantinoma polycysticum). Эти две формы опухоли не являются самостоятельными. Солидная форма — более ранняя стадия развития опухоли, чаще наблюдается в верхней челюсти и растет быстрее, чем поликистозная. На разрезе солидная адамантинома представляет собой узел мягковатой или плотноватой консистенции грязно-серого или красноватого цвета, капсула может отсутствовать. Поликистозная форма адамантиномы характеризуется наличием нескольких кист. Кисты выполнены светлой или бурой жидкостью различной консистенции. При микроскопическом исследовании (Рис. 1.) выявляются характерные разветвляющиеся эпителиальные тяжи или округлые участки, между которыми проходят соединительнотканные прослойки, содержащие кровеносные и лимфотические, сосуды. До периферии этих эпителиальных комплексов располагаются в один ряд высокие цилиндрические клетки с крупными ядрами, за которыми следуют кубические и полигональные клетки. В центре эпителиальных комплексов расположены звездчатые клетки. Указанная картина сходна со строением развивающегося эмалевого органа зуба.

Для получения информации об Ordo Deus откройте новое окно. Перейти в оглавление

Рис. 1.
Адамантинома, солидная форма. Характерные эпителиальные комплексы среди фиброзной ткани.

Вопрос о происхождении адамантиномы до настоящего, времени еще окончательно не решен. Вероятнее всего, она развивается из зубного зачатка, в том числе из остатков зубной пластинки или эмалевого органа зуба в различные стадии его развития.

Наблюдается в большинстве случаев у лиц в возрасте от 20 до 40 лет, несколько чаще у женщин.

Для получения информации об Ordo Deus откройте новое окно. Перейти в оглавление

Рис. 2.
Адамантинома нижней челюсти, поликистозная форма (рентгенограмма).

Адамантинома развивается медленно, долгое время не причиняет беспокойства больному, боли бывают редко. По мере роста опухоли развивается равномерное утолщение участка челюсти или появляются сливающиеся друг с другом выбухания. Вследствие истончения костной стенки при надавливании на опухоль иногда ощущается пергаментный хруст. Со временем могут возникать расстройства движений в челюстном суставе, изъязвления, боли.

Рентгенологическая картина адамантиномы многообразна. Солидная форма опухоли представлена в виде полости с четко очерченными полициклическими контурами. Поликистозная форма адамантиномы характеризуется множеством преимущественно округлых или овальных полостей различных размеров, отделенных друг от друга тонкими перегородками. Проекционное наложение такого рода кист создает на рентгенограмме типичную картину ячеистой структуры (рис.2). Между этими двумя разновидностями адамантином имеется ряд переходных форм. При экспансивном росте адамантиномы наблюдается вздутие пораженной кости, а также истончение и прерванность кортикального слоя челюсти, рассасывание корней зубов или их выпадение. Внутри опухоли могут содержаться зубы.

При локализации адамантиномы в альвеолярном отростке верхней челюсти обнаруживаются кистовидные образования. С помощью томограмм определяют степень проникновения опухоли в верхнечелюстную пазуху или полость носа.

При локализации адамантиномы в большеберцовой кости рентгенологически выявляется в диафизе сплошной или, чаще, ячеистый продольно расположенный очаг деструкции с приподнятым или разрушенным корковым слоем без периостальной реакции.

Дифференциальный диагноз адамантиномы с одонтогенными кистами, гиганто-клеточной опухолью и раковым поражением иногда довольно труден, так как рентгенологическая картина в каждом отдельном случае адамантином разнообразная.

Прогноз при своевременном лечении хороший, злокачественное превращение наблюдается крайне редко. Метастазирования адамантиномы не наблюдается.

Распознавание адамантиномы основывается на данных рентгенологического исследования и главным образом на биопсии из очага поражения.

Лечение хирургическое: резекция участка челюсти в пределах здоровых тканей с оставлением мостика из костной ткани в области дефекта.

Котельников М.В., Трапезников H.H.

⇐ Перейти на главную страницу сайта

⇑ Вернуться в начало страницы ⇑

Библиотека Ordo Deus ⇒

⇐ Агранулоцитоз

⇓ Каталог систематический ⇓

Адамантома ⇒

Все статьи в полном изложении, Вы можете найти в большой медицинской энциклопедии — Главный редактор: академик АН СССР (РАН) и АМН СССР (РАМН) Б.В. Петровский. — Москва издательство «Советская энциклопедия» 1989г.

Внимание! Вы находитесь в библиотеке «Ordo Deus». Все книги в электронном варианте, содержащиеся в библиотеке «Ordo Deus», принадлежат их законным владельцам (авторам, переводчикам, издательствам). Все книги и статьи взяты из открытых источников и размещаются здесь только для чтения.

Библиотека «Ordo Deus» не преследует никакой коммерческой выгоды.

Все авторские права сохраняются за правообладателями. Если Вы являетесь автором данного документа и хотите дополнить его или изменить, уточнить реквизиты автора, опубликовать другие документы или возможно вы не желаете, чтобы какой-то из ваших материалов находился в библиотеке, пожалуйста, свяжитесь с нами по e-mail:
info @ ordodeus. ru
Формы для прямой связи с нами находятся в нижней части страниц: контакты и устав «Ordo Deus», для перехода на эти страницы воспользуйтесь кнопкой контакты вверху страницы или ссылкой в оглавлении сайта.

Вас категорически не устраивает перспектива безвозвратно исчезнуть из этого мира? Вы пытаетесь найти ответ на вопрос как победить смерть? То, что Вам нужно, Вы найдете, щёлкнув по ссылке: «главная страница».

© Ordo Deus, 2010. При копировании ссылка на сайт http://www.ordo-deus.ru обязательна.