Аденоакантома
Аденоакантома (adenoacanthoma; греческое aden—железа, akantha — шип + -oma) — злокачественная опухоль с признаками диморфной дифференцировки по железистому и плоскоклеточному типу.
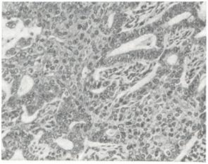
В большинстве случаев аденоакантома относят к аденокарциномам различных органов с явлениями плоскоклеточной метаплазии (повидимому, ложной) железистого эпителия (смотри Рак), иногда с образованием роговых масс, вплоть до формирования раковых «жемчужин». Аденоакантома встречается в пищеводе, обычно в зоне пищеводно-желу-дочного перехода, в желудке, желчном пузыре, поджелудочной железе, прямой кишке, анальном канале, влагалище, матке, яичниках (рис. 1.), коже, потовых железах. Макроскопически аденоакантома практически не отличима от картины железистого рака соответствующего органа. Микроскопически в опухоли наряду со структурой аденокарциномы обычно обнаруживают ряд фаз гетероплазии железистого эпителия в многослойный плоский. Оба структурных компонента аденоакантомы с различными признаками дифференцировки эпителия бывают, расположены в одних и тех же участках и интимно связаны между собой.
Клиника и лечение — смотри Рак.
|