Аденоидит

Оглавление

  1. Дорога к бессмертию
  2. Бессмертие и религия
  3. Философия бессмертия
  4. Бессмертие и наука
  5. История анабиоза
  6. Смерть
  7. Кора головного мозга
  8. Бессмертие и анабиоз
  9. Анабиоз, медицина и биология
  10. Анабиоз и экономика
  11. Анабиоз и закон
  12. Анабиоз в Антарктиде
  13. Техническое обеспечение анабиоза
  14. Бессмертие и вера
  15. Библиотека Ordo Deus
  16. Контактная страница Ordo Deus

Аденоидит

Аденоидит (adenoiditis; греческое aden — железа, eidos — вид + -itis) — воспаление гиперплазированной глоточной миндалины. Может быть острым и хроническим.

Острый аденоидит.

Этиология.

Острый аденоидит может развиваться вследствие острых инфекционных заболеваний верхних дыхательных путей, вызываемых стрептококками, стафилококками, вирусами (аденовирусами), у детей часто пневмококками. Патологическая анатомия. При остром аденоидите обнаруживается гиперемия, отечность, местами образование инфильтратов как в поверхностных слоях миндалины, так и в криптах (смотри Ангина).

Клиническая картина.

По существу это так называемая позадиносовая, или ретроназальная, ангина, но поскольку она протекает в гиперплазированной ткани, для ее определения применяют термин «острый аденоидит». В части случаев острый аденоидит протекает по типу катаральной ангины. Заболевание наблюдается преимущественно у детей раннего возраста, начинается обычно с высокой температуры (до 39—40°). Одновременно отмечается закладывание носа, боль в ушах, приступообразный кашель по ночам. На 2 — 3-й день на фоне умеренно покрасневшей задней стенки глотки можно видеть гиперемию небно-глоточных дужек и стекающее из носоглотки характерное слизисто-гнойное отделяемое. При задней риноскопии, если она удается, обычно видна припухшая и резко гиперемированная глоточная миндалина с бороздками, покрытыми слизисто-гнойным отделяемым. Поднижнечелюстные и шейные лимф.узлы увеличены и болезненны. Наличие в детском возрасте более коротких с широким просветом слуховых труб облегчает быстрое проникновение инфекции в среднее ухо, а это ведет к возникновению явно или латентно протекающего острого отита. Острый аденоидит, как обычная ангина, заканчивается на 3—5-й день выздоровлением. Помимо острого аденоидита с обычным течением, заканчивающегося в 3—5 дней, французскими авторами была выделена форма острого аденоидита с более длительным течением. Он также начинается остро, часто после ангины, однако продолжительность заболевания достигает 15—20 дней. При наступившем выздоровлении температура с неправильными колебаниями остается в пре¬елах 38° и выше, шейные и поднижнечелюстные лимфотические, узлы — припухшими и болезненными при ощупывании. Общее состояние обычно нарушено мало.

Диагноз.

Диагностика острого аденоидита у грудных детей бывает иногда трудной — заболевание часто смешивают с гриппом, ангиной и даже с кишечными расстройствами алиментарного происхождения. При дифференциальном диагнозе необходимо помнить также о заглоточном абсцессе.

Лечение

Лечение: вливание через нос в носоглотку сосудосуживающих и антисептических (протаргол) капель; назначение ацетилсалициловой кислоты и антибиотиков.

Лечение аденоидита с длительным течением, помимо применения сосудосуживающих средств и антибиотиков, по предложению Мура и Капюи (Е. Moure, G. Ganuyt) и А. Г. Лихачева, можно производить легким массированием отечно-воспаленной глоточной миндалины пальцем, введенным в носоглотку на 3—5 сек. Этот прием обычно ведет к быстрому выздоровлению (видимо, выдавливаются патологические продукты из миндалины и улучшается кровообращение). Спустя несколько недель после ликвидации острого аденоидита следует произвести аденотомию (смотри Аденоиды).

Хронический аденоидит.

Этиология. Хронический аденоидит развивается в результате повторных острых воспалений верхних дыхательных путей.

Патологическая анатомия.

При хроническом аденоидите может отмечаться поверхностное, лакунарное или паренхиматозное воспаление лимфаденоидной ткани.

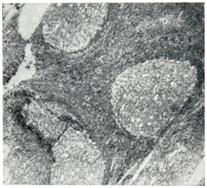
Длительное хроническое воспаление гиперплазированной глоточной миндалины (рис. 1 и 2) ведет к ее склерозированию, но с сохранением значительных участков с воспалительными инфильтратами.

Информация об Ordo Deus Перейти в оглавление сайта

Рис. 1.
Гиперплазия фолликулов в аденоидной ткани.

Информация об Ordo Deus Перейти в оглавление сайта

Рис. 2.
Крупный светлый фолликул в аденоидной ткани, окруженный кольцом грануляционной ткани.

Инфицирование и нагноение может также развиваться и в бороздках гиперплазированной глоточной миндалины (она становится похожей на пропитанную гноем губку).

Клиническая картина.

Хронический аденоидит, возникающий в результате инфицирования гипертрофированной глоточной миндалины, усложняет симптоматику заболевания. Воспалительный процесс из носоглотки легко распространяется на глотку, гортань и бронхи, особенно при острых катарах и частых длительно протекающих обострениях воспалительного процесса верхних дыхательных путей. Затекание слизисто-гнойного отделяемого в гортань вызывает упорный рефлекторный кашель, особенно по ночам. Поднижне-челюстные, шейные и затылочные лимфотические, узлы нередко значительно увеличены. Каждое обострение воспалительного процесса в носоглотке может сопровождаться длительной субфебрильной температурой. Общее состояние таких больных обычно нарушено, ребенок становится вялым, теряет аппетит, часто во время приема пищи возникает рвота.

Диагноз

Диагноз ставится на основании клинической картины и данных задней риноскопии. Для исключения туберкулеза как возможной причины длительного субфебрилитета, помимо общего обследования, необходимо проделать реакции Пирке и Манту.

Лечение

Лечение то же, что и при остром аденоидите. Иногда, если установлено, что субфебрильная температура зависит от аденоидита, следует удалять аденоиды, не ожидая снижения температуры, особенно на фоне лечения антибиотиками. В отдельных случаях, при длительном воспалительном процессе, приводящем к склерозированию лимфаденоидной ткани носоглотки, происходит образование спаек и перемычек в носоглотке — заращение носоглотки, частичная или полная атрезия хоан (хронический склерозирующии аденоидит). Последняя форма аденоидита чаще наблюдается у взрослых в возрасте 25—40 лет. В таких случаях носоглотка бывает выполненной хрупкой склерозированной рубцовой тканью. Энергичным раздавливанием этой ткани при помощи введенного в носоглотку пальца удается более или менее легко освободить хоаны и восстановить носовое дыхание, реже возникает необходимость в хирургическом лечении (удаление Рубцовых мембран в области хоан и восстановление носового дыхания) или лучевой терапии.

Лихачев А.Г.

⇐ Перейти на главную страницу сайта

⇑ Вернуться в начало страницы ⇑

Библиотека Ordo Deus ⇒

⇐ Аденовирусные болезни

⇓ Каталог систематический ⇓

Аденоиды ⇒

Все статьи в полном изложении, Вы можете найти в большой медицинской энциклопедии — Главный редактор: академик АН СССР (РАН) и АМН СССР (РАМН) Б.В. Петровский. — Москва издательство «Советская энциклопедия» 1989г.

Внимание! Вы находитесь в библиотеке «Ordo Deus». Все книги в электронном варианте, содержащиеся в библиотеке «Ordo Deus», принадлежат их законным владельцам (авторам, переводчикам, издательствам). Все книги и статьи взяты из открытых источников и размещаются здесь только для чтения.

Библиотека «Ordo Deus» не преследует никакой коммерческой выгоды.

Все авторские права сохраняются за правообладателями. Если Вы являетесь автором данного документа и хотите дополнить его или изменить, уточнить реквизиты автора, опубликовать другие документы или возможно вы не желаете, чтобы какой-то из ваших материалов находился в библиотеке, пожалуйста, свяжитесь с нами по e-mail:
info @ ordodeus. ru
Формы для прямой связи с нами находятся в нижней части страниц: контакты и устав «Ordo Deus», для перехода на эти страницы воспользуйтесь кнопкой контакты вверху страницы или ссылкой в оглавлении сайта.

Вас категорически не устраивает перспектива безвозвратно исчезнуть из этого мира? Вы пытаетесь найти ответ на вопрос как победить смерть? То, что Вам нужно, Вы найдете, щёлкнув по ссылке: «главная страница».

© Ordo Deus, 2010. При копировании ссылка на сайт http://www.ordo-deus.ru обязательна.