Аденома

Оглавление

  1. Дорога к бессмертию
  2. Бессмертие и религия
  3. Философия бессмертия
  4. Бессмертие и наука
  5. История анабиоза
  6. Смерть
  7. Кора головного мозга
  8. Бессмертие и анабиоз
  9. Анабиоз, медицина и биология
  10. Анабиоз и экономика
  11. Анабиоз и закон
  12. Анабиоз в Антарктиде
  13. Техническое обеспечение анабиоза
  14. Бессмертие и вера
  15. Библиотека Ordo Deus
  16. Контактная страница Ordo Deus

Аденома

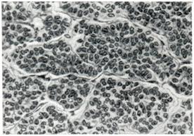
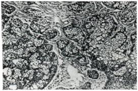
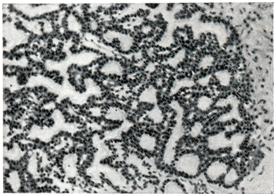
Аденома (adenoma; греческое aden — железа + oma) — доброкачественная опухоль, возникающая из железистого эпителия. Макроскопически аденома имеет вид полипа на тонкой ножке или на широком основании (аденоматозный полип). Чаще аденома представлена четко очерченным, отграниченным капсулой узлом, расположенным в толще органа. Аденома бывают множественными. Микроскопически аденома имеет органоидное строение с хорошо различимой эпителиальной паренхимой и соединительнотканной стромой. Эпителий в аденоме расположен на собственной оболочке (membrana propria), сохраняет полярность, а нередко и способность продуцировать характерный для данного органа секрет — белково-слизистые массы в аденоме слюнных желез, коллоид в аденоме щитовидной железы, нейтральный жир в аденоме сальных желез (рис. 1). Под влиянием накапливающегося секрета или вне зависимости от этого в аденоме могут образоваться кистозные полости, в этих случаях опухоль называется цистаденомой или аденокистомой, а при наличии в просвете кисты сосочковых разрастаний — папиллярной цистаденомой. В зависимости от формы, характера расположения железистых структур в аденоме и соотношения эпителиального и соединительнотканного компонентов гистологически различают несколько видов аденомы. В трабекулярной, или солидной, аденоме (рис. 2) клетки группируются в виде компактных тяжей, разделенных очень тонким слоем волокнистой стромы. Тубулярная аденома (рис. 3) характеризуется узкими каналами, выстланными кубическим или призматическим эпителием, в просвете каналов обычно находят секрет. Альвеолярная (или ацинозная) аденома развивается за счет концевых отделов ветвящихся желез. Аденома с преобладанием волокнистой стромы называется фиброаденомой. Встречаются и смешанные структурные варианты аденомы, например тубуло-альвеолярная аденома слюнной железы и другие.

Информация об Ordo Deus Перейти в оглавление сайта

Рис. 1.
Аденома сальной железы.

Информация об Ordo Deus Перейти в оглавление сайта

Рис. 2.
Трабекулярная аденома слюнной железы.

Аденома может развиться в любом возрасте, локализуясь в любом органе, где имеется железистый эпителий (например, в щитовидной железе).

Своеобразие строения того или иного органа нередко получает отражение и в структуре возникающих в нем аденом может развиться в любом возрасте, локализуясь в любом органе, где имеется железистый эпителий (например, в щитовидной железе).

Своеобразие строения того или иного органа нередко получает отражение и в структуре возникающих в нём аденом, которые, однако, могут возникать и в другом органе (гетеротопные аденомы). В щитовидной железе возникают фолликулярные аденомы в соответствии с типичным строением органа или фетальные, картина которых напоминает строение щитовидной железы на определенных этапах внутриутробного развития. Кроме того, в щитовидной, околощитовидной, околоушной слюнной и некоторых других железах встречаются так называемые онкоцитарные аденомы, или онкоцитомы,— опухоли из относительно крупных клеток с широкой оксифильной цитоплазмой. В щитовидной железе клеточные элементы этих новообразований идентифицируют с клетками Гюртле — Асканази (смотри Щитовидная железа). Иногда аденомы возникают в периоде эмбрионального развития — врожденные аденомы.

Информация об Ordo Deus Перейти в оглавление сайта

Рис. 3.
Тубулярная аденома почки.

При микроскопическом исследовании иногда возникают трудности в отграничении аденомы от реактивных и компенсаторно-приспособительных железистых гиперплазии. В большей мере это относится к аденоме желез внутренней секреции. Аденомы обладают экспансивным (экзофитным или эндофитным) ростом.

Большинство аденом носит доброкачественный характер, и клиническое течение этих опухолей определяется локализацией, темпом роста иразмером новообразования (смоти статьи об отдельных органах). Часть аденом трансформируется в рак. Так, аденокарциноме толстой кишки обычно предшествует аденоматозный полип. Папиллярная цистаденома яичников нередко служит основой для возникновения папиллярного рака. С другой стороны, фиброаденома молочной железы лишь иногда становится источником рака или саркомы этого органа. Некоторые злокачественные новообразования, обладающие инвазивным ростом, отличаются слабым структурным атипизмом и на этом основании обозначаются весьма условным термином «деструирующая, или злокачественная, аденома», хотя в действительности они являются высокодифференцированными железистыми раками (злокачественная аденома эндометрия).

Прогноз

Прогноз при большинстве аденом благоприятный. Лечение, как правило, хирургическое. Некоторые аденомы и аденоматозные полипы желудочно-кишечного тракта, повидимому, носят наследственно-семейный характер. Профилактика некоторых аденом сводится к устранению дисгормональных нарушений.

Соловьев Ю.Н.

⇐ Перейти на главную страницу сайта

⇑ Вернуться в начало страницы ⇑

Библиотека Ordo Deus ⇒

⇐ Аденолимфома

⇓ Каталог систематический ⇓

Аденома предстательной железы ⇒

Все статьи в полном изложении, Вы можете найти в большой медицинской энциклопедии — Главный редактор: академик АН СССР (РАН) и АМН СССР (РАМН) Б.В. Петровский. — Москва издательство «Советская энциклопедия» 1989г.

Внимание! Вы находитесь в библиотеке «Ordo Deus». Все книги в электронном варианте, содержащиеся в библиотеке «Ordo Deus», принадлежат их законным владельцам (авторам, переводчикам, издательствам). Все книги и статьи взяты из открытых источников и размещаются здесь только для чтения.

Библиотека «Ordo Deus» не преследует никакой коммерческой выгоды.

Все авторские права сохраняются за правообладателями. Если Вы являетесь автором данного документа и хотите дополнить его или изменить, уточнить реквизиты автора, опубликовать другие документы или возможно вы не желаете, чтобы какой-то из ваших материалов находился в библиотеке, пожалуйста, свяжитесь с нами по e-mail:
info @ ordodeus. ru
Формы для прямой связи с нами находятся в нижней части страниц: контакты и устав «Ordo Deus», для перехода на эти страницы воспользуйтесь кнопкой контакты вверху страницы или ссылкой в оглавлении сайта.

Вас категорически не устраивает перспектива безвозвратно исчезнуть из этого мира? Вы пытаетесь найти ответ на вопрос как победить смерть? То, что Вам нужно, Вы найдете, щёлкнув по ссылке: «главная страница».

© Ordo Deus, 2010. При копировании ссылка на сайт http://www.ordo-deus.ru обязательна.