Аластрим

Оглавление

  1. Дорога к бессмертию
  2. Бессмертие и религия
  3. Философия бессмертия
  4. Бессмертие и наука
  5. История анабиоза
  6. Смерть
  7. Кора головного мозга
  8. Бессмертие и анабиоз
  9. Анабиоз, медицина и биология
  10. Анабиоз и экономика
  11. Анабиоз и закон
  12. Анабиоз в Антарктиде
  13. Техническое обеспечение анабиоза
  14. Бессмертие и вера
  15. Библиотека Ordo Deus
  16. Контактная страница Ordo Deus

Аластрим

Аластрим (португальское alastrar — усыпать, покрывать; синонимы: variola minor, milk pox, Kaffir pox, amaas) — острое инфекционное заболевание, являющееся разновидностью натуральной оспы, отличающееся от нее легким течением и меньшей контагиозностью. В 1929 г. на Международной санитарной конференции было решено объединить оспу и аластрим под родовым именем variola, различая их по видовому названию: variola major (натуральная оспа) и variola minor (аластрим).

В 19 и начале 20 в. аластрим был распространен в странах Южной Америки и Африки. В результате заноса крупные эпидемии наблюдались в Австралии (1913), на Азорских островах (1923) и в странах Западной Европы (1919 — 1921). На территории СССР эта болезнь не регистрировалась.

Этиология.

Возбудителем заболевания является вирус аластрим, относящийся к семейству poxviridae, роду poxvirus. Из-за близости к вирусу натуральной оспы и отсутствия до недавнего времени надежных критериев для дифференциации не все исследователи выделяют вирус аластрим в самостоятельный вид. Вирус аластрим впервые выделен в чистой культуре в 1935 г. [Торрес и Тейшейра (С. М. Torres, J. С. Teixeira)] на хорионаллантоисной мембране развивающегося куриного зародыша.

Информация об Ordo Deus Перейти в оглавление сайта

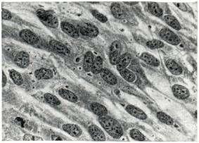
Цитоплазматические включения (черные точки около ядер) в культуре клеток кожно-мышечной ткани эмбриона человека, зараженной вирусом аластрима (5-й день после заражения).

По антигенной структуре вирус аластрим аналогичен вирусам натуральной оспы и вакцины. При введении на хорионаллантоисную мембрану куриных зародышей вызывает образование на ее поверхности точечных, выступающих над уровнем здоровой ткани круглых оспин белого цвета.

Инфицированные куриные зародыши ко времени вскрытия (72—96 часов), остаются живыми. В культурах клеток вирус аластрима вызывает цитопатический эффект и развитие феномена гемадсорбции. Патогенность для животных выражена слабо: вирус аластрим патогенен только для обезьян и новорожденных белых мышей. В инфицированных вирусом аластрим клетках (рис. 1.) формируются цитоплазматические включения (тельца Гуарниери). Вирус аластрим обладает очень слабой гемагглютинирующей активностью. Эпидемиология. Источником инфекции при аластриме является больной человек. Вирус аластрим, как и вирус натуральной оспы, передается капельным путем. Заражение может произойти также и через инфицированные предметы.

Клиническая картина.

Инкубационный период продолжается от 8 до 17 дней. Начало заболевания характеризуется быстрым подъемом температуры, головной болью и болью в крестце, продромальная сыпь наблюдается редко, высыпания на коже и слизистых оболочках на-чинаются на 2—5-й день болезни. Папулезно-пузырьковая сыпь выступает главным образом на лице и конечностях. Пузырьки не имеют вдавления в центре, расположены поверхностно; при отпадении корочек рубцов не остается. Наблюдается лишь депигментация в течение нескольких месяцев.

Цикл развития кожных поражений происходит быстрее, чем при натуральной оспе. Повторного подъема температуры, как правило, не бывает ввиду отсутствия или слабой выраженности нагноительного процесса. Главными отличительными чертами клиники и эпидемиологии аластрим являются: относительно легкое по сравнению с натуральной оспой течение болезни даже у непривитых против оспы, летальность не выше 1%; контагиозный индекс при аластрим значительно ниже, чем при натуральной оспе. Переболевшие натуральной оспой приобретают довольно стойкий, по всей вероятности, пожизненный иммунитет к аластрим.

Диагноз.

При лабораторной диагностике аластрим используются морфологические, серологические и биологические методы. Морфологические методы основаны на обнаружении вируса с помощью световой и электронной микроскопии. В первом случае в окрашенном (чаще всего серебрением по М. А. Морозову) мазке из кожных поражений определяют присутствие вирионов вируса аластрим, выявляющихся в виде четко контрастирующих круглых телец (тельца Пашена). При использовании более эффективного метода — электронной микроскопии — диагноз ставится на основании характерной для вирусов оспенной группы формы и размеров вирионов вируса аластрим.

Из серологических методов практическое значение имеют реакции преципитации в агаровом геле, непрямой гемагглютинации (обнаружение оспенного антигена в материале от больных) и реакция торможения гемагглютинации (выявление антител в сыворотке крови больного). Морфологические и серологические методы, однако, не позволяют дифференцировать вирус аластрим от других вирусов оспенной группы. Дифференциация вируса аластрим от вирусов вакцины, коровьей оспы и оспы обезьян обеспечивается использованием биологических методов (выделение вируса на хорион-аллантоисной мембране 12-дневных куриных зародышей и заражение культуры клеток). В первом случае диагноз ставится на основании типа оспин, во втором — по морфологии бляшек и сроков их развития. Дифференциация аластрим от вируса натуральной оспы проводится путем определения различий в предельной температуре развития поражений в куриных зародышах и в культурах клеток. Для вируса аластрим она составляет соответственно 37,5 и 37,0°. Другим дифференциально-диагностическим приемом является определение накопления вируса в печени зараженных куриных эмбрионов: вирус аластрим накапливается в печени меньше, чем вирус натуральной оспы.

Лечение — симптоматическое.

Профилактика.

Больные аластрим или лица, подозрительные на это заболевание, подлежат немедленной изоляции. Лица, находившиеся в непосредственном общении с больным аластрим, должны быть привиты оспенной вакциной вне зависимости от предшествующей вакцинации или ревакцинации и изолированы на 17 дней от момента последнего общения с больным. Лица, находившиеся не в прямом контакте, подлежат немедленной вакцинации или ревакцинации и медицинскому наблюдению на дому в течение 17 дней.

Вопрос о масштабах оспопрививания в населенном пункте, где был выявлен больной аластрим, решается на месте ответственным за мероприятия в очаге лицом в зависимости от эпидемической обстановки и состояния противооспенного иммунитета населения. Вакцинация предохраняет от заболевания аластрим более надежно и на более продолжительный срок, чем при натуральной оспе. Смотри также Оспа натуральная.

Ладный И.Д., Маренникова С.С.

⇐ Перейти на главную страницу сайта

⇑ Вернуться в начало страницы ⇑

Библиотека Ordo Deus ⇒

⇐ Алалия

⇓ Каталог систематический ⇓

Алейкия алиментарно-токсическая ⇒

Все статьи в полном изложении, Вы можете найти в большой медицинской энциклопедии — Главный редактор: академик АН СССР (РАН) и АМН СССР (РАМН) Б.В. Петровский. — Москва издательство «Советская энциклопедия» 1989г.

Внимание! Вы находитесь в библиотеке «Ordo Deus». Все книги в электронном варианте, содержащиеся в библиотеке «Ordo Deus», принадлежат их законным владельцам (авторам, переводчикам, издательствам). Все книги и статьи взяты из открытых источников и размещаются здесь только для чтения.

Библиотека «Ordo Deus» не преследует никакой коммерческой выгоды.

Все авторские права сохраняются за правообладателями. Если Вы являетесь автором данного документа и хотите дополнить его или изменить, уточнить реквизиты автора, опубликовать другие документы или возможно вы не желаете, чтобы какой-то из ваших материалов находился в библиотеке, пожалуйста, свяжитесь с нами по e-mail:
info @ ordodeus. ru
Формы для прямой связи с нами находятся в нижней части страниц: контакты и устав «Ordo Deus», для перехода на эти страницы воспользуйтесь кнопкой контакты вверху страницы или ссылкой в оглавлении сайта.

Вас категорически не устраивает перспектива безвозвратно исчезнуть из этого мира? Вы желаете прожить ещё одну жизнь, начав всё заново? Вы желаете прожить ещё одну жизнь без ошибок совершённых в этой жизни? Вы желаете прожить ещё одну жизнь, осуществив в ней мечты несбывшиеся в этой жизни? То, что Вам нужно, Вы найдете, щёлкнув по ссылке: «главная страница».

© Ordo Deus, 2010. При копировании ссылка на сайт http://www.ordo-deus.ru обязательна.