Фиброматозы

Оглавление

  1. Дорога к бессмертию
  2. Бессмертие и религия
  3. Философия бессмертия
  4. Бессмертие и наука
  5. История анабиоза
  6. Смерть
  7. Кора головного мозга
  8. Бессмертие и анабиоз
  9. Анабиоз, медицина и биология
  10. Анабиоз и экономика
  11. Анабиоз и закон
  12. Анабиоз в Антарктиде
  13. Техническое обеспечение анабиоза
  14. Бессмертие и вера
  15. Библиотека Ordo Deus
  16. Контактная страница Ordo Deus

Фиброматозы

Фиброматозы (fibromatosis, единственное число; латынь fibra волокно + -oma + -osis) — диспластические процессы в соединительной ткани, не имеющие признаков воспалительной реакции и особенностей, присущих какой-либо определённой опухоли. Фиброматозы встречаются в различном возрасте и могут Иметь разную локализацию.

Впервые понятие фиброматоз было введено в 1954 год Стоутом (А. P. Stout). Значительный вклад в разработку классификации фиброматозов внесли Маккензи (D. Н. Mackenzie, 1970) и Аллен (P. W. Allen, 1977).

Морфологически фиброматозы характеризуются выраженной в различной степени пролиферацией (смотри полный свод знаний)фибробластических клеток и инфильтрацией окружающих тканей за счёт аппозиционного роста (смотри полный свод знаний). При этом в отличие от злокачественных опухолей менее выражены полиморфизм клеток и их митотическая активность.

Фиброматозы принято разделять на врождённые (или ювенильные) и смешанные. Первые встречаются главным образом у новорожденных, детей грудного, дошкольного возраста и подростков. К ним относят врождённый фибросаркомоподобный Фиброматозы, врождённый генерализованный и мультицентричный Фиброматозы, врождённый локализованный фиброматоз, фиброматоз шеи, диффузный инфантильный фиброматоз,. фиброзную гамартому младенцев, рецидивирующую фиброзную опухоль пальцев, ювенильную апоневротическую фиброму, ювенильную ангиофиброму носоглотки, множественный ювенильный гиалиновый фиброматоз. Смешанные Фиброматозы могут встречаться как у детей, так и у взрослых. К ним относят ладонный и подошвенный Фиброматозы, абдоминальный и экстраабдоминальный десмоид (смотри полный свод знаний), интраабдоминальный Фиброматозы и наследственный гингивальный Фиброматозы

Врождённый фибросаркомоподобный фиброматоз выделен в 1977 год Алленом. К нему отнесены врождённые опухоли различной локализации, выявляющиеся в первые 3 месяцев жизни. Ранее их расценивали как фибросаркомы (смотри полный свод знаний) в связи со значительным морфологический сходством с этой злокачественной опухолью.

Врождённый генерализованный и мультицентричный Фиброматозы впервые описаны в 1954 год Стоутом. Врождённый генерализованный Фиброматозы характеризуется множественными узлами, которые обнаруживаются чаще при рождении ребёнка, локализуются в подкожной клетчатке, мышцах, внутренних органах и костях. Число узлов может достигать пятидесяти. Они быстро увеличиваются в объёме, появляются новые узлы. Кожа над крупными узлами иногда изъязвляется. Клинические симптоматика обусловлена поражением тех или иных органов. Большинство детей с врождённым: генерализованным Фиброматозы умирает вскоре после рождения. При врождённом мультицентричном Фиброматозы, в отличие от генерализованного, не наблюдается поражение внутренних органов, что обусловливает сравнительно благоприятное клинические, течение процесса. Однако вплоть до 5-летнего возраста могут появляться новые узлы. Кожные и подкожные узлы, а также очаги поражения в костях часто (в среднем в 50% случаев) спонтанно регрессируют. Врождённым локализованным Фиброматозы по предложению Аллена (1977) называют случаи солитарных поражений с единичными узлами, гистологический картина которых аналогична таковой при врождённом генерализованном Фиброматозы

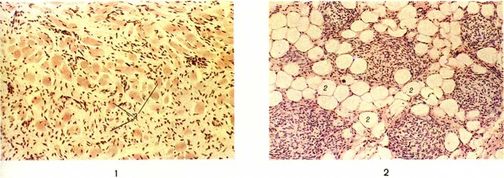
Фиброматоз шеи — узловатое образование в грудино-ключично-сосцевидной мышце. Микроскопически образовано соединительной тканью, бедной клеточными элементами, в которой определяется множество сохранившихся мышечных волокон (цветной рисунок 1). По мере роста узла, чаще после достижения ребёнком 3—4-летнего возраста, может развиться кривошея (смотри полный свод знаний).

Диффузный инфантильный фиброматоз выделен в 1965 год Энцингером (F. М. Enzinger). Встречается преимущественно у мальчиков первого года жизни. Процесс локализуется в основном в мышцах верхних конечностей, головы и шеи. Процесс не встречается в кистях и стопах, не бывает множественным.

Фиброзная гамартома младенцев впервые описана в 1956 год Рейе (R. D. Reye) под названием субэпидермальная фиброзная опухоль младенцев. Обнаруживается преимущественно у мальчиков с момента рождения и до 4-х лет (главным образом в первые 2 года жизни).

Поражение локализуется в подкожной клетчатке предплечья, плеча, подмышечной и ягодичной областей, может быть множественным. При микроскопическом исследовании выявляется характерная особенность — образование островков из незрелых мезенхимального вида клеток (цветной рисунок 2).

Рецидивирующая фиброзная опухоль пальцев описана Рейе в 1965 год В 90% случаев это поражение возникает на первом году жизни, из них в 20% носит врождённый характер. Случаев возникновения опухоли в возрасте свыше 15 лет не описано. Чаще поражаются пальцы кистей. Примерно у 1/3 больных отмечаются множественные поражения преимущественно на той же конечности, при этом первые пальцы кистей и стоп поражаются крайне редко. Опухоль — узелок, несколько возвышающийся над поверхностью кожи, имеет, как правило, несколько миллиметров в диаметре, располагается обычно на заднебоковой поверхности дистальных фаланг пальцев. Опухоль располагается в дерме; характерная морфологический особенность опухоли — наличие в цитоплазме клеток пиронинофильных телец.

Ювенильная апоневротическая фиброма описана впервые в 1953 год Кисби (L. Е. Keasbey). Она встречается преимущественно у детей в возрасте от 3 до 15 лет и локализуется на кистях и стопах, чаще располагается в жировой клетчатке, связана с апоневрозом или фасцией. Для морфологический картины типичны отложения солей кальция и фокусы хрящевой трансформации.



Информация об Ordo Deus Перейти в оглавление сайта

Рис. 1.
Микропрепарат грудино-ключично-сосцевидной мышцы при фиброматозе шеи: 1 — разрастания соединительной ткани; 2 — сохранившиеся мышечные волокна; окраска гематоксилин-эозином; ×100. Рис. 2. Микропрепарат фиброматозного образования в подкожной клетчатке при фиброзной гамартоме младенцев: 1 — островки незрелых клеток мезенхимального вида; 2 — жировая ткань; окраска гематоксилин-эозином; ×100.



Ювенильная ангиофиброма носоглотки выделена в 1954 год Штернбергом (S. S. Sternberg). Встречается преимущественно у лиц мужского пола в возрасте от 10 до 20 лет. Обладает выраженным инфильтративным ростом, микроскопически образована соединительной тканью и равномерно расположенными в ней сосудами кавернозного типа. Клинические, симптоматика связана с размерами очага поражения и степенью его распространения на соседние области.

Ювенильный множественный гиалиновый Фиброматозы подробно описан Дрешером (Е. Drescher) с соавторами в 1967 год Встречается у новорожденных и детей грудного возраста. Характеризуется появлением множественных узлов в подкожной клетчатке, особенно волосистой части головы. Могут поражаться также различные кости, поражение суставов приводит к нарушению их функции. Макроскопически на коже обнаруживаются папулы беловатого цвета, которые при прогрессировании приобретают вид грубых плотных выбухающих узлов. Гистологически процесс характеризуется наличием обильных отложений гомогенного аморфного ацидофильного вещества, среди которых разбросаны мелкие скопления веретенообразных фибробластических клеток.

Ладонный и подошвенный фиброматозы описаны Г. Дюпюитреном (1832) и Леддерхозе (L. Ledderhose, 1897). Наблюдаются преимущественно у мужчин в возрасте старше 40 лет, нередко могут носить семейно-наследственный характер. Заболевание выражается в появлении одного или нескольких медленно растущих узлов в области ладонного или подошвенного апоневроза, приводящих к развитию контрактуры (смотри полный свод знаний: Дюпюитрена контрактура; Фасции, патология). Известны случаи одновременного возникновения ладонного и подошвенного Фиброматозы, а также их комбинация с болезнью Пейрони (смотри полный свод знаний: Induratio penis plastica).

Из интраабдоминальных наиболее известен мезентериальный Фиброматозы, выражающийся в появлении узловатого фибробластического разрастания в брыжейке тонкой кишки. Может быть самостоятельным заболеванием или явиться проявлением синдрома Гарднера (смотри полный свод знаний: Гарднера синдром).

Наследственный гингивальный Фиброматозы характеризуется опухолевидным утолщением дёсен и нарастающим расшатыванием и выпадением зубов (смотри полный свод знаний: Десна, новообразования). Он может возникать в период прорезывания молочных зубов, а иногда с рождения. Чаще является наследственным, хотя может носить спорадический характер. Иногда может сочетаться с гипертрихозом (смотри полный свод знаний), нейрофиброматозом (смотри полный свод знаний), деменцией.

Диагностика Фиброматозы сложна и должна строиться на тщательном анализе клинические, данных и результатов гистологический исследования биопсийного и операционного материала. Дифференциальную диагностику, например, при врождённом генерализованном и мультицентричном Фиброматозы, проводят с врождённым нейрофиброматозом (смотри полный свод знаний), множественной врождённой гемангиоперицитомой (смотри полный свод знаний), множественными врождёнными лейомиомами, (смотри полный свод знаний), врождённой лейомиосаркомой (смотри полный свод знаний) или фибросаркомой (смотри полный свод знаний) с множественными метастазами.

Лечение главным образом оперативное и заключается в иссечении фиброматозного узла, иногда с последующей лучевой терапией (например, при ювенильной ангиофиброме носоглотки). При врождённом генерализованном Фиброматозы лечение направлено на уменьшение (где это возможно) механического воздействия фиброматозных узлов на прилежащие ткани, что особенно важно в первые 5 недель после рождения, так как в дальнейшем процесс может регрессировать.

Прогноз чаще благоприятный, однако характерной особенностью фиброматозов является их склонность к локальным рецидивам после иссечения.

При ряде фиброматозов, например, диффузном инфантильном, рецидивирующей фиброзной опухоли пальцев наблюдаются случаи спонтанной регрессии процесса.

Блинов В.М.

⇐ Перейти на главную страницу сайта

⇑ Вернуться в начало страницы ⇑

Библиотека Ordo Deus ⇒

⇐ Фиброма

⇓ Полный свод знаний. Том первый А. ⇓

Фибросаркома ⇒

Все статьи в полном изложении, Вы можете найти в большой медицинской энциклопедии — Главный редактор: академик АН СССР (РАН) и АМН СССР (РАМН) Б.В. Петровский. — Москва издательство «Советская энциклопедия» 1989г.

Внимание! Вы находитесь в библиотеке «Ordo Deus». Все книги в электронном варианте, содержащиеся в библиотеке «Ordo Deus», принадлежат их законным владельцам (авторам, переводчикам, издательствам). Все книги и статьи взяты из открытых источников и размещаются здесь только для чтения.

Вся информация на сайте Ordo Deus находится в свободном доступе. Ordo Deus не предоставляет информацию на платной основе.

Все авторские права сохраняются за правообладателями. Если Вы являетесь автором данного документа и хотите дополнить его или изменить, уточнить реквизиты автора, опубликовать другие документы или возможно вы не желаете, чтобы какой-то из ваших материалов находился в библиотеке, пожалуйста, свяжитесь с нами по e-mail:
info @ ordodeus. ru
Формы для прямой связи с нами находятся в нижней части страниц: контакты и устав «Ordo Deus», для перехода на эти страницы воспользуйтесь кнопкой контакты вверху страницы или ссылкой в оглавлении сайта.

Вас категорически не устраивает перспектива безвозвратно исчезнуть из этого мира? Вы не желаете закончить свой жизненный путь в виде омерзительной гниющей органической массы пожираемой копошащимися в ней могильными червями? Вы желаете вернувшись в молодость прожить ещё одну жизнь? Начать всё заново? Исправить совершённые ошибки? Осуществить несбывшиеся мечты? Перейдите по ссылке: «главная страница».

© Ordo Deus, 2010. При копировании ссылка на сайт http://www.ordo-deus.ru обязательна.