|
Фибросаркома
Фибросаркома (fibrosarcoma; латынь fibra волокно + саркома) — злокачественная опухоль, развивающаяся из фибробластов.
Фибросаркома составляет около 12% всех сарком мягких тканей туловища и конечностей. Опухоль встречается в любой возрастной группе, но чаще наблюдается в возрасте от 40 до 70 лет, может быть врождённой. Более чем в половине случаев Фибросаркома локализуется на нижних конечностях, главным образом на бедре, значительно реже она располагается на верхних конечностях и туловище. У детей Фибросаркома чаще располагается в дистальных отделах конечностей, преимущественно в области лодыжек и стоп. Обычно Фибросаркома является глубоко залегающей опухолью, связана с фасциальными структурами и мышцами, часто располагается вблизи крупных сосудов и нервов, особенно при локализации на бедре.
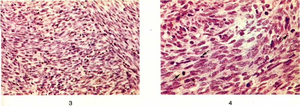
Макроскопически она, как правило, имеет форму плотного округлого или дольчатого узла, чётко отграниченного от окружающих тканей, серовато-белого цвета на разрезе, более 5 сантиметров в диаметре. В псевдокапсуле опухоли обнаруживаются признаки её инвазивного роста. Фибросаркома образована главным образом мономорфными веретенообразными фибробластоподобными клетками с гиперхромными овальными или продолговатыми ядрами и скудной эозинофильной цитоплазмой. Клетки располагаются в волокнистой основе, формируя беспорядочно переплетающиеся пучки, часто образующие рисунок ёлочки (цветной рисунок 3). Всегда обнаруживаются фигуры митозов, иногда довольно многочисленные (цветной рисунок 4). Полиморфизм клеток не характерен для Фибросаркома и, как правило, бывает выражен слабо. В зависимости от дифференцировки опухоли Причард (D. J. Pritchard) и соавторами (1974) выделили 4 степени фибросаркомы. По данным этих исследователей, в 39,2% случаев встречаются более дифференцированные фибросаркомы (I и II степени) и в 60,8% — менее дифференцированные (III и IV степени).
Для Фибросаркома характерно появление опухоли, которая увеличивается в размере, а также боль. Примерно в 20% случаев возникновению опухоли предшествует травма. Метастазы, главным образом гематогенные (прежде всего в лёгкие), наблюдаются примерно в половине случаев.
Лечение комбинированное. Оперативное лечение заключается в широком иссечении опухоли, а при выраженном местном распространении и повторных рецидивах может быть произведена ампутация (смотри полный свод знаний) или экзартикуляция (смотри полный свод знаний) конечности. Используются предоперационная и послеоперационная лучевая терапия (смотри полный свод знаний), применяют различные варианты химиотерапии (смотри полный свод знаний: Химиотерапия опухолей).
По данным Причарда и соавторами (1974), рецидивы опухоли возникают в 56,8% случаев в среднем через 18 месяцев после операции и могут быть многократными; 5-летняя выживаемость составляет 41%, 10-летняя — 29%. Отмечена отчётливая корреляция между степенью дифференцировки опухоли и показателем выживаемости: 10-летняя выживаемость при I степени дифференцировки опухоли составила 80%, II степени — 37%, III степени — 27% и IV степени — 0. У детей Фибросаркома протекает более благоприятно. Так, по данным Соула (Е. Н. Soule) и Причарда (1977), у детей в возрасте до 5 лет рецидивы опухоли наблюдаются в 43%, а метастазы — в 7,3%.
|