Лимфоэпителиома

Оглавление

  1. Дорога к бессмертию
  2. Бессмертие и религия
  3. Философия бессмертия
  4. Бессмертие и наука
  5. История анабиоза
  6. Смерть
  7. Кора головного мозга
  8. Бессмертие и анабиоз
  9. Анабиоз, медицина и биология
  10. Анабиоз и экономика
  11. Анабиоз и закон
  12. Анабиоз в Антарктиде
  13. Техническое обеспечение анабиоза
  14. Бессмертие и вера
  15. Библиотека Ordo Deus
  16. Контактная страница Ordo Deus

Лимфоэпителиома

Лимфоэпителиома (lymphoepithelioma; латинское lympha чистая вода, влага + эпителиома; синонимы: опухоль Шминке, синцитиальная карцинома, переходно-клеточный рак) — злокачественная опухоль глотки, разновидность плоскоклеточного рака. Впервые Лимфоэпителиома описана в 1921 год Шминке (A. Schmincke) в Германии, Ревершоном и Кутаром (L. Reverchon, Н. Coutard) во Франции. Одни авторы относят Лимфоэпителиома к опухолям кроветворной ткани, другие — рассматривают её как анаплазированный рак, третьи — как переходно-клеточный рак. Распространённый термин «лимфоэпителиома» не отражает сущности патологический процесса, так как даёт ошибочное представление о возникновении опухоли из лимфоидной и эпителиальной ткани.

Как правило, Лимфоэпителиома возникает в ротовой и носовой частях глотки, богатых лимфоидной тканью. Она встречается чаще в возрасте 30—40 лет, но может быть и у детей.

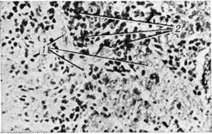
Макроскопически Лимфоэпителиома имеет форму узла или крупнобугристого образования плотноэластической консистенции покрытого первоначально неизменённой слизистой оболочкой, бледно-серого цвета на разрезе. Микроскопически Лимфоэпителиома построена из крупных пластинчатых клеток, лежащих разрозненно или образующих компактные гнезда и рыхло связанные тяжи (рисунок, 1). Опухолевые клетки имеют различную форму, контуры их неотчётливы; цитоплазма бледная, иногда отростчатая; ядра крупные, светлые, обычно округлой или овальной формы, с фуксинофильными ядрышками. В ткани Лимфоэпителиома иногда встречаются очаги плоскоклеточной дифференциации вплоть до ороговения отдельных клеток и образования так называемый раковых жемчужин. Строма опухоли состоит из нежно-волокнистой соединительной ткани, инфильтрированной лимфоидными клетками (рисунок, 2) и пронизанной многочисленными капиллярами. Выделяют так называемый тип Шминке, характеризующийся ретикулярным расположением эпителиальных и обилием лимфоидных клеток, и тип Рего с компактным размещением эпителиальных клеток и небольшим количеством лимфоцитов в виде отдельных очагов.

Клинические, течение Лимфоэпителиома обусловлено инфильтративным характером роста опухоли, склонностью к раннему метастазированию в глубокие лимфатических, узлы шеи и быстрой генерализацией процесса. Особенности клинические, симптоматики зависят от локализации и распространённости Лимфоэпителиома (например, начальный симптом Лимфоэпителиома в носовой части глотки — затруднённое носовое дыхание; при поражении трубной миндалины — понижение слуха; при Лимфоэпителиома задней поверхности мягкого неба — затруднённое глотание и изменение тембра голоса). С помощью обычной задней риноскопии или фиброриноскопии чаще на боковой стенке носовой части глотки или в её своде определяется крупнобугристое образование плотноэластической консистенции (в отличие от мягких аденоидных разрастаний). По мере роста опухоль выпячивает мягкое небо, может распространяться в полость носа, околоносовые пазухи и глазницу. Иногда Лимфоэпителиома прорастает кости основания черепа и инфильтрирует среднюю черепную ямку, поражая при этом многие черепные нервы.

При локализации опухоли в области ротовой части глотки, главным образом нёбных миндалин, первыми симптомами являются ощущение инородного тела и небольшая боль при глотании. Нёбная миндалина увеличена в размерах, уплотнена; слизистая оболочка растянута и гиперемирована, устья лакун почти не видны. Прорастание Лимфоэпителиома в ткани глотки и корень языка сопровождается изъязвлением. При этом усиливается боль, появляется слюнотечение, гнилостный запах изо рта, затрудняется жевание, дыхание и нарастает истощение.

По данным различных авторов, метастазы Лимфоэпителиома в регионарные лимфатических, узлы (чаще верхние отделы шеи) наблюдаются в 80—95% случаев; в 20—25% случаев увеличение лимфатических, узлов шеи является первым симптомом Лимфоэпителиома, и рост метастазов в последующем может значительно опережать развитие первичной опухоли. Двусторонняя локализация метастазов под верхнюю треть грудино-ключично-сосцевидной мышцы характерна для Лимфоэпителиома носовой части глотки; расположение метастатических узлов позади и ниже угла нижней челюсти — для Лимфоэпителиома ротовой части глотки. Отдалённые метастазы развиваются рано, обнаруживаются в лимфатических, узлах различных областей, в лёгких, печени, желудочно-кишечные тракте.




Информация об Ordo Deus Перейти в оглавление сайта

Рис
Микроскопическая картина лимфоэпителиомы: 1 — гнезда и тяжи опухолевых клеток, 2 — скопления лимфоидных клеток в строме.



Диагноз ставят на основании данных клинические, и морфологический исследования первичной опухоли и увеличенных плотных лимфатических, узлов шеи.

Лечение: лучевая терапия, при генерализованных формах Лимфоэпителиома назначают сарколизин или циклофосфамид.

Прогноз неблагоприятный, зависит от локализации и клинические, стадии заболевания.

Смотри, полный свод знаний Глотка, опухоли.

Пачес А.И.

⇐ Перейти на главную страницу сайта

⇑ Вернуться в начало страницы ⇑

Библиотека Ordo Deus ⇒

⇐ Лимфоцитома кожи

⇓ Полный свод знаний. Том первый А. ⇓

Лингватулидозы ⇒

Все статьи в полном изложении, Вы можете найти в большой медицинской энциклопедии — Главный редактор: академик АН СССР (РАН) и АМН СССР (РАМН) Б.В. Петровский. — Москва издательство «Советская энциклопедия» 1989г.

Внимание! Вы находитесь в библиотеке «Ordo Deus». Все книги в электронном варианте, содержащиеся в библиотеке «Ordo Deus», принадлежат их законным владельцам (авторам, переводчикам, издательствам). Все книги и статьи взяты из открытых источников и размещаются здесь только для чтения.

Вся информация на сайте Ordo Deus находится в свободном доступе. Ordo Deus не предоставляет информацию на платной основе.

Все авторские права сохраняются за правообладателями. Если Вы являетесь автором данного документа и хотите дополнить его или изменить, уточнить реквизиты автора, опубликовать другие документы или возможно вы не желаете, чтобы какой-то из ваших материалов находился в библиотеке, пожалуйста, свяжитесь с нами по e-mail:
info @ ordodeus. ru
Формы для прямой связи с нами находятся в нижней части страниц: контакты и устав «Ordo Deus», для перехода на эти страницы воспользуйтесь кнопкой контакты вверху страницы или ссылкой в оглавлении сайта.

Вас категорически не устраивает перспектива безвозвратно исчезнуть из этого мира? Вы не желаете закончить свой жизненный путь в виде омерзительной гниющей органической массы пожираемой копошащимися в ней могильными червями? Вы желаете вернувшись в молодость прожить ещё одну жизнь? Начать всё заново? Исправить совершённые ошибки? Осуществить несбывшиеся мечты? Перейдите по ссылке: «главная страница».

© Ordo Deus, 2010. При копировании ссылка на сайт http://www.ordo-deus.ru обязательна.